ARG56980
anti-Cyclophilin F antibody [1F5]
anti-Cyclophilin F antibody [1F5] for Flow cytometry,IHC-Formalin-fixed paraffin-embedded sections,Western blot and Human
概述
| 产品描述 | Mouse Monoclonal antibody [1F5] recognizes Cyclophilin F |
|---|---|
| 反应物种 | Hu |
| 应用 | FACS, IHC-P, WB |
| 宿主 | Mouse |
| 克隆 | Monoclonal |
| 克隆号 | 1F5 |
| 同位型 | IgG2b, kappa |
| 靶点名称 | Cyclophilin F |
| 抗原物种 | Human |
| 抗原 | Recombinant fragment around aa. 30-207 of Human Cyclophilin F. |
| 偶联标记 | Un-conjugated |
| 別名 | CypD; CyP-D; Peptidyl-prolyl cis-trans isomerase F, mitochondrial; Cyp-D; Cyclophilin F; Cyclophilin D; PPIase F; CyP-M; EC 5.2.1.8; CYP3; Mitochondrial cyclophilin; Rotamase F |
应用说明
| 应用建议 |
|
||||||||
|---|---|---|---|---|---|---|---|---|---|
| 应用说明 | IHC-P: Antigen Retrieval: Boil tissue section in 0.1M Sodium citrate buffer (pH 6.0) for 20 min. * The dilutions indicate recommended starting dilutions and the optimal dilutions or concentrations should be determined by the scientist. |
属性
| 形式 | Liquid |
|---|---|
| 纯化 | Purification with Protein G. |
| 缓冲液 | PBS (pH 7.4), 0.02% Sodium azide and 10% Glycerol. |
| 抗菌剂 | 0.02% Sodium azide |
| 稳定剂 | 10% Glycerol |
| 浓度 | 1 mg/ml |
| 存放说明 | For continuous use, store undiluted antibody at 2-8°C for up to a week. For long-term storage, aliquot and store at -20°C. Storage in frost free freezers is not recommended. Avoid repeated freeze/thaw cycles. Suggest spin the vial prior to opening. The antibody solution should be gently mixed before use. |
| 注意事项 | For laboratory research only, not for drug, diagnostic or other use. |
生物信息
| 数据库连接 |
Swiss-port # P30405 Human Peptidyl-prolyl cis-trans isomerase F, mitochondrial |
|---|---|
| 基因名称 | PPIF |
| 全名 | peptidylprolyl isomerase F |
| 背景介绍 | The protein encoded by this gene is a member of the peptidyl-prolyl cis-trans isomerase (PPIase) family. PPIases catalyze the cis-trans isomerization of proline imidic peptide bonds in oligopeptides and accelerate the folding of proteins. This protein is part of the mitochondrial permeability transition pore in the inner mitochondrial membrane. Activation of this pore is thought to be involved in the induction of apoptotic and necrotic cell death. [provided by RefSeq, Jul 2008] |
| 生物功能 | PPIases accelerate the folding of proteins. It catalyzes the cis-trans isomerization of proline imidic peptide bonds in oligopeptides. Involved in regulation of the mitochondrial permeability transition pore (mPTP). It is proposed that its association with the mPTP is masking a binding site for inhibiting inorganic phosphate (Pi) and promotes the open probability of the mPTP leading to apoptosis or necrosis; the requirement of the PPIase activity for this function is debated. In cooperation with mitochondrial TP53 is involved in activating oxidative stress-induced necrosis. Involved in modulation of mitochondrial membrane F(1)F(0) ATP synthase activity and regulation of mitochondrial matrix adenine nucleotide levels. Has anti-apoptotic activity independently of mPTP and in cooperation with BCL2 inhibits cytochrome c-dependent apoptosis. [UniProt] |
| 预测分子量 | 22 kDa |
| 翻译后修饰 | Deacteylated at Lys-167 by SIRT3. |
检测图片 (3) Click the Picture to Zoom In
-
ARG56980 anti-Cyclophilin F antibody [1F5] FACS image
Flow Cytometry: Hep3B cell line stained with ARG56980 anti-Cyclophilin F antibody [1F5] at 2-5 µg for 1x10^6 cells (red line). Secondary antibody: Goat anti-Mouse IgG Alexa fluor 488 conjugate. Isotype control antibody was Mouse IgG (black line).
-
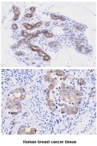
ARG56980 anti-Cyclophilin F antibody [1F5] IHC-P image
Immunohistochemistry: Paraffin embedded sections of Human breast cancer tissue stained with ARG56980 anti-Cyclophilin F antibody [1F5] at 1:50 for 2 hours at RT. Antigen Retrieval: Boil tissue section in 0.1M Sodium citrate buffer (pH 6.0) for 20 min.
-
ARG56980 anti-Cyclophilin F antibody [1F5] WB image
Western blot: 20 µg of 293T and HeLa cell lysate stained with ARG56980 anti-Cyclophilin F antibody [1F5] at 1:500.
