ARG45710
anti-FAM40A antibody
anti-FAM40A antibody for Flow cytometry,IHC-Formalin-fixed paraffin-embedded sections,Western blot and Human,Mouse,Rat
概述
| 产品描述 | Rabbit Polyclonal antibody recognizes FAM40A |
|---|---|
| 反应物种 | Hu, Ms, Rat |
| 应用 | FACS, IHC-P, WB |
| 宿主 | Rabbit |
| 克隆 | Polyclonal |
| 同位型 | IgG |
| 靶点名称 | FAM40A |
| 抗原物种 | Human |
| 抗原 | Recombinant protein containing to human FAM40A. |
| 偶联标记 | Un-conjugated |
| 別名 | STRIP1; Striatin Interacting Protein 1; KIAA1761; FAR11A; FAM40A; Family With Sequence Similarity 40, Member A; Striatin-Interacting Protein 1; Protein FAM40A; FLJ14743; FAR11 Factor Arrest 11 Homolog A (Yeast); FAR11 Factor Arrest 11 Homolog A; Homolog Of Yeast FAR11 Protein 1 |
应用说明
| 应用建议 |
|
||||||||
|---|---|---|---|---|---|---|---|---|---|
| 应用说明 | * The dilutions indicate recommended starting dilutions and the optimal dilutions or concentrations should be determined by the scientist. | ||||||||
| 实际分子量 | 100 kDa |
属性
| 形式 | Liquid |
|---|---|
| 纯化 | Affinity purified |
| 缓冲液 | 0.2% Na2HPO4, 0.9% NaCl and 4% Trehalose. |
| 稳定剂 | 4% Trehalose |
| 浓度 | 0.5 mg/ml |
| 存放说明 | For continuous use, store undiluted antibody at 2-8°C for up to a week. For long-term storage, aliquot and store at -20°C or below. Storage in frost free freezers is not recommended. Avoid repeated freeze/thaw cycles. Suggest spin the vial prior to opening. The antibody solution should be gently mixed before use. |
| 注意事项 | For laboratory research only, not for drug, diagnostic or other use. |
生物信息
| 数据库连接 |
Swiss-port # Q91WM1 Mouse Spermatid perinuclear RNA-binding protein Swiss-port # Q96SI9 Human Spermatid perinuclear RNA-binding protein |
|---|---|
| 基因名称 | STRIP1 |
| 全名 | Striatin Interacting Protein 1 |
| 背景介绍 | This gene encodes a member of the striatin-interacting phosphatase and kinase complex, which is involved in localization of the Golgi body. The encoded protein participates in cytosketelal organization. Alternative splicing results in multiple transcript variants. [provided by RefSeq, Jul 2012] |
| 生物功能 | Plays a role in the regulation of cell morphology and cytoskeletal organization. Required in the cortical actin filament dynamics and cell shape. Part of the striatin-interacting phosphatase and kinase (STRIPAK) complexes. STRIPAK complexes have critical roles in protein (de)phosphorylation and are regulators of multiple signaling pathways including Hippo, MAPK, nuclear receptor and cytoskeleton remodeling. Different types of STRIPAK complexes are involved in a variety of biological processes such as cell growth, differentiation, apoptosis, metabolism and immune regulation. [UniProt] |
| 细胞定位 | Cytoplasm. [UniProt] |
| 预测分子量 | 96 kDa |
| 翻译后修饰 | Acetylation; Phosphoprotein. [UniProt] |
检测图片 (7) Click the Picture to Zoom In
-
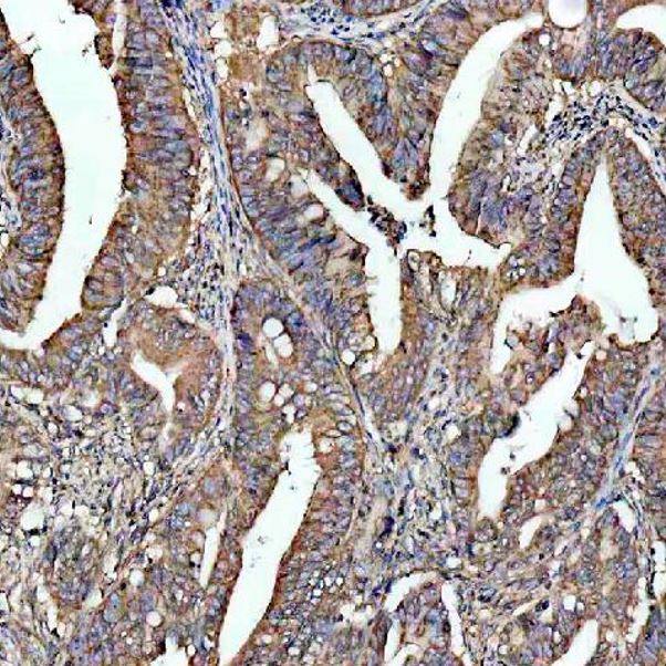
ARG45710 anti-FAM40A antibody IHC-P image
Immunohistochemistry: Human colon cancer stained with ARG45710 anti-FAM40A antibody at 2 μg/ml dilution.
-
ARG45710 anti-FAM40A antibody WB image
Western blot: HEL stained with ARG45710 anti-FAM40A antibody at 0.5 μg/ml dilution.
-
ARG45710 anti-FAM40A antibody FACS image
Flow Cytometry: SH-SY5Y stained with ARG45710 anti-FAM40A antibody at 1 µg/10^6 cells dilution.
-
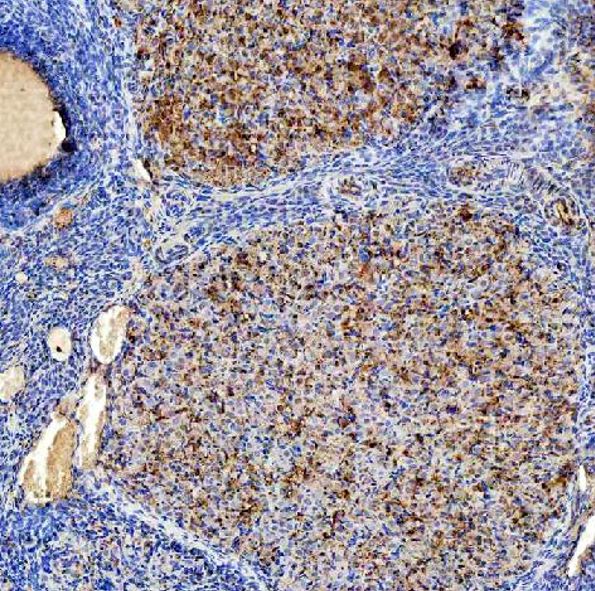
ARG45710 anti-FAM40A antibody IHC-P image
Immunohistochemistry: Rat ovary stained with ARG45710 anti-FAM40A antibody at 2 μg/ml dilution.
-
ARG45710 anti-FAM40A antibody WB image
Western blot: C6 stained with ARG45710 anti-FAM40A antibody at 0.5 μg/ml dilution.
-
ARG45710 anti-FAM40A antibody IHC-P image
Immunohistochemistry: Mouse ovary stained with ARG45710 anti-FAM40A antibody at 2 μg/ml dilution.
-
ARG45710 anti-FAM40A antibody WB image
Western blot: Mouse brain stained with ARG45710 anti-FAM40A antibody at 0.5 μg/ml dilution.
