ARG45526
anti-E2F3 antibody
anti-E2F3 antibody for Flow cytometry,IHC-Formalin-fixed paraffin-embedded sections,Western blot and Human,Mouse,Rat
概述
| 产品描述 | Rabbit Polyclonal antibody recognizes E2F3 |
|---|---|
| 反应物种 | Hu, Ms, Rat |
| 应用 | FACS, IHC-P, WB |
| 宿主 | Rabbit |
| 克隆 | Polyclonal |
| 同位型 | IgG |
| 靶点名称 | E2F3 |
| 抗原物种 | Human |
| 抗原 | Recombinant protein containing to human E2F3. |
| 偶联标记 | Un-conjugated |
| 別名 | E2F3; E2F Transcription Factor 3; Transcription Factor E2F3; E2F-3; KIAA0075 |
应用说明
| 应用建议 |
|
||||||||
|---|---|---|---|---|---|---|---|---|---|
| 应用说明 | * The dilutions indicate recommended starting dilutions and the optimal dilutions or concentrations should be determined by the scientist. | ||||||||
| 实际分子量 | 45 kDa |
属性
| 形式 | Liquid |
|---|---|
| 纯化 | Affinity purified |
| 缓冲液 | 0.2% Na2HPO4, 0.9% NaCl and 4% Trehalose. |
| 稳定剂 | 4% Trehalose |
| 浓度 | 0.5 mg/ml |
| 存放说明 | For continuous use, store undiluted antibody at 2-8°C for up to a week. For long-term storage, aliquot and store at -20°C or below. Storage in frost free freezers is not recommended. Avoid repeated freeze/thaw cycles. Suggest spin the vial prior to opening. The antibody solution should be gently mixed before use. |
| 注意事项 | For laboratory research only, not for drug, diagnostic or other use. |
生物信息
| 数据库连接 | |
|---|---|
| 基因名称 | E2F3 |
| 全名 | E2F Transcription Factor 3 |
| 背景介绍 | This gene encodes a member of a small family of transcription factors that function through binding of DP interaction partner proteins. The encoded protein recognizes a specific sequence motif in DNA and interacts directly with the retinoblastoma protein (pRB) to regulate the expression of genes involved in the cell cycle. Altered copy number and activity of this gene have been observed in a number of human cancers. There are pseudogenes for this gene on chromosomes 2 and 17. Alternative splicing results in multiple transcript variants. [provided by RefSeq, Mar 2013] |
| 生物功能 | Transcription activator that binds DNA cooperatively with DP proteins through the E2 recognition site, 5'-TTTC[CG]CGC-3' found in the promoter region of a number of genes whose products are involved in cell cycle regulation or in DNA replication. The DRTF1/E2F complex functions in the control of cell-cycle progression from G1 to S phase. E2F3 binds specifically to RB1 in a cell-cycle dependent manner. Inhibits adipogenesis, probably through the repression of CEBPA binding to its target gene promoters. [UniProt] |
| 细胞定位 | Nucleus. [UniProt] |
| 预测分子量 | 49 kDa |
检测图片 (5) Click the Picture to Zoom In
-
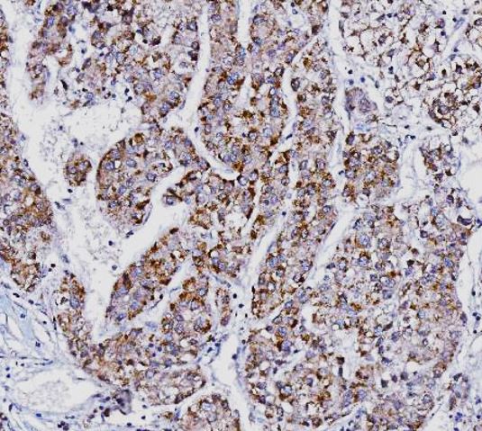
ARG45526 anti-E2F3 antibody IHC-P image
Immunohistochemistry: Human liver cancer stained with ARG45526 anti-E2F3 antibody at 2 μg/ml dilution.
-
ARG45526 anti-E2F3 antibody WB image
Western blot: 293T stained with ARG45526 anti-E2F3 antibody at 0.5 μg/ml dilution.
-
ARG45526 anti-E2F3 antibody FACS image
Flow Cytometry: HL-60 stained with ARG45526 anti-E2F3 antibody at 1 µg/10^6 cells dilution.
-
ARG45526 anti-E2F3 antibody WB image
Western blot: Rat lung stained with ARG45526 anti-E2F3 antibody at 0.5 μg/ml dilution.
-
ARG45526 anti-E2F3 antibody WB image
Western blot: Mouse spleen stained with ARG45526 anti-E2F3 antibody at 0.5 μg/ml dilution.
