ARG52961
anti-Dysferlin antibody
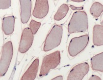
anti-Dysferlin antibody for IHC-Formalin-fixed paraffin-embedded sections,Western blot and Human
Cell Biology and Cellular Response antibody
概述
| 产品描述 | Rabbit Polyclonal antibody recognizes Dysferlin |
|---|---|
| 反应物种 | Hu |
| 应用 | IHC-P, WB |
| 宿主 | Rabbit |
| 克隆 | Polyclonal |
| 同位型 | IgG |
| 靶点名称 | Dysferlin |
| 抗原物种 | Human |
| 抗原 | Synthetic peptide derived from C-terminus of human dysferlin. |
| 偶联标记 | Un-conjugated |
| 別名 | FER1L1; Dystrophy-associated fer-1-like protein; Fer-1-like protein 1; LGMD2B; MMD1; Dysferlin |
应用说明
| 应用建议 |
|
||||||
|---|---|---|---|---|---|---|---|
| 应用说明 | IHC-P: Antigen Retrieval: Boil tissue section in 10mM citrate buffer, pH 6.0 for 10 min followed by cooling at RT for 20 min. Incubation Time: 10 min at RT. * The dilutions indicate recommended starting dilutions and the optimal dilutions or concentrations should be determined by the scientist. |
||||||
| 阳性对照 | Skeletal Muscle, Human Skeletal Muscle |
属性
| 形式 | Liquid |
|---|---|
| 纯化 | Immunogen affinity purified |
| 缓冲液 | PBS (pH 7.6), 1% BSA and <0.1% Sodium azide |
| 抗菌剂 | <0.1% Sodium azide |
| 稳定剂 | 1% BSA |
| 存放说明 | For continuous use, store undiluted antibody at 2-8°C for up to a week. For long-term storage, aliquot and store at -20°C or below. Storage in frost free freezers is not recommended. Avoid repeated freeze/thaw cycles. Suggest spin the vial prior to opening. The antibody solution should be gently mixed before use. |
| 注意事项 | For laboratory research only, not for drug, diagnostic or other use. |
生物信息
| 数据库连接 | |
|---|---|
| 背景介绍 | Dysferlin is the protein product of the 2p13 gene that is defective in patients with Limb-Girdle Muscular Dystrophy type 2B (LGMD2B) and Miyoshi Myopathy (MM). Dysferlin is normally localized to the muscle plasma membrane. In patients with LGMD2B and MM, immunoreactivity to dysferlin is severely reduced or lost, depending on the type of mutation. |
| 细胞定位 | Cytoplasm, Membrane |
| 研究领域 | Cell Biology and Cellular Response antibody |
| 预测分子量 | 237 kDa |
检测图片 (2) Click the Picture to Zoom In
