ARG66962
anti-Cyclin A2 antibody
anti-Cyclin A2 antibody for ICC/IF,IHC-Formalin-fixed paraffin-embedded sections,Western blot and Human,Mouse
Cancer antibody; Cell Biology and Cellular Response antibody; Gene Regulation antibody
概述
| 产品描述 | Rabbit Polyclonal antibody recognizes Cyclin A2 |
|---|---|
| 反应物种 | Hu, Ms |
| 应用 | ICC/IF, IHC-P, WB |
| 宿主 | Rabbit |
| 克隆 | Polyclonal |
| 同位型 | IgG |
| 靶点名称 | Cyclin A2 |
| 抗原物种 | Human |
| 抗原 | Synthetic peptide around the C-terminal region of Human Cyclin A2. |
| 偶联标记 | Un-conjugated |
| 別名 | Cyclin-A2; Cyclin-A; CCN1; CCNA |
应用说明
| 应用建议 |
|
||||||||
|---|---|---|---|---|---|---|---|---|---|
| 应用说明 | * The dilutions indicate recommended starting dilutions and the optimal dilutions or concentrations should be determined by the scientist. | ||||||||
| 阳性对照 | 293T; HuVEC; T24; LNCaP; Human gastric carcinoma | ||||||||
| 实际分子量 | ~55 kDa |
属性
| 形式 | Liquid |
|---|---|
| 纯化 | Affinity purified. |
| 缓冲液 | 100 mM Tris Glycine (pH 7.0), 0.025% ProClin 300 and 20% Glycerol. |
| 抗菌剂 | 0.025% ProClin 300 |
| 稳定剂 | 20% Glycerol |
| 存放说明 | For continuous use, store undiluted antibody at 2-8°C for up to a week. For long-term storage, aliquot and store at -20°C. Storage in frost free freezers is not recommended. Avoid repeated freeze/thaw cycles. Suggest spin the vial prior to opening. The antibody solution should be gently mixed before use. |
| 注意事项 | For laboratory research only, not for drug, diagnostic or other use. |
生物信息
| 数据库连接 | |
|---|---|
| 基因名称 | CCNA2 |
| 全名 | cyclin A2 |
| 背景介绍 | The protein encoded by this gene belongs to the highly conserved cyclin family, whose members are characterized by a dramatic periodicity in protein abundance through the cell cycle. Cyclins function as regulators of CDK kinases. Different cyclins exhibit distinct expression and degradation patterns which contribute to the temporal coordination of each mitotic event. In contrast to cyclin A1, which is present only in germ cells, this cyclin is expressed in all tissues tested. This cyclin binds and activates CDC2 or CDK2 kinases, and thus promotes both cell cycle G1/S and G2/M transitions. [provided by RefSeq, Jul 2008] |
| 生物功能 | Essential for the control of the cell cycle at the G1/S (start) and the G2/M (mitosis) transitions. [UniProt] |
| 研究领域 | Cancer antibody; Cell Biology and Cellular Response antibody; Gene Regulation antibody |
| 预测分子量 | 49 kDa |
| 翻译后修饰 | Polyubiquitinated via 'Lys-11'-linked ubiquitin by the anaphase-promoting complex (APC/C), leading to its degradation by the proteasome. Deubiquitinated and stabilized by USP37 enables entry into S phase. |
检测图片 (3) Click the Picture to Zoom In
-
ARG66962 anti-Cyclin A2 antibody ICC/IF image
Immunofluorescence: HuVEC cells were fixed with 4% paraformaldehyde at RT for 10 min, permeabilized with 0.1% NP-40 at RT for 10 min and then cells were blocked with 5% BSA at RT for 30 min and stained with ARG66962 anti-Cyclin A2 antibody (red) at 1:200 dilution at 4°C for overnight. DAPI (blue) was used for nuclear staining.
-
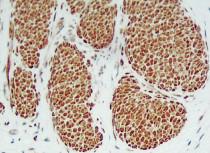
ARG66962 anti-Cyclin A2 antibody IHC-P image
Immunohistochemistry: Paraffin-embedded Human gastric carcinoma tissue stained with ARG66962 anti-Cyclin A2 antibody at 1:100 dilution.
-
ARG66962 anti-Cyclin A2 antibody WB image
Western blot: 50 µg of 293T cell lysate stained with ARG66962 anti-Cyclin A2 antibody at 1:1000 dilution, overnight at 4°C.
