ARG44650
anti-Drebrin antibody
anti-Drebrin antibody for IHC-Formalin-fixed paraffin-embedded sections,Immunoprecipitation,Western blot and Human,Mouse,Rat
概述
| 产品描述 | Mouse Monoclonal antibody recognizes Drebrin |
|---|---|
| 反应物种 | Hu, Ms, Rat |
| 应用 | IHC-P, IP, WB |
| 宿主 | Mouse |
| 克隆 | Monoclonal |
| 同位型 | IgG1 |
| 靶点名称 | Drebrin |
| 抗原物种 | Human |
| 偶联标记 | Un-conjugated |
| 別名 | DBN1; Drebrin 1; D0S117E; Developmentally-Regulated Brain Protein; Drebrin; Drebrin E2; Drebrin A; Drebrin E |
应用说明
| 应用建议 |
|
||||||||
|---|---|---|---|---|---|---|---|---|---|
| 应用说明 | * The dilutions indicate recommended starting dilutions and the optimal dilutions or concentrations should be determined by the scientist. |
属性
| 形式 | Liquid |
|---|---|
| 纯化 | Protein A purification |
| 缓冲液 | PBS with 0.09% sodium azide |
| 抗菌剂 | 0.09% sodium azide |
| 存放说明 | For continuous use, store undiluted antibody at 2-8°C for up to a week. For long-term storage, aliquot and store at -20°C or below. Storage in frost free freezers is not recommended. Avoid repeated freeze/thaw cycles. Suggest spin the vial prior to opening. The antibody solution should be gently mixed before use. |
| 注意事项 | For laboratory research only, not for drug, diagnostic or other use. |
生物信息
| 数据库连接 | |
|---|---|
| 基因名称 | DBN1 |
| 全名 | Drebrin 1 |
| 背景介绍 | The protein encoded by this gene is a cytoplasmic actin-binding protein thought to play a role in the process of neuronal growth. It is a member of the drebrin family of proteins that are developmentally regulated in the brain. A decrease in the amount of this protein in the brain has been implicated as a possible contributing factor in the pathogenesis of memory disturbance in Alzheimer's disease. At least two alternative splice variants encoding different protein isoforms have been described for this gene. [provided by RefSeq, Jul 2008] |
| 生物功能 | Involved in memory-related synaptic plasticity in the hippocampus (By similarity). [UniProt] |
| 细胞定位 | Cell junction, Cell projection, Cytoplasm. [UniProt] |
| 预测分子量 | 71 kDa |
| 翻译后修饰 | Acetylation, Phosphoprotein. [UniProt] |
检测图片 (5) Click the Picture to Zoom In
-
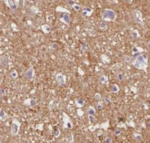
ARG44650 anti-Drebrin antibody IHC-P image
Immunohistochemistry: Human Brain stained with ARG44650 anti-Drebrin antibody at 5 µg/mL dilution.
-
ARG44650 anti-Drebrin antibody WB image
Western blot: SH-SY5Y stained with ARG44650 anti-Drebrin antibody at 1 µg/mL dilution.
-
ARG44650 anti-Drebrin antibody IP image
Immunoprecipitation: Mouse Brain lysate immunoprecipitated with 2.5 µg of ARG44650 anti-Drebrin antibody.
-
ARG44650 anti-Drebrin antibody WB image
Western blot: Rat Brain stained with ARG44650 anti-Drebrin antibody at 1 µg/mL dilution.
-
ARG44650 anti-Drebrin antibody WB image
Western blot: Mouse Brain stained with ARG44650 anti-Drebrin antibody at 1 µg/mL dilution.
