ARG58577
anti-Emerin antibody [5A10]
anti-Emerin antibody [5A10] for Flow cytometry,IHC-Formalin-fixed paraffin-embedded sections,Western blot and Human
概述
| 产品描述 | Mouse Monoclonal antibody [5A10] recognizes Emerin |
|---|---|
| 反应物种 | Hu |
| 应用 | FACS, IHC-P, WB |
| 宿主 | Mouse |
| 克隆 | Monoclonal |
| 克隆号 | 5A10 |
| 同位型 | IgG1 |
| 靶点名称 | Emerin |
| 抗原物种 | Human |
| 抗原 | Synthetic peptide corresponding to aa. 1-48 of Human Emerin. (MDNYADLSDTELTTLLRRYNIPHGPVVGSTRRLYEKKIFEYETQRRRL) |
| 偶联标记 | Un-conjugated |
| 別名 | Emerin; LEMD5; EDMD; STA |
应用说明
| 应用建议 |
|
||||||||
|---|---|---|---|---|---|---|---|---|---|
| 应用说明 | IHC-P: Antigen Retrieval: Heat mediation was performed in Citrate buffer (pH 6.0) for 20 min. * The dilutions indicate recommended starting dilutions and the optimal dilutions or concentrations should be determined by the scientist. |
属性
| 形式 | Liquid |
|---|---|
| 纯化 | Purified. |
| 缓冲液 | 0.9% NaCl, 0.2% Na2HPO4, 0.05% Sodium azide and 4% Trehalose. |
| 抗菌剂 | 0.05% Sodium azide |
| 稳定剂 | 4% Trehalose |
| 浓度 | 0.5 mg/ml |
| 存放说明 | For continuous use, store undiluted antibody at 2-8°C for up to a week. For long-term storage, aliquot and store at -20°C or below. Storage in frost free freezers is not recommended. Avoid repeated freeze/thaw cycles. Suggest spin the vial prior to opening. The antibody solution should be gently mixed before use. |
| 注意事项 | For laboratory research only, not for drug, diagnostic or other use. |
生物信息
| 数据库连接 | |
|---|---|
| 基因名称 | EMD |
| 全名 | emerin |
| 背景介绍 | Emerin is a serine-rich nuclear membrane protein and a member of the nuclear lamina-associated protein family. It mediates membrane anchorage to the cytoskeleton. Dreifuss-Emery muscular dystrophy is an X-linked inherited degenerative myopathy resulting from mutation in the emerin gene. [provided by RefSeq, Jul 2008] |
| 生物功能 | Stabilizes and promotes the formation of a nuclear actin cortical network. Stimulates actin polymerization in vitro by binding and stabilizing the pointed end of growing filaments. Inhibits beta-catenin activity by preventing its accumulation in the nucleus. Acts by influencing the nuclear accumulation of beta-catenin through a CRM1-dependent export pathway. Links centrosomes to the nuclear envelope via a microtubule association. EMD and BAF are cooperative cofactors of HIV-1 infection. Association of EMD with the viral DNA requires the presence of BAF and viral integrase. The association of viral DNA with chromatin requires the presence of BAF and EMD. Required for proper localization of non-farnesylated prelamin-A/C. [UniProt] |
| 细胞定位 | Nucleus inner membrane. [UniProt] |
| 预测分子量 | 29 kDa |
| 翻译后修饰 | Found in four different phosphorylated forms, three of which appear to be associated with the cell cycle. [UniProt] |
检测图片 (4) Click the Picture to Zoom In
-
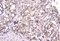
ARG58577 anti-Emerin antibody [5A10] IHC-P image
Immunohistochemistry: Paraffin-embedded Human gastric cancer tissue. Antigen Retrieval: Heat mediated was performed in Citrate buffer (pH 6.0) for 20 min. The tissue section was blocked with 10% goat serum. The section was stained with ARG58577 anti-Emerin antibody [5A10] at 2 µg/ml, overnight at 4°C.
-
ARG58577 anti-Emerin antibody [5A10] WB image
Western blot: 50 µg of HeLa, Human placenta, Caco-2, HepG2, Rabbit IgG, Marker 1113, Jurkat, MDA-MB-453, SK-OV-3 and SW620 lysates stained with ARG58577 anti-Emerin antibody [5A10] at 0.5 µg/ml, overnight at 4°C, under reducing conditions.
-
ARG58577 anti-Emerin antibody [5A10] FACS image
Flow Cytometry: A431 cells were blocked with 10% normal goat serum and then stained with ARG58577 anti-Emerin antibody [5A10] (blue) at 1 µg/10^6 cells for 30 min at 20°C, followed by incubation with DyLight®488 labelled secondary antibody. Isotype control antibody (green) was mouse IgG (1 µg/10^6 cells) used under the same conditions. Unlabelled sample (red) was also used as a control.
-
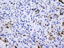
ARG58577 anti-Emerin antibody [5A10] IHC-P image
Immunohistochemistry: Paraffin-embedded Human rectal cancer tissue. Antigen Retrieval: Heat mediated was performed in Citrate buffer (pH 6.0) for 20 min. The tissue section was blocked with 10% goat serum. The tissue section was then stained with 2 µg/ml ARG58577 anti-Emerin antibody [5A10] overnight at 4°C.
