ARG58544
anti-DIAPH2 antibody
anti-DIAPH2 antibody for Flow cytometry,IHC-Formalin-fixed paraffin-embedded sections,Western blot and Human
概述
| 产品描述 | Rabbit Polyclonal antibody recognizes DIAPH2 |
|---|---|
| 反应物种 | Hu |
| 应用 | FACS, IHC-P, WB |
| 宿主 | Rabbit |
| 克隆 | Polyclonal |
| 同位型 | IgG |
| 靶点名称 | DIAPH2 |
| 抗原物种 | Human |
| 抗原 | KLH-conjugated synthetic peptide corresponding to aa. 870-899 (Center) of Human DIAPH2. |
| 偶联标记 | Un-conjugated |
| 別名 | Diaphanous-related formin-2; DRF2; Protein diaphanous homolog 2; POF2; DIA; POF; DIA2 |
应用说明
| 应用建议 |
|
||||||||
|---|---|---|---|---|---|---|---|---|---|
| 应用说明 | * The dilutions indicate recommended starting dilutions and the optimal dilutions or concentrations should be determined by the scientist. | ||||||||
| 阳性对照 | MDA-MB-435 |
属性
| 形式 | Liquid |
|---|---|
| 纯化 | Purification with Protein A and immunogen peptide. |
| 缓冲液 | PBS and 0.09% (W/V) Sodium azide. |
| 抗菌剂 | 0.09% (W/V) Sodium azide. |
| 存放说明 | For continuous use, store undiluted antibody at 2-8°C for up to a week. For long-term storage, aliquot and store at -20°C or below. Storage in frost free freezers is not recommended. Avoid repeated freeze/thaw cycles. Suggest spin the vial prior to opening. The antibody solution should be gently mixed before use. |
| 注意事项 | For laboratory research only, not for drug, diagnostic or other use. |
生物信息
| 数据库连接 | |
|---|---|
| 基因名称 | DIAPH2 |
| 全名 | diaphanous-related formin 2 |
| 背景介绍 | The product of this gene belongs to the diaphanous subfamily of the formin homology family of proteins. This gene may play a role in the development and normal function of the ovaries. Defects in this gene have been linked to premature ovarian failure 2. Alternatively spliced transcript variants encoding different isoforms have been identified. [provided by RefSeq, Jul 2008] |
| 生物功能 | Could be involved in oogenesis. Involved in the regulation of endosome dynamics. Implicated in a novel signal transduction pathway, in which isoform 3 and CSK are sequentially activated by RHOD to regulate the motility of early endosomes through interactions with the actin cytoskeleton. [UniProt] |
| 细胞定位 | Isoform 3: Cytoplasm, cytosol. Early endosome. Note=Isoform 3 is cytosolic but when coexpressed with RHOD, the 2 proteins colocalize to early endosomes. [UniProt] |
| 预测分子量 | 126 kDa |
检测图片 (3) Click the Picture to Zoom In
-
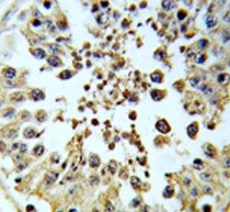
ARG58544 anti-DIAPH2 antibody IHC-P image
Immunohistochemistry: Formalin-fixed and paraffin-embedded Human testis tissue stained with ARG58544 anti-DIAPH2 antibody.
-
ARG58544 anti-DIAPH2 antibody WB image
Western blot: 35 µg of MDA-MB-435 cell lysate stained with ARG58544 anti-DIAPH2 antibody.
-
ARG58544 anti-DIAPH2 antibody FACS image
Flow Cytometry: CEM cells stained with ARG58544 anti-DIAPH2 antibody (right histogram) or without primary antibody as control (left histogram), followed by incubation with FITC labelled secondary antibody.
