ARG40990
anti-Cyclophilin B antibody
anti-Cyclophilin B antibody for IHC-Formalin-fixed paraffin-embedded sections,Western blot and Human,Mouse,Rat
概述
| 产品描述 | Rabbit Polyclonal antibody recognizes Cyclophilin B |
|---|---|
| 反应物种 | Hu, Ms, Rat |
| 预测物种 | Hm |
| 应用 | IHC-P, WB |
| 宿主 | Rabbit |
| 克隆 | Polyclonal |
| 同位型 | IgG |
| 靶点名称 | Cyclophilin B |
| 抗原物种 | Human |
| 抗原 | Synthetic peptide corresponding to aa. 176-196 of Human Cyclophilin B (MEVVRKVESTKTDSRDKPLKD). |
| 偶联标记 | Un-conjugated |
| 別名 | HEL-S-39; CYPB; PPIase B; CYP-S1; Cyclophilin B; SCYLP; EC 5.2.1.8; S-cyclophilin; OI9; Rotamase B; Peptidyl-prolyl cis-trans isomerase B |
应用说明
| 应用建议 |
|
||||||
|---|---|---|---|---|---|---|---|
| 应用说明 | IHC-P: Antigen Retrieval: Heat mediation was performed in Citrate buffer (pH 6.0, epitope retrieval solution) for 20 min. * The dilutions indicate recommended starting dilutions and the optimal dilutions or concentrations should be determined by the scientist. |
属性
| 形式 | Liquid |
|---|---|
| 纯化 | Affinity purification with immunogen. |
| 缓冲液 | 0.2% Na2HPO4, 0.9% NaCl, 0.05% Thimerosal, 0.05% Sodium azide and 5% BSA. |
| 抗菌剂 | 0.05% Thimerosal and 0.05% Sodium azide |
| 稳定剂 | 5% BSA |
| 浓度 | 0.5 mg/ml |
| 存放说明 | For continuous use, store undiluted antibody at 2-8°C for up to a week. For long-term storage, aliquot and store at -20°C or below. Storage in frost free freezers is not recommended. Avoid repeated freeze/thaw cycles. Suggest spin the vial prior to opening. The antibody solution should be gently mixed before use. |
| 注意事项 | For laboratory research only, not for drug, diagnostic or other use. |
生物信息
| 数据库连接 | |
|---|---|
| 基因名称 | PPIB |
| 全名 | peptidylprolyl isomerase B (cyclophilin B) |
| 背景介绍 | The protein encoded by this gene is a cyclosporine-binding protein and is mainly located within the endoplasmic reticulum. It is associated with the secretory pathway and released in biological fluids. This protein can bind to cells derived from T- and B-lymphocytes, and may regulate cyclosporine A-mediated immunosuppression. Variants have been identified in this protein that give rise to recessive forms of osteogenesis imperfecta. [provided by RefSeq, Oct 2009] |
| 生物功能 | PPIases accelerate the folding of proteins. It catalyzes the cis-trans isomerization of proline imidic peptide bonds in oligopeptides. [UniProt] |
| 细胞定位 | Endoplasmic reticulum lumen. Melanosome. Note=Identified by mass spectrometry in melanosome fractions from stage I to stage IV (PubMed:17081065). [UniProt] |
| 预测分子量 | 24 kDa |
检测图片 (3) Click the Picture to Zoom In
-
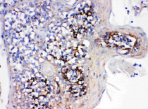
ARG40990 anti-Cyclophilin B antibody IHC-P image
Immunohistochemistry: Paraffin-embedded Human tonsil tissue. Antigen Retrieval: Heat mediation was performed in Citrate buffer (pH 6.0, epitope retrieval solution) for 20 min. The tissue section was blocked with 10% goat serum. The tissue section was then stained with ARG40990 anti-Cyclophilin B antibody at 1 µg/ml dilution, overnight at 4°C.
-
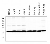
ARG40990 anti-Cyclophilin B antibody WB image
Western blot: 50 µg of samples under reducing conditions. THP-1, HepG2, HeLa, Caco-2, Rat spleen, Rat lung, Mouse spleen and Mouse lung lysates stained with ARG40990 anti-Cyclophilin B antibody at 0.5 µg/ml, overnight at 4°C.
-
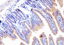
ARG40990 anti-Cyclophilin B antibody IHC-P image
Immunohistochemistry: Paraffin-embedded Mouse intestine tissue. Antigen Retrieval: Heat mediation was performed in Citrate buffer (pH 6.0, epitope retrieval solution) for 20 min. The tissue section was blocked with 10% goat serum. The tissue section was then stained with ARG40990 anti-Cyclophilin B antibody at 1 µg/ml dilution, overnight at 4°C.
