ARG42911
anti-DAZAP1 antibody
anti-DAZAP1 antibody for IHC-Formalin-fixed paraffin-embedded sections,Western blot and Human,Mouse,Rat
概述
| 产品描述 | Rabbit Polyclonal antibody recognizes DAZAP1 |
|---|---|
| 反应物种 | Hu, Ms, Rat |
| 应用 | IHC-P, WB |
| 宿主 | Rabbit |
| 克隆 | Polyclonal |
| 同位型 | IgG |
| 靶点名称 | DAZAP1 |
| 抗原物种 | Human |
| 抗原 | Recombinant protein corresponding to M1-E189 of Human DAZAP1. |
| 偶联标记 | Un-conjugated |
| 別名 | DAZ-associated protein 1; Deleted in azoospermia-associated protein 1 |
应用说明
| 应用建议 |
|
||||||
|---|---|---|---|---|---|---|---|
| 应用说明 | IHC-P: Antigen Retrieval: Heat mediation was performed in Citrate buffer (pH 6.0) for 20 min. * The dilutions indicate recommended starting dilutions and the optimal dilutions or concentrations should be determined by the scientist. |
||||||
| 实际分子量 | ~ 45 kDa |
属性
| 形式 | Liquid |
|---|---|
| 纯化 | Affinity purification with immunogen. |
| 缓冲液 | 0.2% Na2HPO4, 0.9% NaCl, 0.05% Sodium azide and 4% Trehalose. |
| 抗菌剂 | 0.05% Sodium azide |
| 稳定剂 | 4% Trehalose |
| 浓度 | 0.5 mg/ml |
| 存放说明 | For continuous use, store undiluted antibody at 2-8°C for up to a week. For long-term storage, aliquot and store at -20°C or below. Storage in frost free freezers is not recommended. Avoid repeated freeze/thaw cycles. Suggest spin the vial prior to opening. The antibody solution should be gently mixed before use. |
| 注意事项 | For laboratory research only, not for drug, diagnostic or other use. |
生物信息
| 数据库连接 | |
|---|---|
| 基因名称 | DAZAP1 |
| 全名 | DAZ associated protein 1 |
| 背景介绍 | In mammals, the Y chromosome directs the development of the testes and plays an important role in spermatogenesis. A high percentage of infertile men have deletions that map to regions of the Y chromosome. The DAZ (deleted in azoospermia) gene cluster maps to the AZFc region of the Y chromosome and is deleted in many azoospermic and severely oligospermic men. It is thought that the DAZ gene cluster arose from the transposition, amplification, and pruning of the ancestral autosomal gene DAZL also involved in germ cell development and gametogenesis. This gene encodes a RNA-binding protein with two RNP motifs that was originally identified by its interaction with the infertility factors DAZ and DAZL. Two isoforms are encoded by transcript variants of this gene. [provided by RefSeq, Jul 2008] |
| 生物功能 | RNA-binding protein, which may be required during spermatogenesis. [UniProt] |
| 细胞定位 | Cytoplasm. Nucleus. Note=Predominantly cytoplasmic (By similarity). Nuclear at some stages of spermatozoides development. In midpachytene spermatocytes, it is localized in both the cytoplasm and the nuclei and is clearly excluded from the sex vesicles. In round spermatids, it localizes mainly in the nuclei, whereas in elongated spermatids, it localizes to the cytoplasm (By similarity). [UniProt] |
| 预测分子量 | 43 kDa |
| 翻译后修饰 | Acetylation at Lys-150 is predominantly observed in the nuclear fraction, and may regulate nucleocytoplasmic transport. [UniProt] |
检测图片 (4) Click the Picture to Zoom In
-
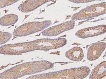
ARG42911 anti-DAZAP1 antibody IHC-P image
Immunohistochemistry: Paraffin-embedded Rat testis tissue. Antigen Retrieval: Heat mediation was performed in Citrate buffer (pH 6.0) for 20 min. The tissue section was blocked with 10% goat serum. The tissue section was then stained with ARG42911 anti-DAZAP1 antibody at 1 µg/ml dilution, overnight at 4°C.
-
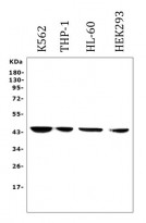
ARG42911 anti-DAZAP1 antibody WB image
Western blot: 50 µg of sample under reducing conditions. K562, THP-1, HL-60 and HEK293 whole cell lysates stained with ARG42911 anti-DAZAP1 antibody at 0.5 µg/ml dilution, overnight at 4°C.
-
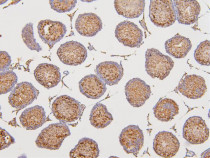
ARG42911 anti-DAZAP1 antibody IHC-P image
Immunohistochemistry: Paraffin-embedded Mouse testis tissue. Antigen Retrieval: Heat mediation was performed in Citrate buffer (pH 6.0) for 20 min. The tissue section was blocked with 10% goat serum. The tissue section was then stained with ARG42911 anti-DAZAP1 antibody at 1 µg/ml dilution, overnight at 4°C.
-
ARG42911 anti-DAZAP1 antibody WB image
Western blot: 50 µg of sample under reducing conditions. Mouse thymus, Mouse lung and SP2/0 whole cell lysates stained with ARG42911 anti-DAZAP1 antibody at 0.5 µg/ml dilution, overnight at 4°C.
