ARG46123
anti-DHX36 antibody
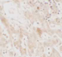
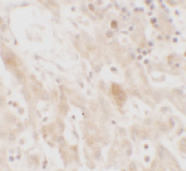
anti-DHX36 antibody for Western blot,IHC-Formalin-fixed paraffin-embedded sections and Human,Mouse
概述
| 产品描述 | Rabbit Polyclonal antibody recognizes DHX36 |
|---|---|
| 反应物种 | Hu, Ms |
| 应用 | IHC-P, WB |
| 宿主 | Rabbit |
| 克隆 | Polyclonal |
| 同位型 | IgG |
| 靶点名称 | DHX36 |
| 抗原物种 | Human |
| 抗原 | A 19 amino acid synthetic peptide within the last 50 amino acids of human DHX36. |
| 偶联标记 | Un-conjugated |
| 別名 | DHX36; RHAU; DEAH box protein 36; MLE-like protein 1; G4R1; DDX36; RNA helicase associated with AU-rich element ARE; MLEL1; ATP-dependent RNA helicase DHX36; EC 3.6.4.13; EC 3.6.4.12; G4-resolvase 1 |
应用说明
| 应用建议 |
|
||||||
|---|---|---|---|---|---|---|---|
| 应用说明 | * The dilutions indicate recommended starting dilutions and the optimal dilutions or concentrations should be determined by the scientist. |
属性
| 纯化 | Affinity chromatography purified |
|---|---|
| 缓冲液 | PBS and 0.02% Sodium azide. |
| 抗菌剂 | 0.02% Sodium azide |
| 浓度 | 1 mg/ml |
| 存放说明 | For continuous use, store undiluted antibody at 2-8°C for up to a week. For long-term storage, aliquot and store at -20°C. Storage in frost free freezers is not recommended. Avoid repeated freeze/thaw cycles. Suggest spin the vial prior to opening. The antibody solution should be gently mixed before use. |
| 注意事项 | For laboratory research only, not for drug, diagnostic or other use. |
生物信息
| 数据库连接 | |
|---|---|
| 基因名称 | DHX36 |
| 全名 | DEAH (Asp-Glu-Ala-His) box polypeptide 36 |
| 背景介绍 | This gene is a member of the DEAH-box family of RNA-dependent NTPases which are named after the conserved amino acid sequence Asp-Glu-Ala-His in motif II. The protein encoded by this gene has been shown to enhance the deadenylation and decay of mRNAs with 3'-UTR AU-rich elements (ARE-mRNA). The protein has also been shown to resolve into single strands the highly stable tetramolecular DNA configuration (G4) that can form spontaneously in guanine-rich regions of DNA. Alternative splicing results in multiple transcript variants encoding different isoforms. [provided by RefSeq, Jul 2008] |
| 生物功能 | Proposed to have a global role in regulating mRNA expression including transcriptional regulation and mRNA stability. Binds with high affinity to and resolves tetramolecular RNA and DNA quadruplex structures. Unwinds intramolecular quadruplexes derived from the ZIC1 and the MYC promoters. Binds to quadruplex structures in the promoters of YY1 and ALPL genes and regulates their expression. Binds to telomerase RNA template component (TERC) 5'-end (nucleotides 1-43) and unwinds an internal quadruplex formation in TERC 5'-end to promote P1 helix formation; the P1 helix acts as a template boundary ensuring accurate reverse transcription and is disrupted by quadruplex formation. May be involved in regulation of telomere length. Plays a role in degradation and deadenylation of mRNAs containing in their 3'-UTR the consensus ARE sequence element. May function in sex development and spermatogenesis. May play a role in ossification. [UniProt] |
| 细胞定位 | Nucleus, Cytoplasm, Chromosome, telomere. [UniProt] |
| 预测分子量 | 111 kDa |
检测图片 (2) Click the Picture to Zoom In
