ARG43083
anti-Cytoglobin antibody
anti-Cytoglobin antibody for IHC-Formalin-fixed paraffin-embedded sections,Western blot and Human,Mouse,Rat
概述
| 产品描述 | Rabbit Polyclonal antibody recognizes Cytoglobin |
|---|---|
| 反应物种 | Hu, Ms, Rat |
| 应用 | IHC-P, WB |
| 宿主 | Rabbit |
| 克隆 | Polyclonal |
| 同位型 | IgG |
| 靶点名称 | Cytoglobin |
| 抗原物种 | Human |
| 抗原 | Recombinant protein corresponding to M1-P190 of Human Cytoglobin. |
| 偶联标记 | Un-conjugated |
| 別名 | STAP; Cytoglobin; HGB; Stellate cell activation-associated protein; Histoglobin; HGb |
应用说明
| 应用建议 |
|
||||||
|---|---|---|---|---|---|---|---|
| 应用说明 | IHC-P: Antigen Retrieval: Heat mediation was performed in Citrate buffer (pH 6.0) for 20 min. * The dilutions indicate recommended starting dilutions and the optimal dilutions or concentrations should be determined by the scientist. |
||||||
| 阳性对照 | Rat and Mouse small intestine | ||||||
| 实际分子量 | ~ 21 kDa |
属性
| 形式 | Liquid |
|---|---|
| 纯化 | Affinity purification with immunogen. |
| 缓冲液 | 0.2% Na2HPO4, 0.9% NaCl, 0.05% Sodium azide and 4% Trehalose. |
| 抗菌剂 | 0.05% Sodium azide |
| 稳定剂 | 4% Trehalose |
| 浓度 | 0.5 mg/ml |
| 存放说明 | For continuous use, store undiluted antibody at 2-8°C for up to a week. For long-term storage, aliquot and store at -20°C or below. Storage in frost free freezers is not recommended. Avoid repeated freeze/thaw cycles. Suggest spin the vial prior to opening. The antibody solution should be gently mixed before use. |
| 注意事项 | For laboratory research only, not for drug, diagnostic or other use. |
生物信息
| 数据库连接 | |
|---|---|
| 基因名称 | CYGB |
| 全名 | cytoglobin |
| 背景介绍 | This gene encodes a globin protein found in vertebrate cells. The encoded protein is described as a hexacoordinate hemoglobin which binds ligand differently from the pentacoordinate hemoglobins involved in oxygen transport, and may be involved in protection during oxidative stress. This gene is located on chromosome 17 in the same region as a retinal gene which is mutated in progressive rod-cone degeneration, but in the opposite orientation. [provided by RefSeq, Jan 2012] |
| 生物功能 | May have a protective function during conditions of oxidative stress. May be involved in intracellular oxygen storage or transfer. [UniProt] |
| 细胞定位 | Cytoplasm. [UniProt] |
| 预测分子量 | 21 kDa |
检测图片 (6) Click the Picture to Zoom In
-
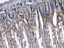
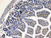
ARG43083 anti-Cytoglobin antibody IHC-P image
Immunohistochemistry: Paraffin-embedded Mouse intestine tissue. Antigen Retrieval: Heat mediation was performed in Citrate buffer (pH 6.0) for 20 min. The tissue section was blocked with 10% goat serum. The tissue section was then stained with ARG43083 anti-Cytoglobin antibody at 1 µg/ml dilution, overnight at 4°C.
-
ARG43083 anti-Cytoglobin antibody WB image
Western blot: 50 µg of sample under reducing conditions. Rat small intestine and Mouse small intestine lysates stained with ARG43083 anti-Cytoglobin antibody at 0.5 µg/ml dilution, overnight at 4°C.
-
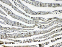
ARG43083 anti-Cytoglobin antibody IHC-P image
Immunohistochemistry: Paraffin-embedded Mouse cardiac muscle tissue. Antigen Retrieval: Heat mediation was performed in Citrate buffer (pH 6.0) for 20 min. The tissue section was blocked with 10% goat serum. The tissue section was then stained with ARG43083 anti-Cytoglobin antibody at 1 µg/ml dilution, overnight at 4°C.
-
ARG43083 anti-Cytoglobin antibody IHC-P image
Immunohistochemistry: Paraffin-embedded Rat intestine tissue. Antigen Retrieval: Heat mediation was performed in Citrate buffer (pH 6.0) for 20 min. The tissue section was blocked with 10% goat serum. The tissue section was then stained with ARG43083 anti-Cytoglobin antibody at 1 µg/ml dilution, overnight at 4°C.
-
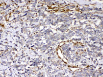
ARG43083 anti-Cytoglobin antibody IHC-P image
Immunohistochemistry: Paraffin-embedded Human intestinal cancer tissue. Antigen Retrieval: Heat mediation was performed in Citrate buffer (pH 6.0) for 20 min. The tissue section was blocked with 10% goat serum. The tissue section was then stained with ARG43083 anti-Cytoglobin antibody at 1 µg/ml dilution, overnight at 4°C.
-
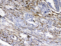
ARG43083 anti-Cytoglobin antibody IHC-P image
Immunohistochemistry: Paraffin-embedded Human lung cancer tissue. Antigen Retrieval: Heat mediation was performed in Citrate buffer (pH 6.0) for 20 min. The tissue section was blocked with 10% goat serum. The tissue section was then stained with ARG43083 anti-Cytoglobin antibody at 1 µg/ml dilution, overnight at 4°C.
