ARG65236
anti-Cullin 2 antibody
anti-Cullin 2 antibody for IHC-Formalin-fixed paraffin-embedded sections,Western blot and Human,Mouse
Cancer antibody; Cell Biology and Cellular Response antibody; Cell Death antibody
概述
| 产品描述 | Goat Polyclonal antibody recognizes Cullin 2 |
|---|---|
| 反应物种 | Hu, Ms |
| 预测物种 | Cow, Rat, Dog |
| 应用 | IHC-P, WB |
| 宿主 | Goat |
| 克隆 | Polyclonal |
| 同位型 | IgG |
| 靶点名称 | Cullin 2 |
| 抗原物种 | Human |
| 抗原 | C-QYIERSQASADE |
| 偶联标记 | Un-conjugated |
| 別名 | Cullin-2; CUL-2 |
应用说明
| 应用建议 |
|
||||||
|---|---|---|---|---|---|---|---|
| 应用说明 | WB: Recommend incubate at RT for 1h. IHC-P: Antigen Retrieval: Steam tissue section in Citrate buffer (pH 6.0). * The dilutions indicate recommended starting dilutions and the optimal dilutions or concentrations should be determined by the scientist. |
属性
| 形式 | Liquid |
|---|---|
| 纯化 | Purified from goat serum by antigen affinity chromatography. |
| 缓冲液 | Tris saline (pH 7.3), 0.02% Sodium azide and 0.5% BSA. |
| 抗菌剂 | 0.02% Sodium azide |
| 稳定剂 | 0.5% BSA |
| 浓度 | 0.5 mg/ml |
| 存放说明 | For continuous use, store undiluted antibody at 2-8°C for up to a week. For long-term storage, aliquot and store at -20°C or below. Storage in frost free freezers is not recommended. Avoid repeated freeze/thaw cycles. Suggest spin the vial prior to opening. The antibody solution should be gently mixed before use. |
| 注意事项 | For laboratory research only, not for drug, diagnostic or other use. |
生物信息
| 数据库连接 | |
|---|---|
| 基因名称 | CUL2 |
| 全名 | cullin 2 |
| 生物功能 | Core component of multiple cullin-RING-based ECS (ElonginB/C-CUL2/5-SOCS-box protein) E3 ubiquitin-protein ligase complexes, which mediate the ubiquitination of target proteins. May serve as a rigid scaffold in the complex and may contribute to catalysis through positioning of the substrate and the ubiquitin-conjugating enzyme. The E3 ubiquitin-protein ligase activity of the complex is dependent on the neddylation of the cullin subunit and is inhibited by the association of the deneddylated cullin subunit with TIP120A/CAND1 (By similarity). The functional specificity of the ECS complex depends on the substrate recognition component. ECS(VHL) mediates the ubiquitination of hypoxia-inducible factor (HIF). [UniProt] |
| 研究领域 | Cancer antibody; Cell Biology and Cellular Response antibody; Cell Death antibody |
| 预测分子量 | 87 kDa |
| 翻译后修饰 | Neddylated; which enhances the ubiquitination activity of ECS (Elongin BC-CUL2/5-SOCS-box protein) E3 ubiquitin-protein ligase complexes. CBC(VHL) complex formation seems to promote neddylation. Deneddylated via its interaction with the COP9 signalosome (CSN) complex (By similarity). |
检测图片 (2) Click the Picture to Zoom In
-
ARG65236 anti-Cullin 2 antibody WB image
Western blot: NIH3T3 lysate (35 µg protein in RIPA buffer) stained with ARG65236 anti-Cullin 2 antibody at 1 µg/ml dilution.
-
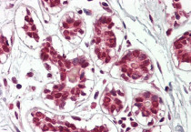
ARG65236 anti-Cullin 2 antibody IHC-P image
Immunohistochemistry: Paraffin-embedded Human breast tissue. Antigen Retrieval: Steam tissue section in Citrate buffer (pH 6.0). The tissue section was stained with ARG65236 anti-Cullin 2 antibody at 3.75 µg/ml dilution followed by AP-staining.
