ARG55312
anti-DDX5 / p68 RNA helicase antibody
anti-DDX5 / p68 RNA helicase antibody for IHC-Formalin-fixed paraffin-embedded sections,Western blot and Human,Mouse,Rat
Gene Regulation antibody
概述
| 产品描述 | Rabbit Polyclonal antibody recognizes DDX5 / p68 RNA helicase |
|---|---|
| 反应物种 | Hu, Ms, Rat |
| 应用 | IHC-P, WB |
| 宿主 | Rabbit |
| 克隆 | Polyclonal |
| 同位型 | IgG |
| 靶点名称 | DDX5 / p68 RNA helicase |
| 抗原物种 | Human |
| 抗原 | Recombinant protein of Human DDX5 (NP_004387.1) |
| 偶联标记 | Un-conjugated |
| 別名 | Probable ATP-dependent RNA helicase DDX5; DEAD box protein 5; p68; HUMP68; EC 3.6.4.13; G17P1; RNA helicase p68; HLR1 |
应用说明
| 应用建议 |
|
||||||
|---|---|---|---|---|---|---|---|
| 应用说明 | * The dilutions indicate recommended starting dilutions and the optimal dilutions or concentrations should be determined by the scientist. | ||||||
| 阳性对照 | HepG2 |
属性
| 形式 | Liquid |
|---|---|
| 纯化 | Affinity purification with immunogen. |
| 缓冲液 | PBS (pH 7.3), 0.02% Sodium azide and 50% Glycerol |
| 抗菌剂 | 0.02% Sodium azide |
| 稳定剂 | 50% Glycerol |
| 存放说明 | For continuous use, store undiluted antibody at 2-8°C for up to a week. For long-term storage, aliquot and store at -20°C. Storage in frost free freezers is not recommended. Avoid repeated freeze/thaw cycles. Suggest spin the vial prior to opening. The antibody solution should be gently mixed before use. |
| 注意事项 | For laboratory research only, not for drug, diagnostic or other use. |
生物信息
| 数据库连接 |
Swiss-port # P17844 Human Probable ATP-dependent RNA helicase DDX5 |
|---|---|
| 基因名称 | DDX5 |
| 全名 | DEAD (Asp-Glu-Ala-Asp) box helicase 5 |
| 背景介绍 | DEAD box proteins, characterized by the conserved motif Asp-Glu-Ala-Asp (DEAD), are putative RNA helicases. They are implicated in a number of cellular processes involving alteration of RNA secondary structure, such as translation initiation, nuclear and mitochondrial splicing, and ribosome and spliceosome assembly. Based on their distribution patterns, some members of this family are believed to be involved in embryogenesis, spermatogenesis, and cellular growth and division. This gene encodes a DEAD box protein, which is a RNA-dependent ATPase, and also a proliferation-associated nuclear antigen, specifically reacting with the simian virus 40 tumor antigen. This gene consists of 13 exons, and alternatively spliced transcripts containing several intron sequences have been detected, but no isoforms encoded by these transcripts have been identified. [provided by RefSeq, Jul 2008] |
| 生物功能 | Involved in the alternative regulation of pre-mRNA splicing; its RNA helicase activity is necessary for increasing tau exon 10 inclusion and occurs in a RBM4-dependent manner. Binds to the tau pre-mRNA in the stem-loop region downstream of exon 10. The rate of ATP hydrolysis is highly stimulated by single-stranded RNA. Involved in transcriptional regulation; the function is independent of the RNA helicase activity. Transcriptional coactivator for estrogen receptor ESR1 and androgen receptor AR. Increases ESR1 AF-1 domain-mediated transactivation and ESR1 AF-1 and AF-2 domains transcriptional synergistic activity. Synergizes with DDX17 and SRA1 RNA to activate MYOD1 transcriptional activity and involved in skeletal muscle differentiation. Transcriptional coactivator for p53/TP53 and involved in p53/TP53 transcriptional response to DNA damage and p53/TP53-dependent apoptosis. Transcriptional coactivator for RUNX2 and involved in regulation of osteoblast differentiation. Acts as transcriptional repressor in a promoter-specicic manner; the function probbaly involves association with histone deacetylases, such as HDAC1. As component of a large PER complex is involved in the inhibition of 3' transcriptional termination of circadian target genes such as PER1 and NR1D1 and the control of the circadian rhythms. [UniProt] |
| 研究领域 | Gene Regulation antibody |
| 预测分子量 | 69 kDa |
| 翻译后修饰 | Arg-502 is dimethylated, probably to asymmetric dimethylarginine. Sumoylated; sumoylation, promoted by PIAS1, promotes interaction with HDAC1 and transcriptional repression activity. Sumoylation also significantly increases stability, and reduces polyubiquitination. Polyubiquitinated, leading to proteasomal degradation. |
检测图片 (2) Click the Picture to Zoom In
-
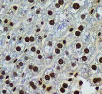
ARG55312 anti-DDX5 / p68 RNA helicase antibody IHC-P image
Immunohistochemistry: Paraffin-embedded Mouse liver tissue stained with ARG55312 anti-DDX5 / p68 RNA helicase antibody at 1:100 dilution.
-
ARG55312 anti-DDX5 / p68 RNA helicase antibody WB image
Western blot: 25 µg of HepG2 cell lysate stained with ARG55312 anti-DDX5 / p68 RNA helicase antibody at 1:2000 dilution.
