ARG59191
anti-Cullin 4A antibody
anti-Cullin 4A antibody for Western blot and Human,Mouse,Rat
概述
| 产品描述 | Rabbit Polyclonal antibody recognizes Cullin 4A |
|---|---|
| 反应物种 | Hu, Ms, Rat |
| 应用 | WB |
| 宿主 | Rabbit |
| 克隆 | Polyclonal |
| 同位型 | IgG |
| 靶点名称 | Cullin 4A |
| 抗原物种 | Human |
| 抗原 | Recombinant protein corresponding to M494-A759 of Human Cullin 4A. |
| 偶联标记 | Un-conjugated |
| 別名 | Cullin-4A; CUL-4A |
应用说明
| 应用建议 |
|
||||
|---|---|---|---|---|---|
| 应用说明 | * The dilutions indicate recommended starting dilutions and the optimal dilutions or concentrations should be determined by the scientist. |
属性
| 形式 | Liquid |
|---|---|
| 纯化 | Affinity purification with immunogen. |
| 缓冲液 | 0.9% NaCl, 0.2% Na2HPO4, 0.05% Sodium azide and 4% Trehalose. |
| 抗菌剂 | 0.05% Sodium azide |
| 稳定剂 | 4% Trehalose |
| 浓度 | 0.5 mg/ml |
| 存放说明 | For continuous use, store undiluted antibody at 2-8°C for up to a week. For long-term storage, aliquot and store at -20°C or below. Storage in frost free freezers is not recommended. Avoid repeated freeze/thaw cycles. Suggest spin the vial prior to opening. The antibody solution should be gently mixed before use. |
| 注意事项 | For laboratory research only, not for drug, diagnostic or other use. |
生物信息
| 数据库连接 | |
|---|---|
| 基因名称 | CUL4A |
| 全名 | cullin 4A |
| 背景介绍 | CUL4A is the ubiquitin ligase component of a multimeric complex involved in the degradation of DNA damage-response proteins (Liu et al., 2009 [PubMed 19481525]).[supplied by OMIM, Oct 2009] |
| 生物功能 | Core component of multiple cullin-RING-based E3 ubiquitin-protein ligase complexes which mediate the ubiquitination of target proteins. As a scaffold protein may contribute to catalysis through positioning of the substrate and the ubiquitin-conjugating enzyme. The E3 ubiquitin-protein ligase activity of the complex is dependent on the neddylation of the cullin subunit and is inhibited by the association of the deneddylated cullin subunit with TIP120A/CAND1. The functional specificity of the E3 ubiquitin-protein ligase complex depends on the variable substrate recognition component. DCX(DET1-COP1) directs ubiquitination of JUN. DCX(DDB2) directs ubiquitination of XPC. DCX(DDB2) ubiquitinates histones H3-H4 and is required for efficient histone deposition during replication-coupled (H3.1) and replication-independent (H3.3) nucleosome assembly, probably by facilitating the transfer of H3 from ASF1A/ASF1B to other chaperones involved in histone deposition. DCX(DTL) plays a role in PCNA-dependent polyubiquitination of CDT1 and MDM2-dependent ubiquitination of TP53 in response to radiation-induced DNA damage and during DNA replication. In association with DDB1 and SKP2 probably is involved in ubiquitination of CDKN1B/p27kip. Is involved in ubiquitination of HOXA9. DCX(DTL) directs autoubiquitination of DTL. [UniProt] |
| 预测分子量 | 88 kDa |
| 翻译后修饰 | Neddylated. Deneddylated via its interaction with the COP9 signalosome (CSN) complex. (Microbial infection) Deneddylated by Epstein-Barr virus BPLF1 leading to a S-phase-like environment that is required for efficient replication of the viral genome. [UniProt] |
检测图片 (2) Click the Picture to Zoom In
-
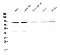
ARG59191 anti-Cullin 4A antibody WB image
Western blot: 50 µg of samples under reducing conditions. HeLa, COLO-320, MDA-MB-231, Jurkat and PANC-1 whole cell lysates stained with ARG59191 anti-Cullin 4A antibody at 0.5 µg/ml, overnight at 4°C.
-
ARG59191 anti-Cullin 4A antibody WB image
Western blot: 50 µg of samples under reducing conditions. Rat brain, Rat spleen, Rat heart, Rat testis, Mouse brain, Mouse spleen, Mouse heart and Mouse testis lysates stained with ARG59191 anti-Cullin 4A antibody at 0.5 µg/ml, overnight at 4°C.
