ARG63464
anti-Dicarbonyl Reductase antibody
anti-Dicarbonyl Reductase antibody for IHC-Formalin-fixed paraffin-embedded sections,Western blot and Human
Metabolism antibody; Signaling Transduction antibody
概述
| 产品描述 | Goat Polyclonal antibody recognizes Dicarbonyl Reductase |
|---|---|
| 反应物种 | Hu |
| 应用 | IHC-P, WB |
| 宿主 | Goat |
| 克隆 | Polyclonal |
| 同位型 | IgG |
| 靶点名称 | Dicarbonyl Reductase |
| 抗原物种 | Human |
| 抗原 | GSTLPVEGGFWAC |
| 偶联标记 | Un-conjugated |
| 別名 | PNTSU; Sperm surface protein P34H; EC 1.1.1.10; Kidney dicarbonyl reductase; HCRII; kiDCR; Short chain dehydrogenase/reductase family 20C member 1; KIDCR; Carbonyl reductase II; SDR20C1; Dicarbonyl/L-xylulose reductase; XR; P34H; DCR; L-xylulose reductase; HCR2 |
应用说明
| 应用建议 |
|
||||||
|---|---|---|---|---|---|---|---|
| 应用说明 | IHC-P: Antigen Retrieval: Microwaved tissue section in Citrate buffer (pH 6.0). WB: Recommend incubate at RT for 1h. * The dilutions indicate recommended starting dilutions and the optimal dilutions or concentrations should be determined by the scientist. |
属性
| 形式 | Liquid |
|---|---|
| 纯化 | Purified from goat serum by antigen affinity chromatography. |
| 缓冲液 | Tris saline (pH 7.3), 0.02% Sodium azide and 0.5% BSA. |
| 抗菌剂 | 0.02% Sodium azide |
| 稳定剂 | 0.5% BSA |
| 浓度 | 0.5 mg/ml |
| 存放说明 | For continuous use, store undiluted antibody at 2-8°C for up to a week. For long-term storage, aliquot and store at -20°C or below. Storage in frost free freezers is not recommended. Avoid repeated freeze/thaw cycles. Suggest spin the vial prior to opening. The antibody solution should be gently mixed before use. |
| 注意事项 | For laboratory research only, not for drug, diagnostic or other use. |
生物信息
| 数据库连接 | |
|---|---|
| 背景介绍 | The protein encoded by this gene acts as a homotetramer to catalyze diacetyl reductase and L-xylulose reductase reactions. The encoded protein may play a role in the uronate cycle of glucose metabolism and in the cellular osmoregulation in the proximal renal tubules. Defects in this gene are a cause of pentosuria. Two transcript variants encoding different isoforms have been found for this gene.[provided by RefSeq, Aug 2010] |
| 研究领域 | Metabolism antibody; Signaling Transduction antibody |
| 预测分子量 | 26 kDa |
检测图片 (2) Click the Picture to Zoom In
-
ARG63464 anti-Dicarbonyl Reductase antibody WB image
Western Blot: human kidney lysate (RIPA buffer, 35 µg total protein per lane) stained with ARG63464 anti-DCXR antibody at 0.1 µg/ml dilution.
-
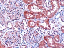
ARG63464 anti-Dicarbonyl Reductase antibody IHC-P image
Immunohistochemistry: paraffin embedded human kidney. (Microwaved antigen retrieval with citrate buffer pH 6) stained with ARG63464 anti-DCXR antibody at 1 µg/ml dilution followed by HRP-staining.
