ARG58578
anti-DUT / Dutpase antibody
anti-DUT / Dutpase antibody for IHC-Formalin-fixed paraffin-embedded sections,Western blot and Human,Rat
概述
| 产品描述 | Rabbit Polyclonal antibody recognizes DUT / Dutpase |
|---|---|
| 反应物种 | Hu, Rat |
| 应用 | IHC-P, WB |
| 宿主 | Rabbit |
| 克隆 | Polyclonal |
| 同位型 | IgG |
| 靶点名称 | DUT / Dutpase |
| 抗原物种 | Human |
| 抗原 | Synthetic peptide corresponding to aa. 212-229 of Human DUT. (KKGDRIAQLICERIFYPE) |
| 偶联标记 | Un-conjugated |
| 別名 | EC 3.6.1.23; dUTPase; Deoxyuridine 5'-triphosphate nucleotidohydrolase, mitochondrial; dUTP pyrophosphatase |
应用说明
| 应用建议 |
|
||||||
|---|---|---|---|---|---|---|---|
| 应用说明 | IHC-P: Antigen Retrieval: Heat mediation was performed in Citrate buffer (pH 6.0) for 20 min. * The dilutions indicate recommended starting dilutions and the optimal dilutions or concentrations should be determined by the scientist. |
属性
| 形式 | Liquid |
|---|---|
| 纯化 | Affinity purification with immunogen. |
| 缓冲液 | 0.9% NaCl, 0.2% Na2HPO4, 0.05% Thimerosal, 0.05% Sodium azide and 5% BSA. |
| 抗菌剂 | 0.05% Thimerosal and 0.05% Sodium azide |
| 稳定剂 | 5% BSA |
| 浓度 | 0.5 mg/ml |
| 存放说明 | For continuous use, store undiluted antibody at 2-8°C for up to a week. For long-term storage, aliquot and store at -20°C or below. Storage in frost free freezers is not recommended. Avoid repeated freeze/thaw cycles. Suggest spin the vial prior to opening. The antibody solution should be gently mixed before use. |
| 注意事项 | For laboratory research only, not for drug, diagnostic or other use. |
生物信息
| 数据库连接 |
Swiss-port # P33316 Human Deoxyuridine 5'-triphosphate nucleotidohydrolase, mitochondrial Swiss-port # P70583 Rat Deoxyuridine 5'-triphosphate nucleotidohydrolase |
|---|---|
| 基因名称 | DUT |
| 全名 | deoxyuridine triphosphatase |
| 背景介绍 | This gene encodes an essential enzyme of nucleotide metabolism. The encoded protein forms a ubiquitous, homotetrameric enzyme that hydrolyzes dUTP to dUMP and pyrophosphate. This reaction serves two cellular purposes: providing a precursor (dUMP) for the synthesis of thymine nucleotides needed for DNA replication, and limiting intracellular pools of dUTP. Elevated levels of dUTP lead to increased incorporation of uracil into DNA, which induces extensive excision repair mediated by uracil glycosylase. This repair process, resulting in the removal and reincorporation of dUTP, is self-defeating and leads to DNA fragmentation and cell death. Alternative splicing of this gene leads to different isoforms that localize to either the mitochondrion or nucleus. A related pseudogene is located on chromosome 19. [provided by RefSeq, Jul 2008] |
| 生物功能 | This enzyme is involved in nucleotide metabolism: it produces dUMP, the immediate precursor of thymidine nucleotides and it decreases the intracellular concentration of dUTP so that uracil cannot be incorporated into DNA. [UniProt] |
| 细胞定位 | Isoform 2: Nucleus. [UniProt] |
| 预测分子量 | 27 kDa |
| 翻译后修饰 | Nuclear isoform 2 is phosphorylated in vivo on Ser-11, a reaction that can be catalyzed in vitro by CDC2. Phosphorylation in mature T-cells occurs in a cell cycle-dependent manner. Isoform 3 is not phosphorylated. [UniProt] |
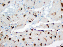
检测图片 (3) Click the Picture to Zoom In
-
ARG58578 anti-DUT / Dutpase antibody IHC-P image
Immunohistochemistry: Paraffin-embedded Human Intestinal Cancer Tissue stained with ARG58578 anti-DUT / Dutpase antibody.
-
ARG58578 anti-DUT / Dutpase antibody IHC-P image
Immunohistochemistry: Paraffin-embedded Rat heart tissue. Antigen Retrieval: Heat mediation was performed in Citrate buffer (pH 6.0) for 20 min. The tissue section was blocked with 10% goat serum. The tissue section was then stained with ARG58578 anti-DUT / Dutpase antibody at 1 µg/ml dilution, overnight at 4°C.
-
ARG58578 anti-DUT / Dutpase antibody WB image
Western blot: 40 µg of HeLa whole cell lysate and SMMC whole cell lysate stained with ARG58578 anti-DUT / Dutpase antibody at 0.5 µg/ml dilution.
