ARG40997
anti-DARS2 antibody
anti-DARS2 antibody for Flow cytometry,ICC/IF,IHC-Formalin-fixed paraffin-embedded sections,Western blot and Human
概述
| 产品描述 | Rabbit Polyclonal antibody recognizes DARS2 |
|---|---|
| 反应物种 | Hu |
| 应用 | FACS, ICC/IF, IHC-P, WB |
| 宿主 | Rabbit |
| 克隆 | Polyclonal |
| 同位型 | IgG |
| 靶点名称 | DARS2 |
| 抗原物种 | Human |
| 抗原 | Recombinant protein corresponding to D334-A448 of Human DARS2. |
| 偶联标记 | Un-conjugated |
| 別名 | ASPRS; Aspartate--tRNA ligase, mitochondrial; MT-ASPRS; LBSL; AspRS; Aspartyl-tRNA synthetase; EC 6.1.1.12 |
应用说明
| 应用建议 |
|
||||||||||
|---|---|---|---|---|---|---|---|---|---|---|---|
| 应用说明 | IHC-P: Antigen Retrieval: Heat mediation was performed in Citrate buffer (pH 6.0) for 20 min. * The dilutions indicate recommended starting dilutions and the optimal dilutions or concentrations should be determined by the scientist. |
||||||||||
| 实际分子量 | 74 kDa |
属性
| 形式 | Liquid |
|---|---|
| 纯化 | Affinity purification with immunogen. |
| 缓冲液 | 0.2% Na2HPO4, 0.9% NaCl, 0.05% Sodium azide and 4% Trehalose. |
| 抗菌剂 | 0.05% Sodium azide |
| 稳定剂 | 4% Trehalose |
| 浓度 | 0.5 mg/ml |
| 存放说明 | For continuous use, store undiluted antibody at 2-8°C for up to a week. For long-term storage, aliquot and store at -20°C or below. Storage in frost free freezers is not recommended. Avoid repeated freeze/thaw cycles. Suggest spin the vial prior to opening. The antibody solution should be gently mixed before use. |
| 注意事项 | For laboratory research only, not for drug, diagnostic or other use. |
生物信息
| 数据库连接 |
Swiss-port # Q6PI48 Human Aspartate--tRNA ligase, mitochondrial |
|---|---|
| 基因名称 | DARS2 |
| 全名 | aspartyl-tRNA synthetase 2, mitochondrial |
| 背景介绍 | The protein encoded by this gene belongs to the class-II aminoacyl-tRNA synthetase family. It is a mitochondrial enzyme that specifically aminoacylates aspartyl-tRNA. Mutations in this gene are associated with leukoencephalopathy with brainstem and spinal cord involvement and lactate elevation (LBSL). [provided by RefSeq, Nov 2009] |
| 细胞定位 | Mitochondrion matrix. [UniProt] |
| 预测分子量 | 74 kDa |
检测图片 (7) Click the Picture to Zoom In
-
ARG40997 anti-DARS2 antibody ICC/IF image
Immunofluorescence: U2OS cells were blocked with 10% goat serum and then stained with ARG40997 anti-DARS2 antibody (red) at 2 µg/ml dilution, overnight at 4°C. DAPI (blue) for nuclear staining.
-
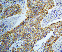
ARG40997 anti-DARS2 antibody IHC-P image
Immunohistochemistry: Paraffin-embedded Human intestinal cancer tissue. Antigen Retrieval: Heat mediation was performed in Citrate buffer (pH 6.0, epitope retrieval solution) for 20 min. The tissue section was blocked with 10% goat serum. The tissue section was then stained with ARG40997 anti-DARS2 antibody at 1 µg/ml dilution, overnight at 4°C.
-
ARG40997 anti-DARS2 antibody WB image
Western blot: 50 µg of samples under reducing conditions. A431, K562, A549, PC-3, U2OS, Caco-2 and HEK293 whole cell lysates stained with ARG40997 anti-DARS2 antibody at 0.5 µg/ml, overnight at 4°C.
-
ARG40997 anti-DARS2 antibody FACS image
Flow Cytometry: K562 cells were blocked with 10% normal goat serum and then stained with ARG40997 anti-DARS2 antibody (blue) at 1 µg/10^6 cells for 30 min at 20°C, followed by incubation with DyLight®488 labelled secondary antibody. Isotype control antibody (green) was rabbit IgG (1 µg/10^6 cells) used under the same conditions. Unlabelled sample (red) was also used as a control.
-
ARG40997 anti-DARS2 antibody ICC/IF image
Immunofluorescence: A431 cells were blocked with 10% goat serum and then stained with ARG40997 anti-DARS2 antibody (red) at 2 µg/ml dilution, overnight at 4°C. DAPI (blue) for nuclear staining.
-
ARG40997 anti-DARS2 antibody IHC-P image
Immunohistochemistry: Paraffin-embedded Human mammary cancer tissue. Antigen Retrieval: Heat mediation was performed in Citrate buffer (pH 6.0, epitope retrieval solution) for 20 min. The tissue section was blocked with 10% goat serum. The tissue section was then stained with ARG40997 anti-DARS2 antibody at 1 µg/ml dilution, overnight at 4°C.
-
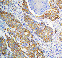
ARG40997 anti-DARS2 antibody IHC-P image
Immunohistochemistry: Paraffin-embedded Human lung cancer tissue. Antigen Retrieval: Heat mediation was performed in Citrate buffer (pH 6.0, epitope retrieval solution) for 20 min. The tissue section was blocked with 10% goat serum. The tissue section was then stained with ARG40997 anti-DARS2 antibody at 1 µg/ml dilution, overnight at 4°C.
