ARG55574
anti-ENO3 antibody
anti-ENO3 antibody for Flow cytometry,IHC-Formalin-fixed paraffin-embedded sections,Western blot and Human
Cancer antibody; Metabolism antibody; Signaling Transduction antibody
概述
| 产品描述 | Rabbit Polyclonal antibody recognizes ENO3 |
|---|---|
| 反应物种 | Hu |
| 预测物种 | Ms, Rat, Bov, Pig |
| 应用 | FACS, IHC-P, WB |
| 宿主 | Rabbit |
| 克隆 | Polyclonal |
| 同位型 | IgG |
| 靶点名称 | ENO3 |
| 抗原物种 | Human |
| 抗原 | KLH-conjugated synthetic peptide corresponding to aa. 237-264 (Center) of Human ENO3. |
| 偶联标记 | Un-conjugated |
| 別名 | Skeletal muscle enolase; Muscle-specific enolase; 2-phospho-D-glycerate hydro-lyase; Enolase 3; Beta-enolase; MSE; GSD13; EC 4.2.1.11 |
应用说明
| 应用建议 |
|
||||||||
|---|---|---|---|---|---|---|---|---|---|
| 应用说明 | * The dilutions indicate recommended starting dilutions and the optimal dilutions or concentrations should be determined by the scientist. | ||||||||
| 阳性对照 | Mouse skeletal muscle |
属性
| 形式 | Liquid |
|---|---|
| 纯化 | This antibody is prepared by Saturated Ammonium Sulfate (SAS) precipitation followed by dialysis against PBS. |
| 缓冲液 | PBS and 0.09% (W/V) Sodium azide |
| 抗菌剂 | 0.09% (W/V) Sodium azide |
| 存放说明 | For continuous use, store undiluted antibody at 2-8°C for up to a week. For long-term storage, aliquot and store at -20°C or below. Storage in frost free freezers is not recommended. Avoid repeated freeze/thaw cycles. Suggest spin the vial prior to opening. The antibody solution should be gently mixed before use. |
| 注意事项 | For laboratory research only, not for drug, diagnostic or other use. |
生物信息
| 数据库连接 | |
|---|---|
| 基因名称 | ENO3 |
| 全名 | enolase 3 (beta, muscle) |
| 背景介绍 | This gene encodes one of the three enolase isoenzymes found in mammals. This isoenzyme is found in skeletal muscle cells in the adult where it may play a role in muscle development and regeneration. A switch from alpha enolase to beta enolase occurs in muscle tissue during development in rodents. Mutations in this gene have be associated glycogen storage disease. Alternatively spliced transcript variants encoding different isoforms have been described.[provided by RefSeq, Jul 2010] |
| 生物功能 | Appears to have a function in striated muscle development and regeneration. [UniProt] |
| 细胞定位 | Cytoplasm. Note=Localized to the Z line. Some colocalization with CKM at M-band (By similarity) |
| 研究领域 | Cancer antibody; Metabolism antibody; Signaling Transduction antibody |
| 预测分子量 | 47 kDa |
检测图片 (3) Click the Picture to Zoom In
-
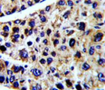
ARG55574 anti-ENO3 antibody IHC-P image
Immunohistochemistry: Formalin-fixed and paraffin-embedded Human hepatocarcinoma stained with ARG55574 anti-ENO3 antibody.
-
ARG55574 anti-ENO3 antibody WB image
Western blot: 35 µg of Mouse skeletal muscle lysate stained with ARG55574 anti-ENO3 antibody.
-
ARG55574 anti-ENO3 antibody FACS image
Flow Cytometry: HepG2 cells stained with ARG55574 anti-ENO3 antibody (bottom histogram) or without primary antibody as control (top histogram), followed by incubation with FITC labelled secondary antibody.
