ARG42678
anti-ELAVL2 + ELAVL4 antibody
anti-ELAVL2 + ELAVL4 antibody for ICC/IF,IHC-Formalin-fixed paraffin-embedded sections,Western blot and Mouse,Rat
概述
| 产品描述 | Rabbit Polyclonal antibody recognizes ELAVL2 + ELAVL4 |
|---|---|
| 反应物种 | Ms, Rat |
| 应用 | ICC/IF, IHC-P, WB |
| 宿主 | Rabbit |
| 克隆 | Polyclonal |
| 同位型 | IgG |
| 靶点名称 | ELAVL2 + ELAVL4 |
| 抗原物种 | Human |
| 抗原 | Recombinant fusion protein corresponding to aa. 1-366 of Human ELAVL4 (NP_001138246.1). |
| 偶联标记 | Un-conjugated |
| 別名 | ELAVL2: HuB; ELAV-like neuronal protein 1; HUB; Hu-antigen B; Nervous system-specific RNA-binding protein Hel-N1; HELN1; HEL-N1; ELAV-like protein 2 ELAVL4: HUD; HuD; Hu-antigen D; Paraneoplastic encephalomyelitis antigen HuD; PNEM; ELAV-like protein 4 |
应用说明
| 应用建议 |
|
||||||||
|---|---|---|---|---|---|---|---|---|---|
| 应用说明 | * The dilutions indicate recommended starting dilutions and the optimal dilutions or concentrations should be determined by the scientist. |
属性
| 形式 | Liquid |
|---|---|
| 纯化 | Affinity purified. |
| 缓冲液 | PBS (pH 7.3), 0.02% Sodium azide and 50% Glycerol. |
| 抗菌剂 | 0.02% Sodium azide |
| 稳定剂 | 50% Glycerol |
| 存放说明 | For continuous use, store undiluted antibody at 2-8°C for up to a week. For long-term storage, aliquot and store at -20°C. Storage in frost free freezers is not recommended. Avoid repeated freeze/thaw cycles. Suggest spin the vial prior to opening. The antibody solution should be gently mixed before use. |
| 注意事项 | For laboratory research only, not for drug, diagnostic or other use. |
生物信息
| 基因名称 | ELAVL2; ELAVL4 |
|---|---|
| 全名 | ELAV like neuron-specific RNA binding protein 2 ELAV like neuron-specific RNA binding protein 4 |
| 背景介绍 | ELAVL2: The protein encoded by this gene is a neural-specific RNA-binding protein that is known to bind to several 3' UTRs, including its own and also that of FOS and ID. The encoded protein may recognize a GAAA motif in the RNA. Three transcript variants encoding two different isoforms have been found for this gene. [provided by RefSeq, Jan 2010] |
| 生物功能 | ELAVL2: RNA-binding protein that binds to the 3' untranslated region (3'UTR) of target mRNAs (By similarity). Seems to recognize a GAAA motif (By similarity). Can bind to its own 3'UTR, the FOS 3'UTR and the ID 3'UTR (By similarity). [UniProt] |
| 预测分子量 | ELAVL2: 40 kDa ELAVL4: 42 kDa |
| 翻译后修饰 | ELAVL4: Methylation at Arg-243 by CARM1 weakens protective binding to the 3'-UTR of CDKN1A mRNA and down-regulates CDKN1A protein expression, thereby maintaining cells in a proliferative state. Methylation is inhibited by NGF, which facilitates neurite outgrowth (By similarity). [UniProt] |
检测图片 (3) Click the Picture to Zoom In
-
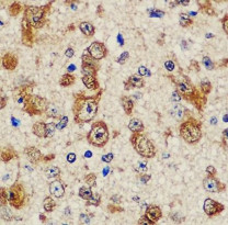
ARG42678 anti-ELAVL2 + ELAVL4 antibody IHC-P image
Immunohistochemistry: Paraffin-embedded Mouse brain tissue stained with ARG42678 anti-ELAVL2 + ELAVL4 antibody at 1:100 dilution.
-
ARG42678 anti-ELAVL2 + ELAVL4 antibody WB image
Western blot: 25 µg of Mouse brain lysate stained with ARG42678 anti-ELAVL2 + ELAVL4 antibody at 1:1000 dilution.
-
ARG42678 anti-ELAVL2 + ELAVL4 antibody IHC image
Immunohistochemistry: Rat brain tissue stained with ARG42678 anti-ELAVL2 + ELAVL4 antibody at 1:100 dilution.
