ARG41567
anti-DMD / Dystrophin antibody
anti-DMD / Dystrophin antibody for Flow cytometry,IHC-Formalin-fixed paraffin-embedded sections,Western blot and Human,Mouse,Rat
概述
| 产品描述 | Rabbit Polyclonal antibody recognizes DMD / Dystrophin |
|---|---|
| 反应物种 | Hu, Ms, Rat |
| 预测物种 | Bov, Chk, Dog, Mk, Rb |
| 应用 | FACS, IHC-P, WB |
| 宿主 | Rabbit |
| 克隆 | Polyclonal |
| 同位型 | IgG |
| 靶点名称 | DMD / Dystrophin |
| 抗原物种 | Human |
| 抗原 | Recombinant protein corresponding to H3076-D3404 (within cysteine-rich domain and part of C-terminal domain) of Human DMD / Dystrophin. |
| 偶联标记 | Un-conjugated |
| 別名 | BMD; CMD3B; DXS270; DXS272; MRX85; Dystrophin; DXS164; DXS239; DXS206; DXS142; DXS230; DXS269; DXS268 |
应用说明
| 应用建议 |
|
||||||||
|---|---|---|---|---|---|---|---|---|---|
| 应用说明 | IHC-P: Antigen Retrieval: Heat mediation was performed in Citrate buffer (pH 6.0, epitope retrieval solution) for 20 min. * The dilutions indicate recommended starting dilutions and the optimal dilutions or concentrations should be determined by the scientist. |
属性
| 形式 | Liquid |
|---|---|
| 纯化 | Affinity purification with immunogen. |
| 缓冲液 | 0.2% Na2HPO4, 0.9% NaCl, 0.05% Sodium azide and 5% BSA. |
| 抗菌剂 | 0.05% Sodium azide |
| 稳定剂 | 5% BSA |
| 浓度 | 0.5 mg/ml |
| 存放说明 | For continuous use, store undiluted antibody at 2-8°C for up to a week. For long-term storage, aliquot and store at -20°C or below. Storage in frost free freezers is not recommended. Avoid repeated freeze/thaw cycles. Suggest spin the vial prior to opening. The antibody solution should be gently mixed before use. |
| 注意事项 | For laboratory research only, not for drug, diagnostic or other use. |
生物信息
| 数据库连接 | |
|---|---|
| 基因名称 | DMD |
| 全名 | dystrophin |
| 背景介绍 | The dystrophin gene is the largest gene found in nature, measuring 2.4 Mb. The gene was identified through a positional cloning approach, targeted at the isolation of the gene responsible for Duchenne (DMD) and Becker (BMD) Muscular Dystrophies. DMD is a recessive, fatal, X-linked disorder occurring at a frequency of about 1 in 3,500 new-born males. BMD is a milder allelic form. In general, DMD patients carry mutations which cause premature translation termination (nonsense or frame shift mutations), while in BMD patients dystrophin is reduced either in molecular weight (derived from in-frame deletions) or in expression level. The dystrophin gene is highly complex, containing at least eight independent, tissue-specific promoters and two polyA-addition sites. Furthermore, dystrophin RNA is differentially spliced, producing a range of different transcripts, encoding a large set of protein isoforms. Dystrophin (as encoded by the Dp427 transcripts) is a large, rod-like cytoskeletal protein which is found at the inner surface of muscle fibers. Dystrophin is part of the dystrophin-glycoprotein complex (DGC), which bridges the inner cytoskeleton (F-actin) and the extra-cellular matrix. [provided by RefSeq, Jul 2008] |
| 生物功能 | Anchors the extracellular matrix to the cytoskeleton via F-actin. Ligand for dystroglycan. Component of the dystrophin-associated glycoprotein complex which accumulates at the neuromuscular junction (NMJ) and at a variety of synapses in the peripheral and central nervous systems and has a structural function in stabilizing the sarcolemma. Also implicated in signaling events and synaptic transmission. [UniProt] |
| 细胞定位 | Cell membrane, sarcolemma; Peripheral membrane protein; Cytoplasmic side. Cytoplasm, cytoskeleton. Cell junction, synapse, postsynaptic cell membrane. Note=In muscle cells, sarcolemma localization requires the presence of ANK2, while localization to costameres requires the presence of ANK3. Localizes to neuromuscular junctions (NMJs). In adult muscle, NMJ localization depends upon ANK2 presence, but not in newborn animals. [UniProt] |
| 预测分子量 | 427 kDa |
检测图片 (5) Click the Picture to Zoom In
-
ARG41567 anti-DMD / Dystrophin antibody IHC-P image
Immunohistochemistry: Paraffin-embedded Mouse brain tissue. Antigen Retrieval: Heat mediation was performed in Citrate buffer (pH 6.0, epitope retrieval solution) for 20 min. The tissue section was blocked with 10% goat serum. The tissue section was then stained with ARG41567 anti-DMD / Dystrophin antibody at 1 µg/ml dilution, overnight at 4°C.
-
ARG41567 anti-DMD / Dystrophin antibody WB image
Western blot: 50 µg of samples under reducing conditions. HEK293, K562 and HEPA1-6 whole cell lysates stained with ARG41567 anti-DMD / Dystrophin antibody at 0.5 µg/ml, overnight at 4°C.
-
ARG41567 anti-DMD / Dystrophin antibody FACS image
Flow Cytometry: HepG2 cells were blocked with 10% normal Goat serum and then stained with ARG41567 anti-DMD / Dystrophin antibody (blue) at 1 µg/10^6 cells for 30 min at 20°C, followed by incubation with DyLight®488 labelled secondary antibody. Isotype control antibody (green) was Rabbit IgG (1 µg/10^6 cells) used under the same conditions. Unlabelled sample (red) was also used as a control.
-
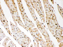
ARG41567 anti-DMD / Dystrophin antibody IHC-P image
Immunohistochemistry: Paraffin-embedded Rat cardiac muscle tissue. Antigen Retrieval: Heat mediation was performed in Citrate buffer (pH 6.0, epitope retrieval solution) for 20 min. The tissue section was blocked with 10% goat serum. The tissue section was then stained with ARG41567 anti-DMD / Dystrophin antibody at 1 µg/ml dilution, overnight at 4°C.
-
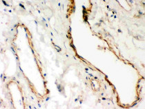
ARG41567 anti-DMD / Dystrophin antibody IHC-P image
Immunohistochemistry: Paraffin-embedded Human lung cancer tissue. Antigen Retrieval: Heat mediation was performed in Citrate buffer (pH 6.0, epitope retrieval solution) for 20 min. The tissue section was blocked with 10% goat serum. The tissue section was then stained with ARG41567 anti-DMD / Dystrophin antibody at 1 µg/ml dilution, overnight at 4°C.
