ARG63482
anti-DOK3 antibody
anti-DOK3 antibody for IHC-Formalin-fixed paraffin-embedded sections,Western blot and Human
Cancer antibody; Signaling Transduction antibody
概述
| 产品描述 | Goat Polyclonal antibody recognizes DOK3 |
|---|---|
| 反应物种 | Hu |
| 预测物种 | Ms, Rat, Cow |
| 应用 | IHC-P, WB |
| 宿主 | Goat |
| 克隆 | Polyclonal |
| 同位型 | IgG |
| 靶点名称 | DOK3 |
| 抗原物种 | Human |
| 抗原 | TRERRKGPAPCDRP |
| 偶联标记 | Un-conjugated |
| 別名 | Docking protein 3; Downstream of tyrosine kinase 3; DOKL |
应用说明
| 应用建议 |
|
||||||
|---|---|---|---|---|---|---|---|
| 应用说明 | WB: Recommend incubate at RT for 1h. IHC-P: Antigen Retrieval: Steam tissue section in Citrate buffer (pH 6.0). * The dilutions indicate recommended starting dilutions and the optimal dilutions or concentrations should be determined by the scientist. |
属性
| 形式 | Liquid |
|---|---|
| 纯化 | Purified from goat serum by antigen affinity chromatography. |
| 缓冲液 | Tris saline (pH 7.3), 0.02% Sodium azide and 0.5% BSA. |
| 抗菌剂 | 0.02% Sodium azide |
| 稳定剂 | 0.5% BSA |
| 浓度 | 0.5 mg/ml |
| 存放说明 | For continuous use, store undiluted antibody at 2-8°C for up to a week. For long-term storage, aliquot and store at -20°C or below. Storage in frost free freezers is not recommended. Avoid repeated freeze/thaw cycles. Suggest spin the vial prior to opening. The antibody solution should be gently mixed before use. |
| 注意事项 | For laboratory research only, not for drug, diagnostic or other use. |
生物信息
| 数据库连接 | |
|---|---|
| 基因名称 | DOK3 |
| 全名 | docking protein 3 |
| 生物功能 | DOK proteins are enzymatically inert adaptor or scaffolding proteins. They provide a docking platform for the assembly of multimolecular signaling complexes. DOK3 is a negative regulator of JNK signaling in B-cells through interaction with INPP5D/SHIP1. May modulate ABL1 function (By similarity). [UniProt] |
| 研究领域 | Cancer antibody; Signaling Transduction antibody |
| 预测分子量 | 53 kDa |
| 翻译后修饰 | Constitutively tyrosine-phosphorylated. On IL2 stimulation, phosphorylated on C-terminal tyrosine residues possibly by Src kinases. Can also be phosphorylated by ABL1 kinase (By similarity). |
检测图片 (3) Click the Picture to Zoom In
-
ARG63482 anti-DOK3 antibody IHC-P image
Immunohistochemistry: Paraffin-embedded Human placenta tissue. Antigen Retrieval: Steam tissue section in Citrate buffer (pH 6.0). The tissue section was stained with ARG63482 anti-DOK3 antibody at 6.125 µg/ml dilution followed by AP-staining.
-
ARG63482 anti-DOK3 antibody WB image
Western blot: 35 µg of Human bone marrow (A) and Peripheral blood lymphocyte (B) lysates (in RIPA buffer) stained with ARG63482 anti-DOK3 antibody at 2 µg/ml dilution and incubated at RT for 1 hour.
-
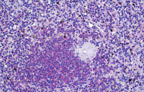
ARG63482 anti-DOK3 antibody IHC-P image
Immunohistochemistry: Paraffin-embedded Human spleen tissue. Antigen Retrieval: Steam tissue section in Citrate buffer (pH 6.0). The tissue section was stained with ARG63482 anti-DOK3 antibody at 6.125 µg/ml dilution followed by AP-staining.
