ARG41929
anti-Cyclin A1 + Cyclin A2 antibody
anti-Cyclin A1 + Cyclin A2 antibody for IHC-Formalin-fixed paraffin-embedded sections,Immunoprecipitation,Western blot and Human
概述
| 产品描述 | Rabbit Polyclonal antibody recognizes Cyclin A1 + Cyclin A2 |
|---|---|
| 反应物种 | Hu |
| 应用 | IHC-P, IP, WB |
| 宿主 | Rabbit |
| 克隆 | Polyclonal |
| 同位型 | IgG |
| 靶点名称 | Cyclin A1 + Cyclin A2 |
| 抗原物种 | Human |
| 抗原 | Synthetic peptide of Human Cyclin A1/A2. |
| 偶联标记 | Un-conjugated |
| 別名 | Cyclin A1: CT146; Cyclin-A1 Cyclin A2: Cyclin-A2; Cyclin-A; CCN1; CCNA |
应用说明
| 应用建议 |
|
||||||||
|---|---|---|---|---|---|---|---|---|---|
| 应用说明 | * The dilutions indicate recommended starting dilutions and the optimal dilutions or concentrations should be determined by the scientist. | ||||||||
| 阳性对照 | HeLa | ||||||||
| 实际分子量 | ~ 53 kDa |
属性
| 形式 | Liquid |
|---|---|
| 纯化 | Affinity purified. |
| 缓冲液 | PBS (pH 7.4), 150 mM NaCl, 0.02% Sodium azide and 50% Glycerol. |
| 抗菌剂 | 0.02% Sodium azide |
| 稳定剂 | 50% Glycerol |
| 存放说明 | For continuous use, store undiluted antibody at 2-8°C for up to a week. For long-term storage, aliquot and store at -20°C. Storage in frost free freezers is not recommended. Avoid repeated freeze/thaw cycles. Suggest spin the vial prior to opening. The antibody solution should be gently mixed before use. |
| 注意事项 | For laboratory research only, not for drug, diagnostic or other use. |
生物信息
| 基因名称 | CCNA1; CCNA2 |
|---|---|
| 全名 | cyclin A1; cyclin A2 |
| 背景介绍 | Cyclin A1: The protein encoded by this gene belongs to the highly conserved cyclin family, whose members are characterized by a dramatic periodicity in protein abundance through the cell cycle. Cyclins function as regulators of CDK kinases. Different cyclins exhibit distinct expression and degradation patterns which contribute to the temporal coordination of each mitotic event. The cyclin encoded by this gene was shown to be expressed in testis and brain, as well as in several leukemic cell lines, and is thought to primarily function in the control of the germline meiotic cell cycle. This cyclin binds both CDK2 and CDC2 kinases, which give two distinct kinase activities, one appearing in S phase, the other in G2, and thus regulate separate functions in cell cycle. This cyclin was found to bind to important cell cycle regulators, such as Rb family proteins, transcription factor E2F-1, and the p21 family proteins. Multiple transcript variants encoding different isoforms have been found for this gene. [provided by RefSeq, Jul 2008] Cyclin A2: The protein encoded by this gene belongs to the highly conserved cyclin family, whose members are characterized by a dramatic periodicity in protein abundance through the cell cycle. Cyclins function as regulators of CDK kinases. Different cyclins exhibit distinct expression and degradation patterns which contribute to the temporal coordination of each mitotic event. In contrast to cyclin A1, which is present only in germ cells, this cyclin is expressed in all tissues tested. This cyclin binds and activates CDC2 or CDK2 kinases, and thus promotes both cell cycle G1/S and G2/M transitions. [provided by RefSeq, Jul 2008] |
| 生物功能 | Cyclin A1: May be involved in the control of the cell cycle at the G1/S (start) and G2/M (mitosis) transitions. May primarily function in the control of the germline meiotic cell cycle and additionally in the control of mitotic cell cycle in some somatic cells. [UniProt] Cyclin A2: Essential for the control of the cell cycle at the G1/S (start) and the G2/M (mitosis) transitions. [UniProt] |
| 细胞定位 | Cyclin A1: Nucleus. [UniProt] Cyclin A2: Nucleus. Cytoplasm. Note=Exclusively nuclear during interphase (PubMed:1312467). Detected in the nucleus and the cytoplasm at prophase (PubMed:1312467). Cytoplasmic when associated with SCAPER (PubMed:17698606). [UniProt] |
| 预测分子量 | Cyclin A1: 52 kDa Cyclin A2: 49 kDa |
| 翻译后修饰 | Cyclin A1/A2: Polyubiquitinated via 'Lys-11'-linked ubiquitin by the anaphase-promoting complex (APC/C), leading to its degradation by the proteasome. Deubiquitinated and stabilized by USP37 enables entry into S phase. [UniProt] |
检测图片 (2) Click the Picture to Zoom In
-
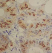
ARG41929 anti-Cyclin A1 + Cyclin A2 antibody IHC-P image
Immunohistochemistry: Paraffin-embedded Human colon cancer tissue stained with ARG41929 anti-Cyclin A1 + Cyclin A2 antibody.
-
ARG41929 anti-Cyclin A1 + Cyclin A2 antibody WB image
Western blot: HeLa cell lysate stained with ARG41929 anti-Cyclin A1 + Cyclin A2 antibody.
