ARG52941
anti-Desmin antibody
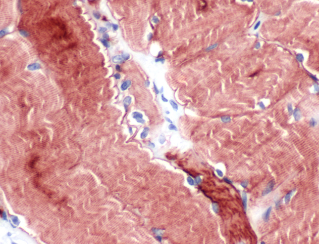
anti-Desmin antibody for IHC-Formalin-fixed paraffin-embedded sections,Immunoprecipitation,Western blot and Human,Mouse,Rat
Cancer antibody; Cell Biology and Cellular Response antibody; Developmental Biology antibody; Signaling Transduction antibody; Smooth Muscle Marker antibody; Cardiomyocyte Cell Surface Marker antibody; Mural Cell Marker antibody; Microvascular Density Study antibody
1
概述
| 产品描述 | Rabbit Polyclonal antibody recognizes Desmin |
|---|---|
| 反应物种 | Hu, Ms, Rat |
| 应用 | IHC-P, IP, WB |
| 宿主 | Rabbit |
| 克隆 | Polyclonal |
| 同位型 | IgG |
| 靶点名称 | Desmin |
| 抗原物种 | Human |
| 抗原 | Synthetic peptide mapping near the C-terminus of human desmin. |
| 偶联标记 | Un-conjugated |
| 別名 | LGMD2R; CSM1; Desmin; CSM2 |
应用说明
| 应用建议 |
|
||||||||
|---|---|---|---|---|---|---|---|---|---|
| 应用说明 | IHC-P: Incubation Time: 10 min at RT. * The dilutions indicate recommended starting dilutions and the optimal dilutions or concentrations should be determined by the scientist. |
||||||||
| 阳性对照 | Sarcomas, Skeletal Muscle |
属性
| 形式 | Liquid |
|---|---|
| 纯化 | Immunogen affinity purified |
| 缓冲液 | PBS (pH 7.6), 1% BSA and <0.1% Sodium azide |
| 抗菌剂 | <0.1% Sodium azide |
| 稳定剂 | 1% BSA |
| 存放说明 | For continuous use, store undiluted antibody at 2-8°C for up to a week. For long-term storage, aliquot and store at -20°C or below. Storage in frost free freezers is not recommended. Avoid repeated freeze/thaw cycles. Suggest spin the vial prior to opening. The antibody solution should be gently mixed before use. |
| 注意事项 | For laboratory research only, not for drug, diagnostic or other use. |
生物信息
| 数据库连接 | |
|---|---|
| 全名 | desmin |
| 背景介绍 | Desmin is a muscle-specific class III intermediate filament. Homopolymers of this protein form a stable intracytoplasmic filamentous network connecting myofibrils to each other and to the plasma membrane. Mutations in this gene are associated with desmin-related myopathy, a familial cardiac and skeletal myopathy (CSM), and with distal myopathies. [provided by RefSeq, Jul 2008] |
| 生物功能 | Desmin: Muscle-specific type III intermediate filament essential for proper muscular structure and function. Plays a crucial role in maintaining the structure of sarcomeres, inter-connecting the Z-disks and forming the myofibrils, linking them not only to the sarcolemmal cytoskeleton, but also to the nucleus and mitochondria, thus providing strength for the muscle fiber during activity (PubMed:25358400). In adult striated muscle they form a fibrous network connecting myofibrils to each other and to the plasma membrane from the periphery of the Z-line structures (PubMed:24200904, PubMed:25394388, PubMed:26724190). May act as a sarcomeric microtubule-anchoring protein: specifically associates with detyrosinated tubulin-alpha chains, leading to buckled microtubules and mechanical resistance to contraction. Contributes to the transcriptional regulation of the NKX2-5 gene in cardiac progenitor cells during a short period of cardiomyogenesis and in cardiac side population stem cells in the adult. Plays a role in maintaining an optimal conformation of nebulette (NEB) on heart muscle sarcomeres to bind and recruit cardiac alpha-actin. [UniProt] |
| 细胞定位 | Cytoplasm |
| 产品亮点 | Related Antibody Duos and Panels: ARG30051 Smooth Muscle Marker Antibody Duo (Desmin, SMA) ARG30142 Cardiomyocyte Cell Surface Marker Antibody Panel (Cx43, Desmin, SIRP) Related products: Desmin antibodies; Desmin Duos / Panels; Anti-Rabbit IgG secondary antibodies; Related news: Pericytes, new therapeutic target for Alzheimer's disease? |
| 研究领域 | Cancer antibody; Cell Biology and Cellular Response antibody; Developmental Biology antibody; Signaling Transduction antibody; Smooth Muscle Marker antibody; Cardiomyocyte Cell Surface Marker antibody; Mural Cell Marker antibody; Microvascular Density Study antibody |
| 预测分子量 | 54 kDa |
| 翻译后修饰 | ADP-ribosylation prevents ability to form intermediate filaments. |
检测图片 (2) Click the Picture to Zoom In
