ARG58570
anti-ETV6 / Tel antibody
anti-ETV6 / Tel antibody for IHC-Formalin-fixed paraffin-embedded sections,Western blot and Human,Mouse,Rat
概述
| 产品描述 | Rabbit Polyclonal antibody recognizes ETV6 / Tel |
|---|---|
| 反应物种 | Hu, Ms, Rat |
| 应用 | IHC-P, WB |
| 宿主 | Rabbit |
| 克隆 | Polyclonal |
| 同位型 | IgG |
| 靶点名称 | ETV6 / Tel |
| 抗原物种 | Human |
| 抗原 | Recombinant protein corresponding to E327-Q448 of Human ETV6 / Tel. |
| 偶联标记 | Un-conjugated |
| 別名 | TEL; TEL/ABL; Transcription factor ETV6; THC5; ETS-related protein Tel1; Tel; ETS translocation variant 6 |
应用说明
| 应用建议 |
|
||||||
|---|---|---|---|---|---|---|---|
| 应用说明 | IHC-P: Antigen Retrieval: Heat mediated was performed in Citrate buffer (pH 6.0) for 20 min. * The dilutions indicate recommended starting dilutions and the optimal dilutions or concentrations should be determined by the scientist. |
属性
| 形式 | Liquid |
|---|---|
| 纯化 | Purified. |
| 缓冲液 | 0.9% NaCl, 0.2% Na2HPO4, 0.05% Sodium azide and 4% Trehalose. |
| 抗菌剂 | 0.05% Sodium azide |
| 稳定剂 | 4% Trehalose |
| 浓度 | 0.5 mg/ml |
| 存放说明 | For continuous use, store undiluted antibody at 2-8°C for up to a week. For long-term storage, aliquot and store at -20°C or below. Storage in frost free freezers is not recommended. Avoid repeated freeze/thaw cycles. Suggest spin the vial prior to opening. The antibody solution should be gently mixed before use. |
| 注意事项 | For laboratory research only, not for drug, diagnostic or other use. |
生物信息
| 数据库连接 | |
|---|---|
| 基因名称 | ETV6 |
| 全名 | ets variant 6 |
| 背景介绍 | This gene encodes an ETS family transcription factor. The product of this gene contains two functional domains: a N-terminal pointed (PNT) domain that is involved in protein-protein interactions with itself and other proteins, and a C-terminal DNA-binding domain. Gene knockout studies in mice suggest that it is required for hematopoiesis and maintenance of the developing vascular network. This gene is known to be involved in a large number of chromosomal rearrangements associated with leukemia and congenital fibrosarcoma. [provided by RefSeq, Sep 2008] |
| 生物功能 | Transcriptional repressor; binds to the DNA sequence 5'-CCGGAAGT-3'. Plays a role in hematopoiesis and malignant transformation. [UniProt] |
| 细胞定位 | Nucleus. [UniProt] |
| 预测分子量 | 53 kDa |
| 翻译后修饰 | Phosphorylation of Ser-257 by MAPK14 (p38) inhibits ETV6 transcriptional repression. [UniProt] |
检测图片 (5) Click the Picture to Zoom In
-
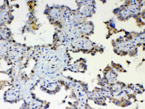
ARG58570 anti-ETV6 / Tel antibody IHC-P image
Immunohistochemistry: Paraffin-embedded Human mammary cancer tissue. Antigen Retrieval: Heat mediated was performed in Citrate buffer (pH 6.0) for 20 min. The tissue section was blocked with 10% goat serum. The tissue section was then incubated with 1 µg/ml ARG58570 anti-ETV6 / Tel antibody overnight at 4°C.
-
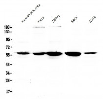
ARG58570 anti-ETV6 / Tel antibody WB image
Western blot: 50 µg of Human placenta, HeLa, 22RV1, SKOV and A549 lysates stained with ARG58570 anti-ETV6 / Tel antibody at 0.5 µg/ml, overnight at 4°C, under reducing conditions.
-
ARG58570 anti-ETV6 / Tel antibody IHC-P image
Immunohistochemistry: Paraffin-embedded Human lung cancer tissue. Antigen Retrieval: Heat mediated was performed in Citrate buffer (pH 6.0) for 20 min. The tissue section was blocked with 10% goat serum. The tissue section was then stained with 1 µg/ml ARG58570 anti-ETV6 / Tel antibody overnight at 4°C.
-
ARG58570 anti-ETV6 / Tel antibody IHC-P image
Immunohistochemistry: Paraffin-embedded Mouse small intestine tissue. Antigen Retrieval: Heat mediated was performed in Citrate buffer (pH 6.0) for 20 min. The tissue section was blocked with 10% goat serum. The tissue section was then stained with 1 µg/ml ARG58570 anti-ETV6 / Tel antibody overnight at 4°C.
-
ARG58570 anti-ETV6 / Tel antibody IHC-P image
Immunohistochemistry: Paraffin-embedded Rat small intestine tissue. Antigen Retrieval: Heat mediated was performed in Citrate buffer (pH 6.0) for 20 min. The tissue section was blocked with 10% goat serum. The tissue section was then stained with 1 µg/ml ARG58570 anti-ETV6 / Tel antibody overnight at 4°C.
