ARG45800
anti-EIF3C antibody
anti-EIF3C antibody for IHC-Formalin-fixed paraffin-embedded sections,Western blot and Human,Mouse,Rat
概述
| 产品描述 | Rabbit Polyclonal antibody recognizes EIF3C |
|---|---|
| 反应物种 | Hu, Ms, Rat |
| 应用 | IHC-P, WB |
| 宿主 | Rabbit |
| 克隆 | Polyclonal |
| 同位型 | IgG |
| 靶点名称 | EIF3C |
| 抗原物种 | Human |
| 抗原 | Recombinant protein containing to human EIF3C. |
| 偶联标记 | Un-conjugated |
| 別名 | EIF3C; Eukaryotic Translation Initiation Factor 3 Subunit C; EIF3-P110; EIF3S8; Eukaryotic Translation Initiation Factor 3, Subunit 8, 110kDa; Eukaryotic Translation Initiation Factor 3 Subunit 8; Eukaryotic Translation Initiation Factor 3, Subunit 8 (110kD); Eukaryotic Translation Initiation Factor 3, Subunit C; Cell Migration-Inducing Protein 17; EIF3 P110; EIF3CL; EIF3c |
应用说明
| 应用建议 |
|
||||||
|---|---|---|---|---|---|---|---|
| 应用说明 | * The dilutions indicate recommended starting dilutions and the optimal dilutions or concentrations should be determined by the scientist. |
属性
| 形式 | Liquid |
|---|---|
| 纯化 | Affinity purified |
| 缓冲液 | 0.2% Na2HPO4, 0.9% NaCl and 4% Trehalose. |
| 稳定剂 | 4% Trehalose |
| 浓度 | 0.5 mg/ml |
| 存放说明 | For continuous use, store undiluted antibody at 2-8°C for up to a week. For long-term storage, aliquot and store at -20°C or below. Storage in frost free freezers is not recommended. Avoid repeated freeze/thaw cycles. Suggest spin the vial prior to opening. The antibody solution should be gently mixed before use. |
| 注意事项 | For laboratory research only, not for drug, diagnostic or other use. |
生物信息
| 数据库连接 | |
|---|---|
| 基因名称 | EIF3C |
| 全名 | Eukaryotic Translation Initiation Factor 3 Subunit C |
| 背景介绍 | Enables ribosome binding activity. Contributes to translation initiation factor activity. Involved in positive regulation of translation and translational initiation. Part of eukaryotic translation initiation factor 3 complex. [provided by Alliance of Genome Resources, Feb 2025] |
| 生物功能 | Component of the eukaryotic translation initiation factor 3 (eIF-3) complex, which is required for several steps in the initiation of protein synthesis. [UniProt] |
| 细胞定位 | Cytoplasm. [UniProt] |
| 预测分子量 | 105 kDa |
| 翻译后修饰 | Acetylation; Phosphoprotein. [UniProt] |
检测图片 (3) Click the Picture to Zoom In
-
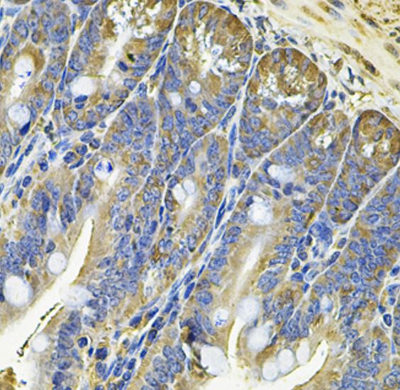
ARG45800 anti-EIF3C antibody IHC-P image
Immunohistochemistry: Mouse intestine stained with ARG45800 anti-EIF3C antibody at 1:1000 dilution.
-
ARG45800 anti-EIF3C antibody WB image
Western blot: HL-60 stained with ARG45800 anti-EIF3C antibody at 1:1000 dilution.
-
ARG45800 anti-EIF3C antibody WB image
Western blot: Mouse testis stained with ARG45800 anti-EIF3C antibody at 1:1000 dilution.
