ARG45745
anti-DHPS antibody
anti-DHPS antibody for Flow cytometry,ICC/IF,IHC-Formalin-fixed paraffin-embedded sections,Western blot and Human,Mouse,Rat
概述
| 产品描述 | Rabbit Polyclonal antibody recognizes DHPS |
|---|---|
| 反应物种 | Hu, Ms, Rat |
| 应用 | FACS, ICC/IF, IHC-P, WB |
| 宿主 | Rabbit |
| 克隆 | Polyclonal |
| 同位型 | IgG |
| 靶点名称 | DHPS |
| 抗原物种 | Human |
| 抗原 | Recombinant protein containing to human DHPS. |
| 偶联标记 | Un-conjugated |
| 別名 | DHPS; MIG13; EC 2.5.1.46; DHS; DS; Deoxyhypusine synthase |
应用说明
| 应用建议 |
|
||||||||||
|---|---|---|---|---|---|---|---|---|---|---|---|
| 应用说明 | * The dilutions indicate recommended starting dilutions and the optimal dilutions or concentrations should be determined by the scientist. | ||||||||||
| 实际分子量 | 41 kDa |
属性
| 形式 | Liquid |
|---|---|
| 纯化 | Affinity purified |
| 缓冲液 | 0.2% Na2HPO4, 0.9% NaCl and 4% Trehalose. |
| 稳定剂 | 4% Trehalose |
| 浓度 | 0.5 mg/ml |
| 存放说明 | For continuous use, store undiluted antibody at 2-8°C for up to a week. For long-term storage, aliquot and store at -20°C or below. Storage in frost free freezers is not recommended. Avoid repeated freeze/thaw cycles. Suggest spin the vial prior to opening. The antibody solution should be gently mixed before use. |
| 注意事项 | For laboratory research only, not for drug, diagnostic or other use. |
生物信息
| 数据库连接 | |
|---|---|
| 基因名称 | DHPS |
| 全名 | deoxyhypusine synthase |
| 背景介绍 | This gene encodes a protein that is required for the formation of hypusine, a unique amino acid formed by the posttranslational modification of only one protein, eukaryotic translation initiation factor 5A. The encoded protein catalyzes the first step in hypusine formation by transferring the butylamine moiety of spermidine to a specific lysine residue of the eukaryotic translation initiation factor 5A precursor, forming an intermediate deoxyhypusine residue. Alternatively spliced transcript variants encoding multiple isoforms have been observed for this gene. [provided by RefSeq, May 2011] |
| 生物功能 | Catalyzes the NAD-dependent oxidative cleavage of spermidine and the subsequent transfer of the butylamine moiety of spermidine to the epsilon-amino group of a specific lysine residue of the eIF-5A precursor protein to form the intermediate deoxyhypusine residue. [UniProt] |
| 细胞定位 | Cytoplasm; Cytosol. [UniProt] |
| 预测分子量 | 41 kDa |
| 翻译后修饰 | Phosphoprotein. [UniProt] |
检测图片 (5) Click the Picture to Zoom In
-
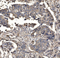
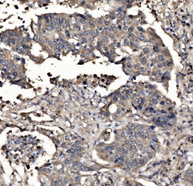
ARG45745 anti-DHPS antibody IHC-P image
Immunohistochemistry: Human lung cancer stained with ARG45745 anti-DHPS antibody at 2 μg/ml dilution.
-
ARG45745 anti-DHPS antibody ICC/IF image
Immunofluorescence: MCF-7 stained with ARG45745 anti-DHPS antibody at 5 μg/ml dilution.
-
ARG45745 anti-DHPS antibody WB image
Western blot: Hela and MCF-7 stained with ARG45745 anti-DHPS antibody at 0.5 μg/ml dilution.
-
ARG45745 anti-DHPS antibody FACS image
Flow Cytometry: K562 stained with ARG45745 anti-DHPS antibody at 1 µg/10^6 cells dilution.
-
ARG45745 anti-DHPS antibody WB image
Western blot: Rat testis stained with ARG45745 anti-DHPS antibody at 0.5 μg/ml dilution.
