ARG45211
anti-DLX2 antibody
anti-DLX2 antibody for Flow cytometry,IHC-Formalin-fixed paraffin-embedded sections,Western blot and Human,Mouse,Rat
概述
| 产品描述 | Rabbit Polyclonal antibody recognizes DLX2 |
|---|---|
| 反应物种 | Hu, Ms, Rat |
| 应用 | FACS, IHC-P, WB |
| 宿主 | Rabbit |
| 克隆 | Polyclonal |
| 同位型 | IgG |
| 靶点名称 | DLX2 |
| 抗原物种 | Human |
| 抗原 | Recombinant protein containing to human DLX2. |
| 偶联标记 | Un-conjugated |
| 別名 | DLX2; Distal-Less Homeobox 2; TES-1; Distal-Less Homeo Box 2; Homeobox Protein DLX-2; TES1 |
应用说明
| 应用建议 |
|
||||||||
|---|---|---|---|---|---|---|---|---|---|
| 应用说明 | * The dilutions indicate recommended starting dilutions and the optimal dilutions or concentrations should be determined by the scientist. | ||||||||
| 实际分子量 | 37 kDa |
属性
| 形式 | Liquid |
|---|---|
| 纯化 | Affinity purification with immunogen. |
| 缓冲液 | 0.2% Na2HPO4, 0.9% NaCl and 4% Trehalose. |
| 稳定剂 | 4% Trehalose |
| 浓度 | 0.5 mg/ml |
| 存放说明 | For continuous use, store undiluted antibody at 2-8°C for up to a week. For long-term storage, aliquot and store at -20°C or below. Storage in frost free freezers is not recommended. Avoid repeated freeze/thaw cycles. Suggest spin the vial prior to opening. The antibody solution should be gently mixed before use. |
| 注意事项 | For laboratory research only, not for drug, diagnostic or other use. |
生物信息
| 数据库连接 | |
|---|---|
| 基因名称 | DLX2 |
| 全名 | Distal-Less Homeobox 2 |
| 背景介绍 | Many vertebrate homeo box-containing genes have been identified on the basis of their sequence similarity with Drosophila developmental genes. Members of the Dlx gene family contain a homeobox that is related to that of Distal-less (Dll), a gene expressed in the head and limbs of the developing fruit fly. The Distal-less (Dlx) family of genes comprises at least 6 different members, DLX1-DLX6. The DLX proteins are postulated to play a role in forebrain and craniofacial development. This gene is located in a tail-to-tail configuration with another member of the gene family on the long arm of chromosome 2. [provided by RefSeq, Jul 2008] |
| 生物功能 | Acts as a transcriptional activator. [UniProt] |
| 细胞定位 | Nucleus. [UniProt] |
| 预测分子量 | 37 kDa |
| 翻译后修饰 | Phosphoprotein. [UniProt] |
检测图片 (4) Click the Picture to Zoom In
-
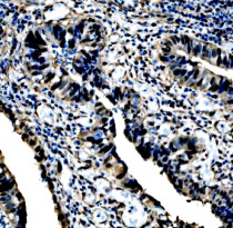
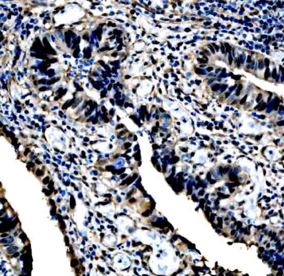
ARG45211 anti-DLX2 antibody IHC-P image
Immunohistochemistry: Human rectum stained with ARG45211 anti-DLX2 antibody at 2 μg/ml dilution.
-
ARG45211 anti-DLX2 antibody FACS image
Flow Cytometry: 293T stained with ARG45211 anti-DLX2 antibody at 1 µg/10^6 cells dilution.
-
ARG45211 anti-DLX2 antibody WB image
Western blot: Rat brain stained with ARG45211 anti-DLX2 antibody at 0.5 μg/ml dilution.
-
ARG45211 anti-DLX2 antibody WB image
Western blot: Mouse brain stained with ARG45211 anti-DLX2 antibody at 0.5 μg/ml dilution.
