ARG58136
anti-F2R / PAR1 antibody
anti-F2R / PAR1 antibody for IHC-Formalin-fixed paraffin-embedded sections,Western blot and Human
概述
| 产品描述 | Rabbit Polyclonal antibody recognizes F2R / PAR1 |
|---|---|
| 反应物种 | Hu |
| 应用 | IHC-P, WB |
| 宿主 | Rabbit |
| 克隆 | Polyclonal |
| 同位型 | IgG |
| 靶点名称 | F2R / PAR1 |
| 抗原物种 | Human |
| 抗原 | Synthetic peptide of Human F2R / PAR1. (RNPNDKYEPFWEDEEKNESGLTEYRLVSINKSSPLQK) |
| 偶联标记 | Un-conjugated |
| 別名 | CF2R; TR; Thrombin receptor; Proteinase-activated receptor 1; PAR1; Coagulation factor II receptor; PAR-1; HTR |
应用说明
| 应用建议 |
|
||||||
|---|---|---|---|---|---|---|---|
| 应用说明 | IHC-P: Antigen Retrieval: Boil tissue section in 10mM Citrate buffer (pH 6.0) for 20 min followed by cooling at RT. * The dilutions indicate recommended starting dilutions and the optimal dilutions or concentrations should be determined by the scientist. |
属性
| 形式 | Liquid |
|---|---|
| 纯化 | Affinity purification with immunogen. |
| 缓冲液 | PBS, 0.025% Sodium azide and 2.5% BSA. |
| 抗菌剂 | 0.025% Sodium azide |
| 稳定剂 | 2.5% BSA |
| 浓度 | 0.5 mg/ml |
| 存放说明 | For continuous use, store undiluted antibody at 2-8°C for up to a week. For long-term storage, aliquot and store at -20°C or below. Storage in frost free freezers is not recommended. Avoid repeated freeze/thaw cycles. Suggest spin the vial prior to opening. The antibody solution should be gently mixed before use. |
| 注意事项 | For laboratory research only, not for drug, diagnostic or other use. |
生物信息
| 数据库连接 | |
|---|---|
| 基因名称 | F2R |
| 全名 | coagulation factor II (thrombin) receptor |
| 背景介绍 | Coagulation factor II receptor is a 7-transmembrane receptor involved in the regulation of thrombotic response. Proteolytic cleavage leads to the activation of the receptor. F2R is a G-protein coupled receptor family member. Alternative splicing results in multiple transcript variants. [provided by RefSeq, Aug 2015] |
| 生物功能 | High affinity receptor for activated thrombin coupled to G proteins that stimulate phosphoinositide hydrolysis. May play a role in platelets activation and in vascular development. [UniProt] |
| 细胞定位 | Cytoplasmic. [UniProt] |
| 预测分子量 | 47 kDa |
| 翻译后修饰 | A proteolytic cleavage generates a new N-terminus that functions as a tethered ligand. Phosphorylated in the C-terminal tail; probably mediating desensitization prior to the uncoupling and internalization of the receptor. [UniProt] |
检测图片 (2) Click the Picture to Zoom In
-
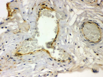
ARG58136 anti-F2R / PAR1 antibody IHC-P image
Immunohistochemistry: Formalin-fixed and paraffin-embedded Human placenta stained with ARG58136 anti-F2R / PAR1 antibody. Antigen Retrieval: Boil tissue section in 10mM Citrate buffer (pH 6.0) for 20 min followed by cooling at RT.
-
ARG58136 anti-F2R / PAR1 antibody WB image
Western blot: MCF7, HeLa, 22RV1 and SW620 cell lysates stained with ARG58136 anti-F2R / PAR1 antibody.
