ARG58022
anti-DHFR antibody
anti-DHFR antibody for IHC-Formalin-fixed paraffin-embedded sections,Western blot and Human,Mouse,Rat
概述
| 产品描述 | Rabbit Polyclonal antibody recognizes DHFR |
|---|---|
| 反应物种 | Hu, Ms, Rat |
| 应用 | IHC-P, WB |
| 宿主 | Rabbit |
| 克隆 | Polyclonal |
| 同位型 | IgG |
| 靶点名称 | DHFR |
| 抗原物种 | Human |
| 抗原 | Recombinant protein corresponding to aa. 2-187 of Human DHFR. |
| 偶联标记 | Un-conjugated |
| 別名 | EC 1.5.1.3; DHFRP1; DYR; Dihydrofolate reductase |
应用说明
| 应用建议 |
|
||||||
|---|---|---|---|---|---|---|---|
| 应用说明 | * The dilutions indicate recommended starting dilutions and the optimal dilutions or concentrations should be determined by the scientist. |
属性
| 形式 | Liquid |
|---|---|
| 纯化 | Affinity purification with immunogen. |
| 缓冲液 | PBS, 0.025% Sodium azide and 2.5% BSA. |
| 抗菌剂 | 0.025% Sodium azide |
| 稳定剂 | 2.5% BSA |
| 浓度 | 0.5 mg/ml |
| 存放说明 | For continuous use, store undiluted antibody at 2-8°C for up to a week. For long-term storage, aliquot and store at -20°C or below. Storage in frost free freezers is not recommended. Avoid repeated freeze/thaw cycles. Suggest spin the vial prior to opening. The antibody solution should be gently mixed before use. |
| 注意事项 | For laboratory research only, not for drug, diagnostic or other use. |
生物信息
| 数据库连接 | |
|---|---|
| 基因名称 | DHFR |
| 全名 | dihydrofolate reductase |
| 背景介绍 | Dihydrofolate reductase converts dihydrofolate into tetrahydrofolate, a methyl group shuttle required for the de novo synthesis of purines, thymidylic acid, and certain amino acids. While the functional dihydrofolate reductase gene has been mapped to chromosome 5, multiple intronless processed pseudogenes or dihydrofolate reductase-like genes have been identified on separate chromosomes. Dihydrofolate reductase deficiency has been linked to megaloblastic anemia. Several transcript variants encoding different isoforms have been found for this gene. [provided by RefSeq, Mar 2014] |
| 生物功能 | Key enzyme in folate metabolism. Contributes to the de novo mitochondrial thymidylate biosynthesis pathway. Catalyzes an essential reaction for de novo glycine and purine synthesis, and for DNA precursor synthesis. Binds its own mRNA and that of DHFRL1. [UniProt] |
| 预测分子量 | 21 kDa |
检测图片 (5) Click the Picture to Zoom In
-
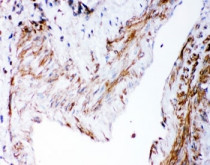
ARG58022 anti-DHFR antibody IHC-P image
Immunohistochemistry: Paraffin-embedded Human lung cancer tissue stained with ARG58022 anti-DHFR antibody.
-
ARG58022 anti-DHFR antibody WB image
Western blot: 1) Rat liver, 2) Mouse liver, 3) HepG2 and 4) Jurkat cell lysates stained with ARG58022 anti-DHFR antibody.
-
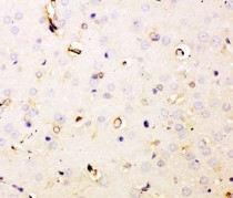
ARG58022 anti-DHFR antibody IHC-P image
Immunohistochemistry: Paraffin-embedded Mouse brain tissue stained with ARG58022 anti-DHFR antibody.
-
ARG58022 anti-DHFR antibody IHC-P image
Immunohistochemistry: Paraffin-embedded Rat brain tissue stained with ARG58022 anti-DHFR antibody.
-
ARG58022 anti-DHFR antibody WB image
Western blot: 0.5 ng of recombinant Human protein stained with ARG58022 anti-DHFR antibody.
