ARG45557
anti-EHD3 antibody
anti-EHD3 antibody for Flow cytometry,ICC/IF,IHC-Formalin-fixed paraffin-embedded sections,Western blot and Human,Mouse,Rat,Monkey
概述
| 产品描述 | Rabbit Polyclonal antibody recognizes EHD3 |
|---|---|
| 反应物种 | Hu, Ms, Rat, Mk |
| 应用 | FACS, ICC/IF, IHC-P, WB |
| 宿主 | Rabbit |
| 克隆 | Polyclonal |
| 同位型 | IgG |
| 靶点名称 | EHD3 |
| 抗原物种 | Human |
| 抗原 | Synthetic peptide corresponding to C-terminal region of human EHD3. |
| 偶联标记 | Un-conjugated |
| 別名 | EHD3; EH Domain Containing 3; PAST3; EH Domain-Containing Protein 3; PAST Homolog 3; EHD2 |
应用说明
| 应用建议 |
|
||||||||||
|---|---|---|---|---|---|---|---|---|---|---|---|
| 应用说明 | * The dilutions indicate recommended starting dilutions and the optimal dilutions or concentrations should be determined by the scientist. | ||||||||||
| 实际分子量 | 70 kDa |
属性
| 形式 | Liquid |
|---|---|
| 纯化 | Affinity purified |
| 缓冲液 | 0.2% Na2HPO4, 0.9% NaCl and 4% Trehalose. |
| 稳定剂 | 4% Trehalose |
| 浓度 | 0.5 mg/ml |
| 存放说明 | For continuous use, store undiluted antibody at 2-8°C for up to a week. For long-term storage, aliquot and store at -20°C or below. Storage in frost free freezers is not recommended. Avoid repeated freeze/thaw cycles. Suggest spin the vial prior to opening. The antibody solution should be gently mixed before use. |
| 注意事项 | For laboratory research only, not for drug, diagnostic or other use. |
生物信息
| 数据库连接 | |
|---|---|
| 基因名称 | EHD3 |
| 全名 | EH Domain Containing 3 |
| 背景介绍 | Predicted to enable nucleic acid binding activity. Involved in several processes, including cytosolic transport; endocytic recycling; and protein homooligomerization. Acts upstream of or within protein localization to plasma membrane and regulation of cardiac muscle cell membrane potential. Located in ciliary pocket membrane and recycling endosome membrane. [provided by Alliance of Genome Resources, Feb 2025] |
| 生物功能 | TP- and membrane-binding protein that controls membrane reorganization/tubulation upon ATP hydrolysis. In vitro causes tubulation of endocytic membranes. Binding to phosphatidic acid induces its membrane tubulation activity (By similarity). Plays a role in endocytic transport. Involved in early endosome to recycling endosome compartment (ERC), retrograde early endosome to Golgi, and endosome to plasma membrane (rapid recycling) protein transport. Involved in the regulation of Golgi maintenance and morphology. [UniProt] |
| 细胞定位 | Cell membrane; Cell projection; Cilium; Endosome; Membrane. [UniProt] |
| 预测分子量 | 61 kDa |
| 翻译后修饰 | Acetylation; Isopeptide bond; Phosphoprotein; Ubl conjugation. [UniProt] |
检测图片 (6) Click the Picture to Zoom In
-
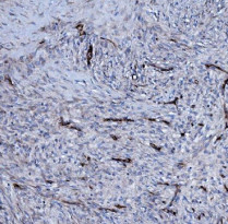
ARG45557 anti-EHD3 antibody IHC-P image
Immunohistochemistry: Human ovarian serous adenocarcinoma stained with ARG45557 anti-EHD3 antibody at 2 μg/ml dilution.
-
ARG45557 anti-EHD3 antibody ICC/IF image
Immunofluorescence: MCF-7 stained with ARG45557 anti-EHD3 antibody at 5 μg/ml dilution.
-
ARG45557 anti-EHD3 antibody WB image
Western blot: A549 stained with ARG45557 anti-EHD3 antibody at 0.5 μg/ml dilution.
-
ARG45557 anti-EHD3 antibody FACS image
Flow Cytometry: MCF-7 stained with ARG45557 anti-EHD3 antibody at 1 µg/10^6 cells dilution.
-
ARG45557 anti-EHD3 antibody IHC-P image
Immunohistochemistry: Rat brain stained with ARG45557 anti-EHD3 antibody at 2 μg/ml dilution.
-
ARG45557 anti-EHD3 antibody WB image
Western blot: monkey heart stained with ARG45557 anti-EHD3 antibody at 0.5 μg/ml dilution.
