ARG58133
anti-EBAG9 / RCAS1 antibody
anti-EBAG9 / RCAS1 antibody for IHC-Formalin-fixed paraffin-embedded sections,Western blot and Human,Mouse,Rat
概述
| 产品描述 | Rabbit Polyclonal antibody recognizes EBAG9 / RCAS1 |
|---|---|
| 反应物种 | Hu, Ms, Rat |
| 应用 | IHC-P, WB |
| 宿主 | Rabbit |
| 克隆 | Polyclonal |
| 同位型 | IgG |
| 靶点名称 | EBAG9 / RCAS1 |
| 抗原物种 | Human |
| 抗原 | Synthetic peptide corresponding to aa. 31-213 of Human EBAG9. |
| 偶联标记 | Un-conjugated |
| 別名 | Cancer-associated surface antigen RCAS1; Receptor-binding cancer antigen expressed on SiSo cells; Estrogen receptor-binding fragment-associated gene 9 protein; EB9; PDAF |
应用说明
| 应用建议 |
|
||||||
|---|---|---|---|---|---|---|---|
| 应用说明 | IHC-P: Antigen Retrieval: Boil tissue section in 10mM Citrate buffer (pH 6.0) for 20 min followed by cooling at RT. * The dilutions indicate recommended starting dilutions and the optimal dilutions or concentrations should be determined by the scientist. |
属性
| 形式 | Liquid |
|---|---|
| 纯化 | Affinity purification with immunogen. |
| 缓冲液 | PBS, 0.025% Sodium azide and 2.5% BSA. |
| 抗菌剂 | 0.025% Sodium azide |
| 稳定剂 | 2.5% BSA |
| 浓度 | 0.5 mg/ml |
| 存放说明 | For continuous use, store undiluted antibody at 2-8°C for up to a week. For long-term storage, aliquot and store at -20°C or below. Storage in frost free freezers is not recommended. Avoid repeated freeze/thaw cycles. Suggest spin the vial prior to opening. The antibody solution should be gently mixed before use. |
| 注意事项 | For laboratory research only, not for drug, diagnostic or other use. |
生物信息
| 数据库连接 | |
|---|---|
| 基因名称 | EBAG9 |
| 全名 | estrogen receptor binding site associated, antigen, 9 |
| 背景介绍 | This gene was identified as an estrogen-responsive gene. Regulation of transcription by estrogen is mediated by estrogen receptor, which binds to the estrogen-responsive element found in the 5'-flanking region of this gene. The encoded protein is a tumor-associated antigen that is expressed at high frequency in a variety of cancers. Alternate splicing results in multiple transcript variants. A pseudogene of this gene has been defined on chromosome 10. [provided by RefSeq, Jul 2013] |
| 生物功能 | May participate in suppression of cell proliferation and induces apoptotic cell death through activation of interleukin-1-beta converting enzyme (ICE)-like proteases. [UniProt] |
| 细胞定位 | Cytoplasmic. [UniProt] |
| 预测分子量 | 24 kDa |
检测图片 (4) Click the Picture to Zoom In
-
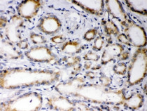
ARG58133 anti-EBAG9 / RCAS1 antibody IHC-P image
Immunohistochemistry: Formalin-fixed and paraffin-embedded Human prostate cancer tissue stained with ARG58133 anti-EBAG9 / RCAS1 antibody. Antigen Retrieval: Boil tissue section in 10mM Citrate buffer (pH 6.0) for 20 min followed by cooling at RT.
-
ARG58133 anti-EBAG9 / RCAS1 antibody WB image
Western blot: Rat testis, 22RV1, HeLa, MCF7 and Jurkat cell lysates stained with ARG58133 anti-EBAG9 / RCAS1 antibody.
-
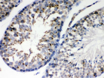
ARG58133 anti-EBAG9 / RCAS1 antibody IHC-P image
Immunohistochemistry: Formalin-fixed and paraffin-embedded Mouse testis stained with ARG58133 anti-EBAG9 / RCAS1 antibody. Antigen Retrieval: Boil tissue section in 10mM Citrate buffer (pH 6.0) for 20 min followed by cooling at RT.
-
ARG58133 anti-EBAG9 / RCAS1 antibody IHC-P image
Immunohistochemistry: Formalin-fixed and paraffin-embedded Rat testis stained with ARG58133 anti-EBAG9 / RCAS1 antibody. Antigen Retrieval: Boil tissue section in 10mM Citrate buffer (pH 6.0) for 20 min followed by cooling at RT.
