ARG51508
anti-ELK1 phospho (Ser383) antibody
anti-ELK1 phospho (Ser383) antibody for IHC-Formalin-fixed paraffin-embedded sections,Western blot and Human,Mouse,Rat
Cancer antibody; Gene Regulation antibody; Signaling Transduction antibody
概述
| 产品描述 | Rabbit Polyclonal antibody recognizes ELK1 phospho (Ser383) |
|---|---|
| 反应物种 | Hu, Ms, Rat |
| 应用 | IHC-P, WB |
| 宿主 | Rabbit |
| 克隆 | Polyclonal |
| 同位型 | IgG |
| 靶点名称 | ELK1 |
| 抗原物种 | Human |
| 抗原 | Peptide sequence around phosphorylation site of serine 383 (T-L-S(p)-P-I) derived from Human Elk-1. |
| 偶联标记 | Un-conjugated |
| 別名 | ETS domain-containing protein Elk-1 |
应用说明
| 应用建议 |
|
||||||
|---|---|---|---|---|---|---|---|
| 应用说明 | * The dilutions indicate recommended starting dilutions and the optimal dilutions or concentrations should be determined by the scientist. |
属性
| 形式 | Liquid |
|---|---|
| 纯化 | Antibodies were produced by immunizing rabbits with KLH-conjugated synthetic phosphopeptide. Antibodies were purified by affinity-chromatography using epitope-specific phosphopeptide. In addition, non-phospho specific antibodies were removed by chromatogramphy using non-phosphopeptide. |
| 缓冲液 | PBS (without Mg2+ and Ca2+, pH 7.4), 150mM NaCl, 0.02% Sodium azide and 50% Glycerol. |
| 抗菌剂 | 0.02% Sodium azide |
| 稳定剂 | 50% Glycerol |
| 浓度 | 1 mg/ml |
| 存放说明 | For continuous use, store undiluted antibody at 2-8°C for up to a week. For long-term storage, aliquot and store at -20°C. Storage in frost free freezers is not recommended. Avoid repeated freeze/thaw cycles. Suggest spin the vial prior to opening. The antibody solution should be gently mixed before use. |
| 注意事项 | For laboratory research only, not for drug, diagnostic or other use. |
生物信息
| 数据库连接 |
Swiss-port # P19419 Human ETS domain-containing protein Elk-1 Swiss-port # P41969 Mouse ETS domain-containing protein Elk-1 |
|---|---|
| 基因名称 | ELK1 |
| 全名 | ELK1, member of ETS oncogene family |
| 背景介绍 | Elk-1 is a member of the Ets family of transcription factors and of the ternary complex factor (TCF) subfamily. Proteins of the TCF subfamily form a ternary complex by binding to the the serum response factor and the serum reponse element in the promoter of the c-fos proto-oncogene. The protein encoded by this gene is a nuclear target for the ras-raf-MAPK signaling cascade. lternatively spliced transcript variants encoding the same protein have been found for this gene. |
| 生物功能 | Stimulates transcription. Binds to purine-rich DNA sequences. Can form a ternary complex with the serum response factor and the ETS and SRF motifs of the fos serum response element. [UniProt] |
| 研究领域 | Cancer antibody; Gene Regulation antibody; Signaling Transduction antibody |
| 预测分子量 | 45 kDa |
| 翻译后修饰 | Sumoylation represses transcriptional activator activity as it results in recruitment of HDAC2 to target gene promoters which leads to decreased histone acetylation and reduced transactivator activity. It also regulates nuclear retention. On mitogenic stimulation, phosphorylated on C-terminal serine and threonine residues by MAPK1. Ser-383 and Ser-389 are the preferred sites for MAPK1. In vitro, phosphorylation by MAPK1 potentiates ternary complex formation with the serum responses factors, SRE and SRF. Also phosphorylated on Ser-383 by MAPK8 and/or MAKP9. Phosphorylation leads to loss of sumoylation and restores transcriptional activator activity. Phosphorylated and activated by CAMK4, MAPK11, MAPK12 and MAPK14. Upon bFGF stimulus, phosphorylated by PAK1 (By similarity). |
检测图片 (2) Click the Picture to Zoom In
-
ARG51508 anti-ELK1 phospho (Ser383) antibody WB image
Western blot: Extracts from HT29 cells untreated or treated with UV stained with ARG51508 anti-ELK1 phospho (Ser383) antibody.
-
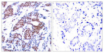
ARG51508 anti-ELK1 phospho (Ser383) antibody IHC-P image
Immunohistochemistry: Paraffin-embedded Human breast carcinoma tissue stained with ARG51508 anti-ELK1 phospho (Ser383) antibody (left) or the same antibody preincubated with blocking peptide (right).
