ARG65286
anti-ETFB antibody
anti-ETFB antibody for IHC-Formalin-fixed paraffin-embedded sections,Western blot and Human,Mouse,Rat
Cancer antibody; Metabolism antibody; Signaling Transduction antibody
概述
| 产品描述 | Goat Polyclonal antibody recognizes ETFB |
|---|---|
| 反应物种 | Hu, Ms, Rat |
| 预测物种 | Cow, Dog |
| 应用 | IHC-P, WB |
| 特异性 | This antibody is expected to recognize both reported isoforms (NP_001976.1; NP_001014763.1). Amino acid numbering in the name above refers to NP_001976.1). |
| 宿主 | Goat |
| 克隆 | Polyclonal |
| 同位型 | IgG |
| 靶点名称 | ETFB |
| 抗原物种 | Human |
| 抗原 | C-QVTLEGDKLKVERE |
| 偶联标记 | Un-conjugated |
| 別名 | MADD; FP585; Beta-ETF; Electron transfer flavoprotein subunit beta |
应用说明
| 应用建议 |
|
||||||
|---|---|---|---|---|---|---|---|
| 应用说明 | IHC-P: Antigen Retrieval: Steam tissue section in Citrate buffer (pH 6.0). WB: Recommend incubate at RT for 1h. * The dilutions indicate recommended starting dilutions and the optimal dilutions or concentrations should be determined by the scientist. |
属性
| 形式 | Liquid |
|---|---|
| 纯化 | Purified from goat serum by antigen affinity chromatography. |
| 缓冲液 | Tris saline (pH 7.3), 0.02% Sodium azide and 0.5% BSA. |
| 抗菌剂 | 0.02% Sodium azide |
| 稳定剂 | 0.5% BSA |
| 浓度 | 0.5 mg/ml |
| 存放说明 | For continuous use, store undiluted antibody at 2-8°C for up to a week. For long-term storage, aliquot and store at -20°C or below. Storage in frost free freezers is not recommended. Avoid repeated freeze/thaw cycles. Suggest spin the vial prior to opening. The antibody solution should be gently mixed before use. |
| 注意事项 | For laboratory research only, not for drug, diagnostic or other use. |
生物信息
| 数据库连接 | |
|---|---|
| 背景介绍 | This gene encodes electron-transfer-flavoprotein, beta polypeptide, which shuttles electrons between primary flavoprotein dehydrogenases involved in mitochondrial fatty acid and amino acid catabolism and the membrane-bound electron transfer flavoprotein ubiquinone oxidoreductase. The gene deficiencies have been implicated in type II glutaricaciduria. Alternatively spliced transcript variants have been found for this gene. [provided by RefSeq, Jul 2008] |
| 研究领域 | Cancer antibody; Metabolism antibody; Signaling Transduction antibody |
| 预测分子量 | 28 kDa |
| 翻译后修饰 | Methylated. Trimethylation at Lys-200 and Lys-203 may negatively regulate the activity in electron transfer from Acyl-CoA dehydrogenases. |
检测图片 (2) Click the Picture to Zoom In
-
ARG65286 anti-ETFB antibody WB image
Western blot: Human Liver lysate (35 µg protein in RIPA buffer) stained with ARG65286 anti-ETFB antibody at 0.1 µg/ml dilution.
-
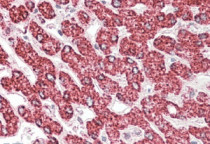
ARG65286 anti-ETFB antibody IHC-P image
Immunohistochemistry: Paraffin embedded Human Liver. (Steamed antigen retrieval with citrate buffer pH 6) stained with ARG65286 anti-ETFB antibody at 3.8 µg/ml dilution followed by AP-staining.
