ARG40115
anti-DPPA4 antibody
anti-DPPA4 antibody for IHC-Formalin-fixed paraffin-embedded sections,Western blot and Human
概述
| 产品描述 | Rabbit Polyclonal antibody recognizes DPPA4 |
|---|---|
| 反应物种 | Hu |
| 应用 | IHC-P, WB |
| 宿主 | Rabbit |
| 克隆 | Polyclonal |
| 同位型 | IgG |
| 靶点名称 | DPPA4 |
| 抗原物种 | Human |
| 抗原 | KLH-conjugated synthetic peptide corresponding to aa. 50-79 of Human DPPA4. |
| 偶联标记 | Un-conjugated |
| 別名 | 2410091M23Rik; Developmental pluripotency-associated protein 4 |
应用说明
| 应用建议 |
|
||||||
|---|---|---|---|---|---|---|---|
| 应用说明 | IHC-P: Antigen Retrieval: Heat mediation was performed in Citrate buffer (pH 6.0). * The dilutions indicate recommended starting dilutions and the optimal dilutions or concentrations should be determined by the scientist. |
||||||
| 阳性对照 | CEM |
属性
| 形式 | Liquid |
|---|---|
| 纯化 | Purification with Protein A and immunogen peptide. |
| 缓冲液 | PBS and 0.09% (W/V) Sodium azide. |
| 抗菌剂 | 0.09% (W/V) Sodium azide. |
| 存放说明 | For continuous use, store undiluted antibody at 2-8°C for up to a week. For long-term storage, aliquot and store at -20°C or below. Storage in frost free freezers is not recommended. Avoid repeated freeze/thaw cycles. Suggest spin the vial prior to opening. The antibody solution should be gently mixed before use. |
| 注意事项 | For laboratory research only, not for drug, diagnostic or other use. |
生物信息
| 数据库连接 |
Swiss-port # Q7L190 Human Developmental pluripotency-associated protein 4 |
|---|---|
| 基因名称 | DPPA4 |
| 全名 | developmental pluripotency associated 4 |
| 生物功能 | May be involved in the maintenance of active epigenetic status of target genes. May inhibit differentiation of embryonic cells into a primitive ectoderm lineage. [UniProt] |
| 细胞定位 | Nucleus. Note=Associated with transcriptionally active chromatin. [UniProt] |
| 预测分子量 | 34 kDa |
检测图片 (2) Click the Picture to Zoom In
-
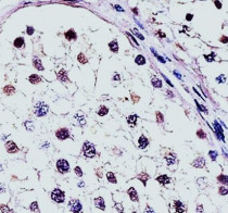
ARG40115 anti-DPPA4 antibody IHC-P image
Immunohistochemistry: Paraformaldehyde-fixed and paraffin-embedded Human testis was blocked with 3% BSA for 0.5 hour at RT. Antigen Retrieval: Heat mediation was performed in Citrate buffer (pH 6.0). Samples were stained with ARG40115 anti-DPPA4 antibody at 1:25 for 1 hour at 37°C.
-
ARG40115 anti-DPPA4 antibody WB image
Western blot: 35 µg of CEM cell lysate stained with ARG40115 anti-DPPA4 antibody.
