ARG63760
anti-DPP10 antibody
anti-DPP10 antibody for IHC-Formalin-fixed paraffin-embedded sections,Western blot and Human
Cell Biology and Cellular Response antibody
概述
| 产品描述 | Goat Polyclonal antibody recognizes DPP10 |
|---|---|
| 反应物种 | Hu |
| 预测物种 | Cow, Dog |
| 应用 | IHC-P, WB |
| 特异性 | This antibody is expected to recognise both reported isoforms (NP_065919.2 and NP_001004360.2). |
| 宿主 | Goat |
| 克隆 | Polyclonal |
| 同位型 | IgG |
| 靶点名称 | DPP10 |
| 抗原物种 | Human |
| 抗原 | C-DEGHNVSEKSKYHL |
| 偶联标记 | Un-conjugated |
| 別名 | Inactive dipeptidyl peptidase 10; Dipeptidyl peptidase-like protein 2; DPRP3; DPPY; DPRP-3; Dipeptidyl peptidase IV-related protein 3; DPP X; DPL2; Dipeptidyl peptidase X |
应用说明
| 应用建议 |
|
||||||
|---|---|---|---|---|---|---|---|
| 应用说明 | WB: Recommend incubate at RT for 1h. IHC-P: Antigen Retrieval: Steam tissue section in Citrate buffer (pH 6.0). * The dilutions indicate recommended starting dilutions and the optimal dilutions or concentrations should be determined by the scientist. |
属性
| 形式 | Liquid |
|---|---|
| 纯化 | Purified from goat serum by antigen affinity chromatography. |
| 缓冲液 | Tris saline (pH 7.3), 0.02% Sodium azide and 0.5% BSA. |
| 抗菌剂 | 0.02% Sodium azide |
| 稳定剂 | 0.5% BSA |
| 浓度 | 0.5 mg/ml |
| 存放说明 | For continuous use, store undiluted antibody at 2-8°C for up to a week. For long-term storage, aliquot and store at -20°C or below. Storage in frost free freezers is not recommended. Avoid repeated freeze/thaw cycles. Suggest spin the vial prior to opening. The antibody solution should be gently mixed before use. |
| 注意事项 | For laboratory research only, not for drug, diagnostic or other use. |
生物信息
| 数据库连接 | |
|---|---|
| 背景介绍 | This gene encodes a single-pass type II membrane protein that is a member of the S9B family in clan SC of the serine proteases. This protein has no detectable protease activity, most likely due to the absence of the conserved serine residue normally present in the catalytic domain of serine proteases. However, it does bind specific voltage-gated potassium channels and alters their expression and biophysical properties. Mutations in this gene have been associated with asthma. Alternate transcriptional splice variants, encoding different isoforms, have been characterized. [provided by RefSeq, Jul 2008] |
| 研究领域 | Cell Biology and Cellular Response antibody |
| 预测分子量 | 91 kDa |
| 翻译后修饰 | N-glycosylation is important for cell surface expression, specially at Asn-257, which is crucial. |
检测图片 (3) Click the Picture to Zoom In
-
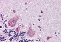
ARG63760 anti-DPP10 antibody IHC-P image
Immunohistochemistry: Paraffin-embedded Human cortex tissue. Antigen Retrieval: Steam tissue section in Citrate buffer (pH 6.0). The tissue section was stained with ARG63760 anti-DPP10 antibody at 3.75 µg/ml dilution followed by AP-staining.
-
ARG63760 anti-DPP10 antibody WB image
Western blot: 35 µg of Human bone marrow lysate (in RIPA buffer) stained with ARG63760 anti-DPP10 antibody at 0.1 µg/ml dilution and incubated at RT for 1 hour.
-
ARG63760 anti-DPP10 antibody IHC-P image
Immunohistochemistry: Paraffin-embedded Human cerebellum tissue. Antigen Retrieval: Steam tissue section in Citrate buffer (pH 6.0). The tissue section was stained with ARG63760 anti-DPP10 antibody at 3.75 µg/ml dilution followed by AP-staining.
