ARG54382
anti-F1A alpha antibody
anti-F1A alpha antibody for IHC-Formalin-fixed paraffin-embedded sections,Western blot and Human,Mouse,Rat
Cell Biology and Cellular Response antibody; Cell Death antibody
概述
| 产品描述 | Rabbit Polyclonal antibody recognizes F1A alpha |
|---|---|
| 反应物种 | Hu, Ms, Rat |
| 应用 | IHC-P, WB |
| 特异性 | This antibody recognizes human, mouse, and rat F1A (70kDa). |
| 宿主 | Rabbit |
| 克隆 | Polyclonal |
| 同位型 | IgG |
| 靶点名称 | F1A alpha |
| 抗原物种 | Human |
| 抗原 | Peptide corresponding to aa 609-622 of human F1A (accession no. AAF05314). This sequence is identical to that of mouse. |
| 偶联标记 | Un-conjugated |
| 別名 | Fem-1-like death receptor-binding protein alpha; F1A-alpha; Protein fem-1 homolog B; F1A-ALPHA; Fem-1-like in apoptotic pathway protein alpha; FEM1-beta; FEM1b; F1AA |
应用说明
| 应用建议 |
|
||||||
|---|---|---|---|---|---|---|---|
| 应用说明 | * The dilutions indicate recommended starting dilutions and the optimal dilutions or concentrations should be determined by the scientist. | ||||||
| 阳性对照 | Mouse and Rat liver |
属性
| 形式 | Liquid |
|---|---|
| 纯化 | Immunoaffinity chroma-tography |
| 缓冲液 | PBS (pH 7.4) and 0.02% Sodium azide |
| 抗菌剂 | 0.02% Sodium azide |
| 存放说明 | For continuous use, store undiluted antibody at 2-8°C for up to a week. For long-term storage, aliquot and store at -20°C or below. Storage in frost free freezers is not recommended. Avoid repeated freeze/thaw cycles. Suggest spin the vial prior to opening. The antibody solution should be gently mixed before use. |
| 注意事项 | For laboratory research only, not for drug, diagnostic or other use. |
生物信息
| 数据库连接 | |
|---|---|
| 基因名称 | FEM1B |
| 全名 | fem-1 homolog b (C. elegans) |
| 背景介绍 | Fas and tumor necrosis factor receptor 1 (TNFR1) are two members of the family of death receptors. A novel protein that associates with the intracellular domains of Fas and TNFR1 has been designated F1A (or FEM1 ). F1A is cleaved by CED-3 and caspase, and it associates with CED-4 and its mammalian homologue Apaf-1. Overexpression of F1A induces apoptosis. F1A is expressed in a variety of human and mouse tissues. |
| 生物功能 | Component of an E3 ubiquitin-protein ligase complex, in which it may act as a substrate recognition subunit. Involved in apoptosis by acting as a death receptor-associated protein that mediates apoptosis. Also involved in glucose homeostasis in pancreatic islet. Functions as an adapter/mediator in replication stress-induced signaling that leads to the activation of CHEK1. [UniProt] |
| 研究领域 | Cell Biology and Cellular Response antibody; Cell Death antibody |
| 预测分子量 | 70 kDa |
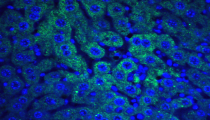
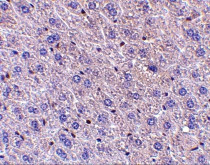
检测图片 (3) Click the Picture to Zoom In
-
ARG54382 anti-F1A alpha antibody IHC-P image
Immunohistochemistry: mouse liver stained with ARG54382 anti-F1A alpha antibody at 20 μg/ml dilution.
-
ARG54382 anti-F1A alpha antibody WB image
Western Blot: A:mouse liver ; B: rat liver stained with ARG54382 anti-F1A alpha antibody at 1 μg/ml dilution.
-
ARG54382 anti-F1A alpha antibody IHC-P image
Immunohistochemistry: mouse liver stained with ARG54382 anti-F1A alpha antibody at 5 μg/ml dilution.
