ARG44809
anti-DGK Zeta (Minor isoform) antibody
anti-DGK Zeta (Minor isoform) antibody for IHC-Formalin-fixed paraffin-embedded sections,Immunoprecipitation,Western blot and Human,Mouse
概述
| 产品描述 | Mouse Monoclonal antibody recognizes DGK Zeta (Minor isoform) |
|---|---|
| 反应物种 | Hu, Ms |
| 应用 | IHC-P, IP, WB |
| 特异性 | This antibody is specific to DGK Zeta Minor isoform (Q13574-1, Long, zeta2). |
| 宿主 | Mouse |
| 克隆 | Monoclonal |
| 同位型 | IgG2b |
| 靶点名称 | DGK Zeta (Minor isoform) |
| 抗原物种 | Human |
| 抗原表位 | STGSKDVVRY LLDHAPPEIL DAVEENGETC LHQAAALGQR TICHYIVEAG ASLMKTDQQG DTPRQRAEKA QDTELAAYLE NRQHYQMIQR |
| 偶联标记 | Un-conjugated |
| 別名 | DGKZ; Diacylglycerol Kinase Zeta; DAGK6; HDGKzeta; DGK-ZETA; DAGK5; Diacylglycerol Kinase, Zeta 104kDa; Diglyceride Kinase Zeta; DAG Kinase Zeta; EC 2.7.1.107; EC 2.7.1.93; DGK-Zeta |
应用说明
| 应用建议 |
|
||||||||
|---|---|---|---|---|---|---|---|---|---|
| 应用说明 | * The dilutions indicate recommended starting dilutions and the optimal dilutions or concentrations should be determined by the scientist. |
属性
| 形式 | Liquid |
|---|---|
| 纯化 | Protein A purification |
| 缓冲液 | PBS with 0.09% sodium azide |
| 抗菌剂 | 0.09% sodium azide |
| 存放说明 | For continuous use, store undiluted antibody at 2-8°C for up to a week. For long-term storage, aliquot and store at -20°C or below. Storage in frost free freezers is not recommended. Avoid repeated freeze/thaw cycles. Suggest spin the vial prior to opening. The antibody solution should be gently mixed before use. |
| 注意事项 | For laboratory research only, not for drug, diagnostic or other use. |
生物信息
| 数据库连接 | |
|---|---|
| 基因名称 | DGKZ |
| 全名 | Diacylglycerol Kinase Zeta |
| 背景介绍 | The protein encoded by this gene belongs to the eukaryotic diacylglycerol kinase family. It may attenuate protein kinase C activity by regulating diacylglycerol levels in intracellular signaling cascade and signal transduction. Alternative splicing occurs at this locus and multiple transcript variants encoding distinct isoforms have been identified. [provided by RefSeq, Nov 2010] |
| 生物功能 | Through the same mechanism could also positively regulate insulin-induced translocation of SLC2A4 to the cell membrane. [Uniprot] |
| 细胞定位 | Cell membrane, Cell projection, Cytoplasm, Membrane, Nucleus. [Uniprot] |
| 翻译后修饰 | Phosphoprotein. [Uniprot] |
检测图片 (3) Click the Picture to Zoom In
-
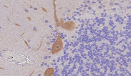
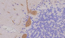
ARG44809 anti-DGK Zeta (Minor isoform) antibody IHC-P image
Immunohistochemistry: Human cerebellum stained with ARG44809 anti-DGK Zeta (Minor isoform) antibody at 5 µg/mL dilution.
-
ARG44809 anti-DGK Zeta (Minor isoform) antibody WB image
Western blot: Mouse brain stained with ARG44809 anti-DGK Zeta (Minor isoform) antibody at 1 µg/mL dilution.
-
ARG44809 anti-DGK Zeta (Minor isoform) antibody IP image
Immunoprecipitation: Mouse brain lysate immunoprecipitated with 2.5 µg of ARG44809 anti-DGK Zeta (Minor isoform) antibody.
