ARG59892
anti-DISC1 antibody
anti-DISC1 antibody for IHC-Formalin-fixed paraffin-embedded sections,Western blot and Human,Rat
概述
| 产品描述 | Rabbit Polyclonal antibody recognizes DISC1 |
|---|---|
| 反应物种 | Hu, Rat |
| 预测物种 | Hm |
| 应用 | IHC-P, WB |
| 宿主 | Rabbit |
| 克隆 | Polyclonal |
| 同位型 | IgG |
| 靶点名称 | DISC1 |
| 抗原物种 | Human |
| 抗原 | Synthetic peptide corresponding to aa. 461-477 of Human DISC1. (EKQQLQKEIEALQARMF) |
| 偶联标记 | Un-conjugated |
| 別名 | Disrupted in schizophrenia 1 protein; SCZD9; C1orf136 |
应用说明
| 应用建议 |
|
||||||
|---|---|---|---|---|---|---|---|
| 应用说明 | IHC-P: Antigen Retrieval: Heat mediation was performed in Citrate buffer (pH 6.0) for 20 min. * The dilutions indicate recommended starting dilutions and the optimal dilutions or concentrations should be determined by the scientist. |
||||||
| 实际分子量 | ~ 95 kDa |
属性
| 形式 | Liquid |
|---|---|
| 纯化 | Affinity purification with immunogen. |
| 缓冲液 | 0.2% Na2HPO4, 0.9% NaCl, 0.05% Thimerosal, 0.05% Sodium azide and 5% BSA. |
| 抗菌剂 | 0.05% Thimerosal and 0.05% Sodium azide |
| 稳定剂 | 5% BSA |
| 浓度 | 0.5 mg/ml |
| 存放说明 | For continuous use, store undiluted antibody at 2-8°C for up to a week. For long-term storage, aliquot and store at -20°C or below. Storage in frost free freezers is not recommended. Avoid repeated freeze/thaw cycles. Suggest spin the vial prior to opening. The antibody solution should be gently mixed before use. |
| 注意事项 | For laboratory research only, not for drug, diagnostic or other use. |
生物信息
| 数据库连接 |
Swiss-port # Q810H6 Rat Disrupted in schizophrenia 1 homolog Swiss-port # Q9NRI5 Human Disrupted in schizophrenia 1 protein |
|---|---|
| 基因名称 | DISC1 |
| 全名 | disrupted in schizophrenia 1 |
| 背景介绍 | This gene encodes a protein with multiple coiled coil motifs which is located in the nucleus, cytoplasm and mitochondria. The protein is involved in neurite outgrowth and cortical development through its interaction with other proteins. This gene is disrupted in a t(1;11)(q42.1;q14.3) translocation which segregates with schizophrenia and related psychiatric disorders in a large Scottish family. Alternate transcriptional splice variants, encoding different isoforms, have been characterized. [provided by RefSeq, Jul 2008] |
| 生物功能 | Involved in the regulation of multiple aspects of embryonic and adult neurogenesis. Required for neural progenitor proliferation in the ventrical/subventrical zone during embryonic brain development and in the adult dentate gyrus of the hippocampus. Participates in the Wnt-mediated neural progenitor proliferation as a positive regulator by modulating GSK3B activity and CTNNB1 abundance. Plays a role as a modulator of the AKT-mTOR signaling pathway controlling the tempo of the process of newborn neurons integration during adult neurogenesis, including neuron positioning, dendritic development and synapse formation. Inhibits the activation of AKT-mTOR signaling upon interaction with CCDC88A. Regulates the migration of early-born granule cell precursors toward the dentate gyrus during the hippocampal development. Plays a role, together with PCNT, in the microtubule network formation. [UniProt] |
| 细胞定位 | Cytoplasm. Cytoplasm, cytoskeleton. Cytoplasm, cytoskeleton, microtubule organizing center, centrosome. Cell junction, synapse, postsynaptic cell membrane, postsynaptic density. Note=Colocalizes with NDEL1 in the perinuclear region and the centrosome (By similarity). Localizes to punctate cytoplasmic foci which overlap in part with mitochondria. Colocalizes with PCNT at the centrosome. [UniProt] |
| 预测分子量 | 94 kDa |
检测图片 (3) Click the Picture to Zoom In
-
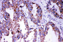
ARG59892 anti-DISC1 antibody IHC-P image
Immunohistochemistry: Paraffin-embedded Human lung cancer tissue. Antigen Retrieval: Heat mediation was performed in Citrate buffer (pH 6.0, epitope retrieval solution) for 20 min. The tissue section was blocked with 10% goat serum. The tissue section was then stained with ARG59892 anti-DISC1 antibody at 1 µg/ml, overnight at 4°C.
-
ARG59892 anti-DISC1 antibody WB image
Western blot: 40 µg of U87 whole cell lysate stained with ARG59892 anti-DISC1 antibody at 0.5 µg/ml dilution.
-
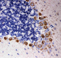
ARG59892 anti-DISC1 antibody IHC-P image
Immunohistochemistry: Paraffin-embedded Rat cerebellum tissue. Antigen Retrieval: Heat mediation was performed in Citrate buffer (pH 6.0, epitope retrieval solution) for 20 min. The tissue section was blocked with 10% goat serum. The tissue section was then stained with ARG59892 anti-DISC1 antibody at 1 µg/ml, overnight at 4°C.
