ARG58538
anti-Cytochrome b5 antibody
anti-Cytochrome b5 antibody for IHC-Formalin-fixed paraffin-embedded sections,Western blot and Human
概述
| 产品描述 | Rabbit Polyclonal antibody recognizes Cytochrome b5 |
|---|---|
| 反应物种 | Hu |
| 应用 | IHC-P, WB |
| 宿主 | Rabbit |
| 克隆 | Polyclonal |
| 同位型 | IgG |
| 靶点名称 | Cytochrome b5 |
| 抗原物种 | Human |
| 抗原 | KLH-conjugated synthetic peptide corresponding to aa. 69-98 (Center) of Human Cytochrome b5. |
| 偶联标记 | Un-conjugated |
| 別名 | Microsomal cytochrome b5 type A; MCB5; Cytochrome b5; CYB5 |
应用说明
| 应用建议 |
|
||||||
|---|---|---|---|---|---|---|---|
| 应用说明 | * The dilutions indicate recommended starting dilutions and the optimal dilutions or concentrations should be determined by the scientist. | ||||||
| 阳性对照 | HepG2 |
属性
| 形式 | Liquid |
|---|---|
| 纯化 | Purification with Protein A and immunogen peptide. |
| 缓冲液 | PBS and 0.09% (W/V) Sodium azide. |
| 抗菌剂 | 0.09% (W/V) Sodium azide. |
| 存放说明 | For continuous use, store undiluted antibody at 2-8°C for up to a week. For long-term storage, aliquot and store at -20°C or below. Storage in frost free freezers is not recommended. Avoid repeated freeze/thaw cycles. Suggest spin the vial prior to opening. The antibody solution should be gently mixed before use. |
| 注意事项 | For laboratory research only, not for drug, diagnostic or other use. |
生物信息
| 数据库连接 | |
|---|---|
| 基因名称 | CYB5A |
| 全名 | cytochrome b5 type A (microsomal) |
| 背景介绍 | The protein encoded by this gene is a membrane-bound cytochrome that reduces ferric hemoglobin (methemoglobin) to ferrous hemoglobin, which is required for stearyl-CoA-desaturase activity. Defects in this gene are a cause of type IV hereditary methemoglobinemia. Three transcript variants encoding different isoforms have been found for this gene. [provided by RefSeq, Jun 2010] |
| 生物功能 | Cytochrome b5 is a membrane bound hemoprotein which function as an electron carrier for several membrane bound oxygenases. [UniProt] |
| 细胞定位 | Isoform 1: Endoplasmic reticulum membrane; Single-pass membrane protein; Cytoplasmic side. Microsome membrane; Single-pass membrane protein; Cytoplasmic side. [UniProt] |
| 预测分子量 | 15 kDa |
检测图片 (2) Click the Picture to Zoom In
-
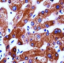
ARG58538 anti-Cytochrome b5 antibody IHC-P image
Immunohistochemistry: Formalin-fixed and paraffin-embedded Human liver tissue stained with ARG58538 anti-Cytochrome b5 antibody.
-
ARG58538 anti-Cytochrome b5 antibody WB image
Western blot: 35 µg of HepG2 cell lysate stained with ARG58538 anti-Cytochrome b5 antibody.
