ARG51758
anti-DOK1 / p62 Dok phospho (Tyr398) antibody
anti-DOK1 / p62 Dok phospho (Tyr398) antibody for IHC-Formalin-fixed paraffin-embedded sections,Western blot and Human,Mouse,Rat
Cancer antibody; Cell Biology and Cellular Response antibody; Metabolism antibody; Signaling Transduction antibody
概述
| 产品描述 | Rabbit Polyclonal antibody recognizes DOK1 / p62 Dok phospho (Tyr398) |
|---|---|
| 反应物种 | Hu, Ms, Rat |
| 应用 | IHC-P, WB |
| 宿主 | Rabbit |
| 克隆 | Polyclonal |
| 同位型 | IgG |
| 靶点名称 | DOK1 / p62 Dok |
| 抗原物种 | Human |
| 抗原 | Peptide sequence around phosphorylation site of tyrosine 398 (E-G-Y(p)-E-L) derived from Human p62Dok. |
| 偶联标记 | Un-conjugated |
| 別名 | dok; p62; P62DOK; Docking protein 1; pp62; Downstream of tyrosine kinase 1 |
应用说明
| 应用建议 |
|
||||||
|---|---|---|---|---|---|---|---|
| 应用说明 | * The dilutions indicate recommended starting dilutions and the optimal dilutions or concentrations should be determined by the scientist. |
属性
| 形式 | Liquid |
|---|---|
| 纯化 | Antibodies were produced by immunizing rabbits with KLH-conjugated synthetic phosphopeptide. Antibodies were purified by affinity-chromatography using epitope-specific phosphopeptide. In addition, non-phospho specific antibodies were removed by chromatogramphy using non-phosphopeptide. |
| 缓冲液 | PBS (without Mg2+ and Ca2+, pH 7.4), 150mM NaCl, 0.02% Sodium azide and 50% Glycerol. |
| 抗菌剂 | 0.02% Sodium azide |
| 稳定剂 | 50% Glycerol |
| 浓度 | 1 mg/ml |
| 存放说明 | For continuous use, store undiluted antibody at 2-8°C for up to a week. For long-term storage, aliquot and store at -20°C. Storage in frost free freezers is not recommended. Avoid repeated freeze/thaw cycles. Suggest spin the vial prior to opening. The antibody solution should be gently mixed before use. |
| 注意事项 | For laboratory research only, not for drug, diagnostic or other use. |
生物信息
| 数据库连接 | |
|---|---|
| 基因名称 | DOK1 |
| 全名 | docking protein 1, 62kDa (downstream of tyrosine kinase 1) |
| 背景介绍 | DOK proteins are enzymatically inert adaptor or scaffolding proteins. They provide a docking platform for the assembly of multimolecular signaling complexes. DOK1 appears to be a negative regulator of the insulin signaling pathway. Modulates integrin activation by competing with talin for the same binding site on ITGB3. |
| 生物功能 | DOK proteins are enzymatically inert adaptor or scaffolding proteins. They provide a docking platform for the assembly of multimolecular signaling complexes. DOK1 appears to be a negative regulator of the insulin signaling pathway. Modulates integrin activation by competing with talin for the same binding site on ITGB3. [UniProt] |
| 研究领域 | Cancer antibody; Cell Biology and Cellular Response antibody; Metabolism antibody; Signaling Transduction antibody |
| 预测分子量 | 52 kDa |
| 翻译后修饰 | Constitutively tyrosine-phosphorylated. Phosphorylated by TEC (By similarity). Phosphorylated by LYN (By similarity). Phosphorylated on tyrosine residues by the insulin receptor kinase. Results in the negative regulation of the insulin signaling pathway. Phosphorylated on tyrosine residues by SRMS. |
检测图片 (2) Click the Picture to Zoom In
-
ARG51758 anti-DOK1 / p62 Dok phospho (Tyr398) antibody WB image
Western blot: Extracts from K562 cells untreated or treated with H2O2 stained with ARG51758 anti-DOK1 / p62 Dok phospho (Tyr398) antibody.
-
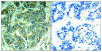
ARG51758 anti-DOK1 / p62 Dok phospho (Tyr398) antibody IHC-P image
Immunohistochemistry: Paraffin-embedded Human breast carcinoma tissue stained with ARG51758 anti-DOK1 / p62 Dok phospho (Tyr398) antibody (left) or the same antibody preincubated with blocking peptide (right).
