ARG45154
anti-EVA1A / TMEM166 antibody
anti-EVA1A / TMEM166 antibody for Flow cytometry,IHC-Formalin-fixed paraffin-embedded sections,Western blot and Human,Mouse,Rat
概述
| 产品描述 | Rabbit Polyclonal antibody recognizes EVA1A / TMEM166 |
|---|---|
| 反应物种 | Hu, Ms, Rat |
| 应用 | FACS, IHC-P, WB |
| 宿主 | Rabbit |
| 克隆 | Polyclonal |
| 同位型 | IgG |
| 靶点名称 | EVA1A / TMEM166 |
| 抗原物种 | Human |
| 抗原 | Synthetic peptide corresponding to N-terminal region of human EVA1A / TMEM166. |
| 偶联标记 | Un-conjugated |
| 別名 | EVA1A; eva-1 homolog A (C. elegans); Protein eva-1 homolog A; Transmembrane protein 166; FAM176A; Protein FAM176A; TMEM166 |
应用说明
| 应用建议 |
|
||||||||
|---|---|---|---|---|---|---|---|---|---|
| 应用说明 | * The dilutions indicate recommended starting dilutions and the optimal dilutions or concentrations should be determined by the scientist. | ||||||||
| 实际分子量 | 21 kDa |
属性
| 形式 | Liquid |
|---|---|
| 纯化 | Affinity purification with immunogen. |
| 缓冲液 | 0.2% Na2HPO4, 0.9% NaCl, 0.05% Sodium azide and 4% Trehalose. |
| 抗菌剂 | 0.05% Sodium azide |
| 稳定剂 | 4% Trehalose |
| 浓度 | 0.5 mg/ml |
| 存放说明 | For continuous use, store undiluted antibody at 2-8°C for up to a week. For long-term storage, aliquot and store at -20°C or below. Storage in frost free freezers is not recommended. Avoid repeated freeze/thaw cycles. Suggest spin the vial prior to opening. The antibody solution should be gently mixed before use. |
| 注意事项 | For laboratory research only, not for drug, diagnostic or other use. |
生物信息
| 数据库连接 | |
|---|---|
| 基因名称 | EVA1A |
| 全名 | eva-1 homolog A (C. elegans) |
| 背景介绍 | Predicted to be involved in apoptotic process and autophagy. Located in intracellular membrane-bounded organelle and plasma membrane. [provided by Alliance of Genome Resources, Nov 2024] |
| 生物功能 | Acts as a regulator of programmed cell death, mediating both autophagy and apoptosis. [UniProt] |
| 细胞定位 | Endoplasmic reticulum membrane; Lysosome membrane. [UniProt] |
| 预测分子量 | 17 kDa |
| 翻译后修饰 | Phosphoprotein. [UniProt] |
检测图片 (3) Click the Picture to Zoom In
-
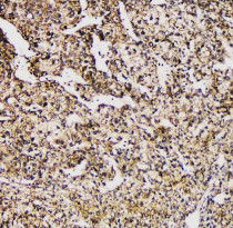
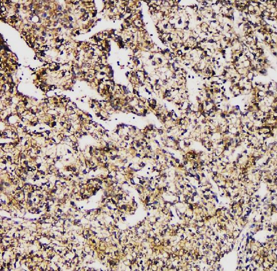
ARG45154 anti-EVA1A / TMEM166 antibody IHC-P image
Immunohistochemistry: Human liver cancer stained with ARG45154 anti-EVA1A / TMEM166 antibody at 1 μg/ml dilution.
-
ARG45154 anti-EVA1A / TMEM166 antibody WB image
Western blot: HepG2 and PC-3 stained with ARG45154 anti-EVA1A / TMEM166 antibody at 0.5 μg/ml dilution.
-
ARG45154 anti-EVA1A / TMEM166 antibody FACS image
Flow Cytometry: A549 stained with ARG45154 anti-EVA1A / TMEM166 antibody at 1 µg/10^6 cells dilution.
