ARG66668
anti-Eg 5 antibody
anti-Eg 5 antibody for IHC-Formalin-fixed paraffin-embedded sections,Western blot and Human,Monkey
概述
| 产品描述 | Rabbit Polyclonal antibody recognizes Eg 5 |
|---|---|
| 反应物种 | Hu, Mk |
| 预测物种 | Ms |
| 应用 | IHC-P, WB |
| 宿主 | Rabbit |
| 克隆 | Polyclonal |
| 同位型 | IgG |
| 靶点名称 | Eg 5 |
| 抗原物种 | Human |
| 抗原 | Synthetic peptide around Thr926 of Human Eg 5. |
| 偶联标记 | Un-conjugated |
| 別名 | TRIP-5; Kinesin-related motor protein Eg5; KNSL1; TR-interacting protein 5; HKSP; Kinesin-like spindle protein HKSP; EG5; MCLMR; Kinesin-like protein 1; Kinesin-like protein KIF11; TRIP5; Thyroid receptor-interacting protein 5 |
应用说明
| 应用建议 |
|
||||||
|---|---|---|---|---|---|---|---|
| 应用说明 | IHC-P: Antigen Retrieval: High-pressure and temperature Tris/EDTA buffer (pH 8.0). * The dilutions indicate recommended starting dilutions and the optimal dilutions or concentrations should be determined by the scientist. |
||||||
| 实际分子量 | ~ 120 kDa |
属性
| 形式 | Liquid |
|---|---|
| 纯化 | Affinity purification with immunogen. |
| 缓冲液 | PBS, 0.02% Sodium azide, 50% Glycerol and 0.5% BSA. |
| 抗菌剂 | 0.02% Sodium azide |
| 稳定剂 | 50% Glycerol and 0.5% BSA |
| 浓度 | 1 mg/ml |
| 存放说明 | For continuous use, store undiluted antibody at 2-8°C for up to a week. For long-term storage, aliquot and store at -20°C. Storage in frost free freezers is not recommended. Avoid repeated freeze/thaw cycles. Suggest spin the vial prior to opening. The antibody solution should be gently mixed before use. |
| 注意事项 | For laboratory research only, not for drug, diagnostic or other use. |
生物信息
| 数据库连接 | |
|---|---|
| 基因名称 | KIF11 |
| 全名 | kinesin family member 11 |
| 背景介绍 | This gene encodes a motor protein that belongs to the kinesin-like protein family. Members of this protein family are known to be involved in various kinds of spindle dynamics. The function of this gene product includes chromosome positioning, centrosome separation and establishing a bipolar spindle during cell mitosis. [provided by RefSeq, Jul 2008] |
| 生物功能 | Motor protein required for establishing a bipolar spindle. Blocking of KIF11 prevents centrosome migration and arrest cells in mitosis with monoastral microtubule arrays. [UniProt] |
| 细胞定位 | Cytoplasm. Cytoplasm, cytoskeleton, spindle pole. [UniProt] |
| 预测分子量 | 119 kDa |
| 翻译后修饰 | Phosphorylated exclusively on serine during S phase, but on both serine and Thr-926 during mitosis, so controlling the association of KIF11 with the spindle apparatus (probably during early prophase). A subset of this protein primarily localized at the spindle pole is phosphorylated by NEK6 during mitosis; phosphorylation is required for mitotic function. [UniProt] |
检测图片 (4) Click the Picture to Zoom In
-
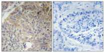
ARG66668 anti-Eg 5 antibody IHC-P image
Immunohistochemistry: Paraffin-embedded Human lung cancer tissue stained with ARG66668 anti-Eg 5 antibody at 1:100 dilution, overnight at 4°C. Antigen Retrieval: High-pressure and temperature Tris/EDTA buffer (pH 8.0). Negative control (right): Antibody was pre-absorbed by immunogen peptide.
-
ARG66668 anti-Eg 5 antibody WB image
Western blot: K562 cell nucleus lysate stained with ARG66668 anti-Eg 5 antibody.
-
ARG66668 anti-Eg 5 antibody WB image
Western blot: COLO205 cell nucleus lysate stained with ARG66668 anti-Eg 5 antibody.
-
ARG66668 anti-Eg 5 antibody WB image
Western blot: Jurkat, HepG2 and COS cell lysates stained with ARG66668 anti-Eg 5 antibody. The lane on the right is blocked with the synthetic peptide.
