ARG44820
anti-ENAH / MENA antibody
anti-ENAH / MENA antibody for IHC-Formalin-fixed paraffin-embedded sections,Immunoprecipitation,Western blot and Human
概述
| 产品描述 | Mouse Monoclonal antibody recognizes ENAH / MENA |
|---|---|
| 反应物种 | Hu |
| 应用 | IHC-P, IP, WB |
| 宿主 | Mouse |
| 克隆 | Monoclonal |
| 同位型 | IgG1 |
| 靶点名称 | ENAH / MENA |
| 抗原物种 | Human |
| 抗原表位 | LERERLERER LERERLEQEQ LERERQERER QERLERQERL ERQERLERQE RLDRERQERQ ERERLERLER ERQERERQEQ LEREQLEWER ERRISSAAAP ASVETPLNSV LGDSSASEPG LQAASQPAET PSQQGIVLGP LAPPPPPPLP |
| 偶联标记 | Un-conjugated |
| 別名 | ENAH; ENAH Actin Regulator; MENA; NDPP1; Protein Enabled Homolog; FLJ10773; Enabled Homolog (Drosophila); Mammalian Enabled; Enabled Homolog; Mena Delta 11a; ENA |
应用说明
| 应用建议 |
|
||||||||
|---|---|---|---|---|---|---|---|---|---|
| 应用说明 | * The dilutions indicate recommended starting dilutions and the optimal dilutions or concentrations should be determined by the scientist. |
属性
| 形式 | Liquid |
|---|---|
| 纯化 | Protein A purification |
| 缓冲液 | PBS with 0.09% sodium azide |
| 抗菌剂 | 0.09% sodium azide |
| 存放说明 | For continuous use, store undiluted antibody at 2-8°C for up to a week. For long-term storage, aliquot and store at -20°C or below. Storage in frost free freezers is not recommended. Avoid repeated freeze/thaw cycles. Suggest spin the vial prior to opening. The antibody solution should be gently mixed before use. |
| 注意事项 | For laboratory research only, not for drug, diagnostic or other use. |
生物信息
| 数据库连接 | |
|---|---|
| 基因名称 | ENAH |
| 全名 | ENAH Actin Regulator |
| 背景介绍 | This gene encodes a member of the enabled/ vasodilator-stimulated phosphoprotein. Members of this gene family are involved in actin-based motility. This protein is involved in regulating the assembly of actin filaments and modulates cell adhesion and motility. Alternate splice variants of this gene have been correlated with tumor invasiveness in certain tissues and these variants may serve as prognostic markers. A pseudogene of this gene is found on chromosome 3. [provided by RefSeq, Sep 2016] |
| 生物功能 | Ena/VASP proteins are actin-associated proteins involved in a range of processes dependent on cytoskeleton remodeling and cell polarity such as axon guidance and lamellipodial and filopodial dynamics in migrating cells. ENAH induces the formation of F-actin rich outgrowths in fibroblasts. Acts synergistically with BAIAP2-alpha and downstream of NTN1 to promote filipodia formation. [Uniprot] |
| 细胞定位 | Cell junction, Cell projection, Cytoplasm, Cytoskeleton, Synapse. [Uniprot] |
| 翻译后修饰 | Phosphoprotein. [Uniprot] |
检测图片 (3) Click the Picture to Zoom In
-
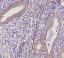
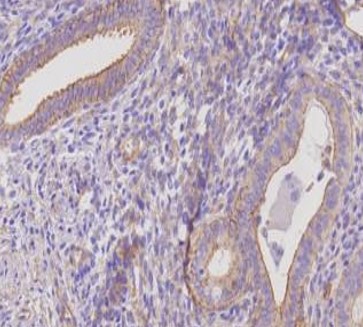
ARG44820 anti-ENAH/MENA antibody IHC-P image
Immunohistochemistry: Human endometrium stained with ARG44820 anti-ENAH/MENA antibody at 5 µg/mL dilution.
-
ARG44820 anti-ENAH/MENA antibody WB image
Western blot: U-2 OS stained with ARG44820 anti-ENAH/MENA antibody at 1 µg/mL dilution.
-
ARG44820 anti-ENAH/MENA antibody IP image
Immunoprecipitation: U-2 OS lysate immunoprecipitated with 2.5 µg of ARG44820 anti-ENAH/MENA antibody.
