ARG59464
anti-EME1 antibody
anti-EME1 antibody for Flow cytometry,IHC-Formalin-fixed paraffin-embedded sections,Western blot and Human,Rat
概述
| 产品描述 | Rabbit Polyclonal antibody recognizes EME1 |
|---|---|
| 反应物种 | Hu, Rat |
| 应用 | FACS, IHC-P, WB |
| 宿主 | Rabbit |
| 克隆 | Polyclonal |
| 同位型 | IgG |
| 靶点名称 | EME1 |
| 抗原物种 | Human |
| 抗原 | Synthetic peptide corresponding to aa. 520-561 of Human EME1. (DKERQNLLADIQVRRGEGVTSTSRRIGPELSRRIYLQMTTLQ) |
| 偶联标记 | Un-conjugated |
| 別名 | MMS4 homolog; MMS4L; SLX2A; EC 3.1.22.-; Crossover junction endonuclease EME1; hMMS4 |
应用说明
| 应用建议 |
|
||||||||
|---|---|---|---|---|---|---|---|---|---|
| 应用说明 | IHC-P: Antigen Retrieval: By heat mediation. * The dilutions indicate recommended starting dilutions and the optimal dilutions or concentrations should be determined by the scientist. |
属性
| 形式 | Liquid |
|---|---|
| 纯化 | Affinity purification with immunogen. |
| 缓冲液 | 0.9% NaCl, 0.2% Na2HPO4, 0.05% Sodium azide and 5% BSA. |
| 抗菌剂 | 0.05% Sodium azide |
| 稳定剂 | 5% BSA |
| 浓度 | 0.5 mg/ml |
| 存放说明 | For continuous use, store undiluted antibody at 2-8°C for up to a week. For long-term storage, aliquot and store at -20°C or below. Storage in frost free freezers is not recommended. Avoid repeated freeze/thaw cycles. Suggest spin the vial prior to opening. The antibody solution should be gently mixed before use. |
| 注意事项 | For laboratory research only, not for drug, diagnostic or other use. |
生物信息
| 数据库连接 |
Swiss-port # Q96AY2 Human Crossover junction endonuclease EME1 |
|---|---|
| 基因名称 | EME1 |
| 全名 | essential meiotic structure-specific endonuclease 1 |
| 背景介绍 | This gene encodes a protein that complexes with methyl methanesulfonate-sensitive UV-sensitive 81 protein to form an endonuclease complex. The encoded protein interacts with specifc DNA structures including nicked Holliday junctions, 3'-flap structures and aberrant replication fork structures. This protein may be involved in repairing DNA damage and in maintaining genomic stability. Alternative splicing results in multiple transcript variants.[provided by RefSeq, Oct 2009] |
| 生物功能 | Interacts with MUS81 to form a DNA structure-specific endonuclease with substrate preference for branched DNA structures with a 5'-end at the branch nick. Typical substrates include 3'-flap structures, replication forks and nicked Holliday junctions. May be required in mitosis for the processing of stalled or collapsed replication forks. [UniProt] |
| 细胞定位 | Nucleus, nucleolus. Note=Recruited to regions of DNA damage in S-phase cells. [UniProt] |
| 预测分子量 | 63 kDa |
检测图片 (4) Click the Picture to Zoom In
-
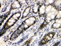
ARG59464 anti-EME1 antibody IHC-P image
Immunohistochemistry: Paraffin-embedded Rat intestine stained with ARG59464 anti-EME1 antibody.
-
ARG59464 anti-EME1 antibody WB image
Western blot: 40 µg of HeLa, Jurkat and HuT whole cell lysates stained with ARG59464 anti-EME1 antibody at 0.5 µg/ml dilution.
-
ARG59464 anti-EME1 antibody FACS image
Flow Cytometry: U2OS cells were blocked with 10% normal goat serum and then stained with ARG59464 anti-EME1 antibody (blue) at 1 µg/10^6 cells for 30 min at 20°C, followed by incubation with DyLight®488 labelled secondary antibody. Isotype control antibody (green) was rabbit IgG (1 µg/10^6 cells) used under the same conditions. Unlabelled sample (red) was also used as a control.
-
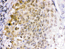
ARG59464 anti-EME1 antibody IHC-P image
Immunohistochemistry: Paraffin-embedded Human lung cancer stained with ARG59464 anti-EME1 antibody.
