ARG45138
anti-Cytochrome P450 1A2 antibody
anti-Cytochrome P450 1A2 antibody for IHC-Formalin-fixed paraffin-embedded sections,Western blot and Human,Mouse,Rat
概述
| 产品描述 | Rabbit Polyclonal antibody recognizes Cytochrome P450 1A2 |
|---|---|
| 反应物种 | Hu, Ms, Rat |
| 应用 | IHC-P, WB |
| 宿主 | Rabbit |
| 克隆 | Polyclonal |
| 同位型 | IgG |
| 靶点名称 | Cytochrome P450 1A2 |
| 抗原物种 | Human |
| 抗原 | Recombinant protein containing to human Cytochrome P450 1A2. |
| 偶联标记 | Un-conjugated |
| 別名 | CYP1A2; Cytochrome P450 Family 1 Subfamily A Member 2; P3-450; Cytochrome P450 4; Cytochrome P; Cytochrome P450-P3; Cytochrome P450 1A2; EC 1.14.14.1; P450(PA); 3; CP12; CYPIA2 |
应用说明
| 应用建议 |
|
||||||
|---|---|---|---|---|---|---|---|
| 应用说明 | * The dilutions indicate recommended starting dilutions and the optimal dilutions or concentrations should be determined by the scientist. | ||||||
| 实际分子量 | 58 kDa |
属性
| 形式 | Liquid |
|---|---|
| 纯化 | Affinity purification with immunogen. |
| 缓冲液 | 0.9% NaCl, 0.2% Na2HPO4, 0.05% Sodium azide and 5% BSA. |
| 抗菌剂 | 0.05% Sodium azide |
| 稳定剂 | 5% BSA |
| 浓度 | 0.5 mg/ml |
| 存放说明 | For continuous use, store undiluted antibody at 2-8°C for up to a week. For long-term storage, aliquot and store at -20°C or below. Storage in frost free freezers is not recommended. Avoid repeated freeze/thaw cycles. Suggest spin the vial prior to opening. The antibody solution should be gently mixed before use. |
| 注意事项 | For laboratory research only, not for drug, diagnostic or other use. |
生物信息
| 数据库连接 | |
|---|---|
| 基因名称 | CYP1A2 |
| 全名 | Cytochrome P450 Family 1 Subfamily A Member 2 |
| 背景介绍 | This gene encodes a member of the cytochrome P450 superfamily of enzymes. The cytochrome P450 proteins are monooxygenases which catalyze many reactions involved in drug metabolism and synthesis of cholesterol, steroids and other lipids. The protein encoded by this gene localizes to the endoplasmic reticulum and its expression is induced by some polycyclic aromatic hydrocarbons (PAHs), some of which are found in cigarette smoke. The enzyme's endogenous substrate is unknown; however, it is able to metabolize some PAHs to carcinogenic intermediates. Other xenobiotic substrates for this enzyme include caffeine, aflatoxin B1, and acetaminophen. The transcript from this gene contains four Alu sequences flanked by direct repeats in the 3' untranslated region. [provided by RefSeq, Jul 2008] |
| 生物功能 | Cytochromes P450 are a group of heme-thiolate monooxygenases. In liver microsomes, this enzyme is involved in an NADPH-dependent electron transport pathway. It oxidizes a variety of structurally unrelated compounds, including steroids, fatty acids, and xenobiotics. Most active in catalyzing 2-hydroxylation. Caffeine is metabolized primarily by cytochrome CYP1A2 in the liver through an initial N3-demethylation. Also acts in the metabolism of aflatoxin B1 and acetaminophen. Participates in the bioactivation of carcinogenic aromatic and heterocyclic amines. Catalizes the N-hydroxylation of heterocyclic amines and the O-deethylation of phenacetin. [UniProt] |
| 细胞定位 | Endoplasmic reticulum membrane; Microsome membrane. [UniProt] |
| 预测分子量 | 58 kDa |
| 翻译后修饰 | Glycoprotein. [UniProt] |
检测图片 (6) Click the Picture to Zoom In
-
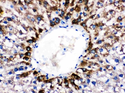
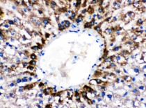
ARG45138 anti-Cytochrome P450 1A2 antibody IHC-P image
Immunohistochemistry: Human liver cancer stained with ARG45138 anti-Cytochrome P450 1A2 antibody at 1 μg/ml dilution.
-
ARG45138 anti-Cytochrome P450 1A2 antibody WB image
Western blot: Human HCCP stained with ARG45138 anti-Cytochrome P450 1A2 antibody at 0.5 μg/ml dilution.
-
ARG45138 anti-Cytochrome P450 1A2 antibody IHC-P image
Immunohistochemistry: Rat liver stained with ARG45138 anti-Cytochrome P450 1A2 antibody at 1 μg/ml dilution.
-
ARG45138 anti-Cytochrome P450 1A2 antibody WB image
Western blot: Rat liver stained with ARG45138 anti-Cytochrome P450 1A2 antibody at 0.5 μg/ml dilution.
-
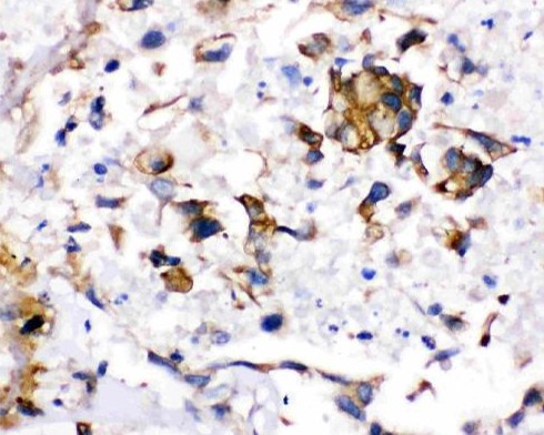
ARG45138 anti-Cytochrome P450 1A2 antibody IHC-P image
Immunohistochemistry: Mouse liver stained with ARG45138 anti-Cytochrome P450 1A2 antibody at 1 μg/ml dilution.
-
ARG45138 anti-Cytochrome P450 1A2 antibody WB image
Western blot: Mouse liver stained with ARG45138 anti-Cytochrome P450 1A2 antibody at 0.5 μg/ml dilution.
