ARG64855
anti-EWSR1 / EWS antibody
anti-EWSR1 / EWS antibody for IHC-Formalin-fixed paraffin-embedded sections,Western blot and Human
Controls and Markers antibody; Gene Regulation antibody
概述
| 产品描述 | Goat Polyclonal antibody recognizes EWSR1 / EWS |
|---|---|
| 反应物种 | Hu |
| 预测物种 | Ms, Rat, Cow, Pig |
| 应用 | IHC-P, WB |
| 特异性 | This antibody is expected to recognize all five reported isoforms (NP_053733.2; NP_005234.1; NP_001156757.1; NP_001156758.1; NP_001156759.1). |
| 宿主 | Goat |
| 克隆 | Polyclonal |
| 同位型 | IgG |
| 靶点名称 | EWSR1 / EWS |
| 抗原物种 | Human |
| 抗原 | C-TSYDQSSYSQQNTYG |
| 偶联标记 | Un-conjugated |
| 別名 | RNA-binding protein EWS; bK984G1.4; EWS-FLI1; Ewing sarcoma breakpoint region 1 protein; EWS; EWS oncogene |
应用说明
| 应用建议 |
|
||||||
|---|---|---|---|---|---|---|---|
| 应用说明 | WB: Recommend incubate at RT for 1h. IHC-P: Antigen Retrieval: Steam tissue section in Citrate buffer (pH 6.0). * The dilutions indicate recommended starting dilutions and the optimal dilutions or concentrations should be determined by the scientist. |
属性
| 形式 | Liquid |
|---|---|
| 纯化 | Purified from goat serum by antigen affinity chromatography. |
| 缓冲液 | Tris saline (pH 7.3), 0.02% Sodium azide and 0.5% BSA. |
| 抗菌剂 | 0.02% Sodium azide |
| 稳定剂 | 0.5% BSA |
| 浓度 | 0.5 mg/ml |
| 存放说明 | For continuous use, store undiluted antibody at 2-8°C for up to a week. For long-term storage, aliquot and store at -20°C or below. Storage in frost free freezers is not recommended. Avoid repeated freeze/thaw cycles. Suggest spin the vial prior to opening. The antibody solution should be gently mixed before use. |
| 注意事项 | For laboratory research only, not for drug, diagnostic or other use. |
生物信息
| 数据库连接 | |
|---|---|
| 基因名称 | EWSR1 |
| 全名 | EWS RNA binding protein 1 |
| 背景介绍 | This gene encodes a multifunctional protein that is involved in various cellular processes, including gene expression, cell signaling, and RNA processing and transport. The protein includes an N-terminal transcriptional activation domain and a C-terminal RNA-binding domain. Chromosomal translocations between this gene and various genes encoding transcription factors result in the production of chimeric proteins that are involved in tumorigenesis. These chimeric proteins usually consist of the N-terminal transcriptional activation domain of this protein fused to the C-terminal DNA-binding domain of the transcription factor protein. Mutations in this gene, specifically a t(11;22)(q24;q12) translocation, are known to cause Ewing sarcoma as well as neuroectodermal and various other tumors. Alternative splicing of this gene results in multiple transcript variants. Related pseudogenes have been identified on chromosomes 1 and 14. [provided by RefSeq, Jul 2009] |
| 研究领域 | Controls and Markers antibody; Gene Regulation antibody |
| 预测分子量 | 68 kDa |
| 翻译后修饰 | Phosphorylated; calmodulin-binding inhibits phosphorylation of Ser-266. Highly methylated on arginine residues. Methylation is mediated by PRMT1 and, at lower level by PRMT8. |
检测图片 (3) Click the Picture to Zoom In
-
ARG64855 anti-EWSR1 / EWS antibody IHC-P image
Immunohistochemistry: Paraffin-embedded Human small Intestine tissue. Antigen Retrieval: Steam tissue section in Citrate buffer (pH 6.0). The tissue section was stained with ARG64855 anti-EWSR1 / EWS antibody at 3.8 µg/ml dilution followed by AP-staining.
-
ARG64855 anti-EWSR1 / EWS antibody WB image
Western blot: 35 µg of HeLa (nuclear) lysate (in RIPA buffer) stained with ARG64855 anti-EWSR1 / EWS antibody at 0.3 µg/ml dilution.
-
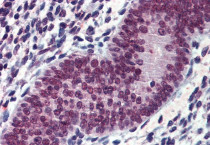
ARG64855 anti-EWSR1 / EWS antibody IHC-P image
Immunohistochemistry: Paraffin-embedded Human uterus tissue. Antigen Retrieval: Steam tissue section in Citrate buffer (pH 6.0). The tissue section was stained with ARG64855 anti-EWSR1 / EWS antibody at 3.75 µg/ml dilution followed by AP-staining.
