ARG43030
anti-DIS3L antibody
anti-DIS3L antibody for IHC-Formalin-fixed paraffin-embedded sections,Western blot and Human,Mouse,Rat
概述
| 产品描述 | Rabbit Polyclonal antibody recognizes DIS3L |
|---|---|
| 反应物种 | Hu, Ms, Rat |
| 应用 | IHC-P, WB |
| 宿主 | Rabbit |
| 克隆 | Polyclonal |
| 同位型 | IgG |
| 靶点名称 | DIS3L |
| 抗原物种 | Human |
| 抗原 | Recombinant fusion protein corresponding to aa. 1-300 of Human DIS3L (NP_588616.1). |
| 偶联标记 | Un-conjugated |
| 別名 | DIS3-like exonuclease 1; DIS3L1; EC 3.1.13.- |
应用说明
| 应用建议 |
|
||||||
|---|---|---|---|---|---|---|---|
| 应用说明 | * The dilutions indicate recommended starting dilutions and the optimal dilutions or concentrations should be determined by the scientist. | ||||||
| 阳性对照 | Mouse testis |
属性
| 形式 | Liquid |
|---|---|
| 纯化 | Affinity purified. |
| 缓冲液 | PBS (pH 7.3), 0.02% Sodium azide and 50% Glycerol. |
| 抗菌剂 | 0.02% Sodium azide |
| 稳定剂 | 50% Glycerol |
| 存放说明 | For continuous use, store undiluted antibody at 2-8°C for up to a week. For long-term storage, aliquot and store at -20°C. Storage in frost free freezers is not recommended. Avoid repeated freeze/thaw cycles. Suggest spin the vial prior to opening. The antibody solution should be gently mixed before use. |
| 注意事项 | For laboratory research only, not for drug, diagnostic or other use. |
生物信息
| 数据库连接 | |
|---|---|
| 基因名称 | DIS3L |
| 全名 | DIS3 like exosome 3'-5' exoribonuclease |
| 背景介绍 | The cytoplasmic RNA exosome complex degrades unstable mRNAs and is involved in the regular turnover of other mRNAs. The protein encoded by this gene contains 3'-5' exoribonuclease activity and is a catalytic component of this complex. [provided by RefSeq, May 2016] |
| 生物功能 | Putative cytoplasm-specific catalytic component of the RNA exosome complex which has 3'->5' exoribonuclease activity and participates in a multitude of cellular RNA processing and degradation events. In the cytoplasm, the RNA exosome complex is involved in general mRNA turnover and specifically degrades inherently unstable mRNAs containing AU-rich elements (AREs) within their 3' untranslated regions, and in RNA surveillance pathways, preventing translation of aberrant mRNAs. It seems to be involved in degradation of histone mRNA. [UniProt] |
| 细胞定位 | Cytoplasm. [UniProt] |
| 预测分子量 | 121 kDa |
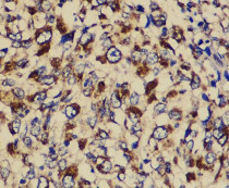
检测图片 (2) Click the Picture to Zoom In
-
ARG43030 anti-DIS3L antibody IHC-P image
Immunohistochemistry: Paraffin-embedded Human liver cancer tissue stained wih ARG43030 anti-DIS3L antibody at 1:100 dilution.
-
ARG43030 anti-DIS3L antibody WB image
Western blot: 25 µg of Mouse testis lysate stained with ARG43030 anti-DIS3L antibody at 1:1000 dilution.
