ARG56187
anti-Emi1 antibody [EMI1/1176]
anti-Emi1 antibody [EMI1/1176] for IHC-Formalin-fixed paraffin-embedded sections,Western blot and Human
概述
| 产品描述 | Mouse Monoclonal antibody [EMI1/1176] recognizes Emi1 |
|---|---|
| 反应物种 | Hu |
| 应用 | IHC-P, WB |
| 宿主 | Mouse |
| 克隆 | Monoclonal |
| 克隆号 | EMI1/1176 |
| 同位型 | IgG2a, kappa |
| 靶点名称 | Emi1 |
| 抗原物种 | Human |
| 抗原 | A recombinant fragment (203 amino acid residues between aa 1-250) from the human Emi1 protein. |
| 偶联标记 | Un-conjugated |
| 別名 | EMI1; FBX5; Early mitotic inhibitor 1; F-box only protein 5; Fbxo31 |
应用说明
| 应用建议 |
|
||||||
|---|---|---|---|---|---|---|---|
| 应用说明 | IHC-P: Antigen Retrieval: Boil tissue section in 10 mM Citrate buffer (pH 6.0) for 10-20 min, followed by cooling at RT for 20 min. * The dilutions indicate recommended starting dilutions and the optimal dilutions or concentrations should be determined by the scientist. |
属性
| 形式 | Liquid |
|---|---|
| 纯化 | Purification with Protein G. |
| 缓冲液 | PBS (pH 7.4), 0.05% Sodium azide and 0.1 mg/ml BSA. |
| 抗菌剂 | 0.05% Sodium azide |
| 稳定剂 | 0.1 mg/ml BSA |
| 浓度 | 0.2 mg/ml |
| 存放说明 | For continuous use, store undiluted antibody at 2-8°C for up to a week. For long-term storage, aliquot and store at -20°C or below. Storage in frost free freezers is not recommended. Avoid repeated freeze/thaw cycles. Suggest spin the vial prior to opening. The antibody solution should be gently mixed before use. |
| 注意事项 | For laboratory research only, not for drug, diagnostic or other use. |
生物信息
| 数据库连接 | |
|---|---|
| 基因名称 | FBXO5 |
| 全名 | F-box protein 5 |
| 背景介绍 | This gene encodes a member of the F-box protein family which is characterized by an approximately 40 amino acid motif, the F-box. The F-box proteins constitute one of the four subunits of the ubiquitin protein ligase complex called SCFs (SKP1-cullin-F-box), which function in phosphorylation-dependent ubiquitination. The F-box proteins are divided into 3 classes: Fbws containing WD-40 domains, Fbls containing leucine-rich repeats, and Fbxs containing either different protein-protein interaction modules or no recognizable motifs. The protein encoded by this gene belongs to the Fbxs class. This protein is similar to xenopus early mitotic inhibitor-1 (Emi1), which is a mitotic regulator that interacts with Cdc20 and inhibits the anaphase promoting complex. Alternatively spliced transcript variants encoding different isoforms have been identified. [provided by RefSeq, Dec 2008] |
| 生物功能 | Regulates progression through early mitosis by inhibiting the anaphase promoting complex/cyclosome (APC). Binds to the APC activators CDC20 and FZR1/CDH1 to prevent APC activation. Can also bind directly to the APC to inhibit substrate-binding. [UniProt] |
| 细胞定位 | Nuclear |
| 预测分子量 | Isoform 1: 50 kDa Isoform 2: 45 kDa |
| 翻译后修饰 | Phosphorylation by CDK2 and subsequently by PLK1 triggers degradation during early mitosis through ubiquitin-mediated proteolysis by the SCF ubiquitin ligase complex containing the F-box protein BTRC. This degradation is necessary for the activation of APC in late mitosis and subsequent mitotic progression. Ubiquitinated by the by the SCF(BTRC) complex following phosphorylation by PLK1. |
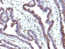
检测图片 (2) Click the Picture to Zoom In
-
ARG56187 anti-Emi1 antibody [EMI1/1176] IHC-P image
Immunohistochemistry: Formalin-fixed and paraffin-embedded Human ovarian carcinoma stained with ARG56187 anti-Emi1 antibody [EMI1/1176].
-
ARG56187 anti-Emi1 antibody [EMI1/1176] WB image
Western blot: 1) HeLa, 2) HepG2, 3) 293, and 4) K562 cell lysates stained with ARG56187 anti-Emi1 antibody [EMI1/1176].
