ARG45419
anti-Duox2 antibody
anti-Duox2 antibody for IHC-Formalin-fixed paraffin-embedded sections,Western blot and Mouse,Rat
概述
| 产品描述 | Rabbit Polyclonal antibody recognizes Duox2 |
|---|---|
| 反应物种 | Ms, Rat |
| 应用 | IHC-P, WB |
| 宿主 | Rabbit |
| 克隆 | Polyclonal |
| 同位型 | IgG |
| 靶点名称 | Duox2 |
| 抗原物种 | Mouse |
| 抗原 | Recombinant protein containing to mouse Duox2. |
| 偶联标记 | Un-conjugated |
| 別名 | DUOX2; Dual Oxidase 2; THOX2; LNOX2; NADH/NADPH Thyroid Oxidase P138-Tox; NADPH Oxidase/Peroxidase DUOX2; NADPH Thyroid Oxidase 2; P138-TOX; Nicotinamide Adenine Dinucleotide Phosphate Oxidase; Dual Oxidase-Like Domains 2; Flavoprotein NADPH Oxidase; P138 Thyroid Oxidase; Thyroid Oxidase 2; Large NOX 2; Long NOX 2; P138(TOX); EC 1.11.1.-; EC 1.6.3.1; NOXEF2; TDH6 |
应用说明
| 应用建议 |
|
||||||
|---|---|---|---|---|---|---|---|
| 应用说明 | * The dilutions indicate recommended starting dilutions and the optimal dilutions or concentrations should be determined by the scientist. | ||||||
| 实际分子量 | 175 kDa |
属性
| 形式 | Liquid |
|---|---|
| 纯化 | Affinity purified |
| 缓冲液 | 0.2% Na2HPO4, 0.9% NaCl and 4% Trehalose. |
| 稳定剂 | 4% Trehalose |
| 浓度 | 0.5 mg/ml |
| 存放说明 | For continuous use, store undiluted antibody at 2-8°C for up to a week. For long-term storage, aliquot and store at -20°C or below. Storage in frost free freezers is not recommended. Avoid repeated freeze/thaw cycles. Suggest spin the vial prior to opening. The antibody solution should be gently mixed before use. |
| 注意事项 | For laboratory research only, not for drug, diagnostic or other use. |
生物信息
| 基因名称 | DUOX2 |
|---|---|
| 全名 | Dual Oxidase 2 |
| 背景介绍 | The protein encoded by this gene is a glycoprotein and a member of the NADPH oxidase family. The synthesis of thyroid hormone is catalyzed by a protein complex located at the apical membrane of thyroid follicular cells. This complex contains an iodide transporter, thyroperoxidase, and a peroxide generating system that includes this encoded protein and DUOX1. This protein is known as dual oxidase because it has both a peroxidase homology domain and a gp91phox domain. [provided by RefSeq, Jul 2008] |
| 生物功能 | Generates hydrogen peroxide which is required for the activity of thyroid peroxidase/TPO and lactoperoxidase/LPO. Plays a role in thyroid hormones synthesis and lactoperoxidase-mediated antimicrobial defense at the surface of mucosa. May have its own peroxidase activity through its N-terminal peroxidase-like domain. [UniProt] |
| 细胞定位 | Cell junction; Cell membrane; Membrane. [UniProt] |
| 预测分子量 | 175 kDa |
| 翻译后修饰 | Disulfide bond; Glycoprotein. [UniProt] |
检测图片 (3) Click the Picture to Zoom In
-
ARG45419 anti-Duox2 antibody WB image
Western blot: Rat liver stained with ARG45419 anti-Duox2 antibody at 0.5 μg/ml dilution.
-
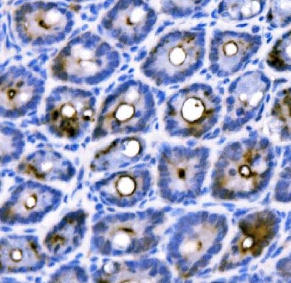
ARG45419 anti-Duox2 antibody IHC-P image
Immunohistochemistry: Mouse colon stained with ARG45419 anti-Duox2 antibody at 2 μg/ml dilution.
-
ARG45419 anti-Duox2 antibody WB image
Western blot: Mouse liver stained with ARG45419 anti-Duox2 antibody at 0.5 μg/ml dilution.
